Magna Concursos

Foram encontradas 50 questões.

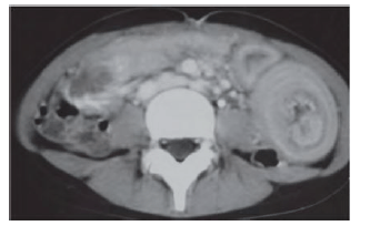
Enunciado 3433335-1

Menino de 14 anos de idade, com diagnóstico de púrpura de Henoch-Schönlein, procurou atendimento em uma emergência em razão de dor abdominal aguda de forte intensidade e vômitos há algumas horas, além de eliminação de fezes com muco e sangue. Realizou tomografia de abdome mostrada na figura apresentada.

A melhor hipótese diagnóstica para esse caso hipotético é de

 

Provas

Questão presente nas seguintes provas

Uma paciente de 53 anos de idade, cardiopata isquêmica e usuária de aspirina, também tem histórico de gonartrose e uso crônico de anti-inflamatórios não esteroidais. Foi atendida várias vezes, no último mês, por episódios de epigastralgia e relata realizar, nessas ocasiões, eletrocardiograma e analgesia, após os quais é liberada. Há 2 horas, apresentou fezes enegrecidas e amolecidas em grande quantidade. Chega ao pronto atendimento pálida, sudorética, hipotensa (PA = 80 mmHg X 50 mmHg), taquicárdica (FC = 130 bpm), lúcida e ansiosa, e não há sinais de irritação peritoneal ao exame do abdome.

Com relação a essa situação hipotética, assinale a alternativa que indica o manejo inicial apropriado para o caso apresentado.

 

Provas

Questão presente nas seguintes provas

Uma mulher de 50 anos de idade apresenta dispneia progressiva há 15 dias, com episódios de dor torácica em pontada, que melhoram espontaneamente. Refere que isso ocorreu concomitantemente ao início de quadro de edema em membros inferiores. Apresentava PA = 150 mmHg x 90 mmHg, FC = 120 bpm, potássio = 5,6 meq/L e creatinina = 3m g/dL.

Com base nesse caso clínico hipotético, a conduta adequada é iniciar

 

Provas

Questão presente nas seguintes provas

Considere hipoteticamente que uma paciente de 45 anos de idade foi à emergência por apresentar confusão mental. Foi solicitada uma tomografia de crânio, que demonstrou edema bilateral envolvendo a substância branca, atingindo os territórios vasculares posteriores (lobos parietais e occipitais). A pressão arterial da paciente na admissão era de 240 mmHg x 120 mmHg.

Acerca do exposto, assinale a conduta apropriada a ser tomada nesse caso.

 

Provas

Questão presente nas seguintes provas

Um paciente de 35 anos de idade apresentava, há 25 minutos, dor torácica em aperto, que se iniciou durante um jogo de futebol. Refere náuseas e vômitos. Na emergência, o paciente foi examinado e a respectiva PA era de 80 mmHg x 60 mmHg, a FC era de 40 bpm e havia ausência de sinais de edema pulmonar.

Quanto ao caso hipotético apresentado, assinale a alternativa que apresenta a conduta imediata apropriada para esse paciente.

 

Provas

Questão presente nas seguintes provas

Em casos de violência sexual contra mulheres, é necessária a utilização de amplo arsenal terapêutico para a prevenção de doenças sexualmente transmissíveis e de gestação.

Considerando-se o abuso sexual de uma mulher não gestante e as recomendações do Protocolo Clínico e Diretrizes Terapêuticas (PCDT) – Atenção Integral às Pessoas com Infecções Sexualmente Transmissíveis (IST) de 2015, assinale a alternativa correta.

 

Provas

Questão presente nas seguintes provas

R.T.A., uma adolescente de 15 anos de idade, chega à consulta médica de pronto atendimento e apresenta queixa de diarreia desde a manhã anterior, com 12 evacuações nas últimas 24 horas. Nega presença de sangue, muco ou pus nas fezes. Refere dois vômitos hoje, sendo o último há mais de seis horas. Relata também febre aferida de 38,0 °C no primeiro dia da doença. Ao exame físico, nota-se desconforto abdominal difuso à palpação, sem presença de peritonismo. Não há sinais de desidratação.

A respeito do caso hipotético apresentado, assinale a alternativa correta.

 

Provas

Questão presente nas seguintes provas

A paciente E.I.R., de 22 anos de idade, sem comorbidades, com data de última menstruação há uma semana, comparece à consulta de pronto atendimento com queixas de disúria e de polaciúria há dois dias, sem febre. Ao exame físico, constatou-se apenas desconforto em região suprapúbica, sem peritonismo. O sinal de Giordano (punho-percussão lombar) é negativo bilateralmente. A paciente encontra-se em bom estado geral.

Acerca desse caso clínico hipotético, assinale a alternativa correta.

 

Provas

Questão presente nas seguintes provas

Considere hipoteticamente que certo psiquiatra atende A.C.E., uma paciente com diagnóstico de depressão e em uso diário de sertralina 100 mg, atualmente com controle parcial. Ela trabalha como costureira em estabelecimento próximo à respectiva moradia. Após a última consulta, o psiquiatra considerou necessário afastá-la das atividades profissionais por um período de 10 dias. Tendo em vista que A.C.E. já havia apresentado dois atestados no último ano, o empregador compareceu ao consultório do psiquiatra, solicitando informações acerca do diagnóstico e do quadro atual da paciente, assim como a discriminação do diagnóstico nos atestados médicos.

Em relação a essa situação e com base nos conhecimentos a ela relacionados, assinale a alternativa correta.

 

Provas

Questão presente nas seguintes provas

Enunciado 3433325-1

Com base nas informações do texto, é correto afirmar que as commodities em destaque na produção agrícola da região geoeconômica do DF e Entorno são

 

Provas

Questão presente nas seguintes provas