Foram encontradas 49 questões.
O estudo neurofisiológico é fundamental para o diagnóstico da miastenia gravis (MG). Qual achado eletromiográfico é característico da MG?
Provas
Paciente, sexo masculino, 39 anos de idade apresenta dor de caráter excruciante em região periorbitária esquerda, associada a miose e ptose palpebral ipsilateral. Duração aproximada de 90 minutos e frequência média de 3 crises por dia, sendo mais frequente no período noturno. Qual é a provável etiologia da cefaleia e a melhor abordagem terapêutica na crise aguda?
Provas
Na monitorização de um paciente com traumatismo cranioencefálico grave, a pressão arterial média menos a pressão intracraniana (PAM-PIC) determina o valor da
Provas
Quanto à fratura do odontoide tipo II, assinale a alternativa correta.
Provas
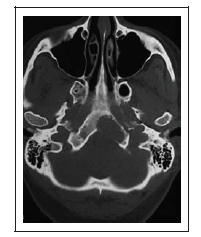
Uma mulher de 44 anos de idade passou a apresentar, na última semana, episódios esporádicos de parestesias em hemiface esquerda. Por duas vezes, apresentou dificuldade para ingerir líquidos. Apresentou três episódios de vertigens rotatórias e vômitos. De patologias pregressas, apenas hipertensão arterial leve, controlada com uso de losartana. O exame neurológico é normal. Não há alterações objetivas no exame nos nervos cranianos. Hemograma, glicemia, dosagem de derivados nitrogenados, eletrólitos no sangue: tudo normal. Exame de neuroimagem, reproduzido a seguir, mostra a presença de uma lesão expansiva osteolítica no terço inferior do clivus, à esquerda, que se estende até o arco anterior do atlas.

Nesse caso, o acesso que permite ressecção da lesão associada a um menor risco de morbidade e menor tempo de internação hospitalar é a via
Provas
A maioria dos casos de hemorragia subaracnoidea espontânea (HSAE) em adultos deve-se à ruptura de aneurisma intracraniano. Assinale a alternativa correta a respeito desse assunto.
Provas
Há várias vias de acesso para os tumores da região pineal. Assinale a alternativa correta a respeito desse assunto.
Provas
Com relação à histologia dos vários tipos de tumores encontrados dentro do crânio, assinale a alternativa correta.
Provas
Uma senhora de 45 anos de idade, previamente sadia, notou leve desvio da rima labial para a direita há um mês. Há dois dias, vêm ocorrendo episódios de curta duração, que se iniciam com sensação de odor desconhecido, seguido por sensação de desorientação, o que faz deixar de reconhecer ambientes familiares como sua própria casa. Ocorrem cerca de sete episódios ao dia. Ela continua realizando seus afazeres domésticos rotineiramente. Não apresentou febre, tosse, dor abdominal, alterações urinárias ou fecais. O exame clínico mostra paciente consciente, orientada, sem oftalmoplegias, com fundo de olho normal. Há leve hemiparesia esquerda que envolve a hemiface e MSE. Não há sinal de Babinski. Os exames de sangue, incluindo hemograma, VHS, PCR, eletrólitos, glicose, ureia, transaminases, radiografia de tórax, foram normais. Uma ressonância magnética de crânio mostrou os achados a seguir.

Os dados clínicos associados aos dados de neuroimagem apontam para o diagnóstico de
Provas
Uma paciente de 52 anos de idade apresentou episódio agudo de cefaleia intensa, vômitos, queda do nível de consciência. Foi trazida ao pronto-socorro, sendo encontrados sinais de irritação meníngea no exame clínico. Uma tomografia computadorizada de crânio sem contraste mostrou hiperdensidade nas cisternas aracnoides. Nesse caso, o melhor exame para esclarecer o diagnóstico é
Provas
Caderno Container