Foram encontradas 1.101 questões.
Provas
Provas
Provas
Provas
Observe a imagem a seguir e assinale a alternativa correta referente ao que ela evidencia.

Provas
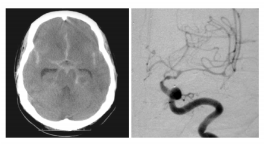
Uma mulher de 66 anos foi admitida na emergência com hemorragia subaracnoidea (HSA) aneurismática aguda e submetida a um procedimento de clipagem, permanecendo em UTI no pós-operatório. No décimo dia após o procedimento, ela começou a apresentar fala arrastada, com piora na inclinação facial para a direita e fraqueza no braço direito. Ela também estava bastante sonolenta, com muita dificuldade para despertar. Foram realizadas tomografia computadorizada de crânio sem contraste e angiografia, mostradas a seguir. Qual alternativa apresenta o melhor tratamento para o caso?

Provas
Uma paciente de 75 anos começou a apresentar perda da destreza manual e dificuldade para escrever e fechar os botões das roupas, evoluindo, ao longo de anos, com fraqueza e dormência de membros superiores, predominantemente distal, dor cervical persistente, às vezes intensa, seguida de atrofia de mãos e paraparesia. Foi, então, levada pelos filhos ao médico neurologista e realizou Ressonância Magnética (RM) de crânio, que estava normal, mais Radiografia e RM de coluna cervical, mostradas a seguir. Qual é a principal hipótese diagnóstica para o caso?

Provas

Provas

Provas
Paciente masculino, 55 anos, queixa-se de ferida em MID há 7 anos. Apresenta HAS, DM e sobrepeso, além de edema de MMII e peso e cansaço ao final do dia. Relata que sintomas melhoram com repouso e elevação dos membros. Foi realizado um Ecodoppler venoso de membros inferiores que diagnosticou refluxo em toda veia safena Magna e sem evidências de trombose antiga em membro inferior direito. Pulsos arteriais simétricos e presentes.

Sobre esse caso clínico, qual é a sua classificação CEAP?
Provas
Caderno Container