Foram encontradas 1.100 questões.
Em relação ao sistema PACS, assinale a afirmativa correta.
Provas
Na radiografia computadorizada (CR), podem ocorrer artefatos fantasmas na imagem. O aparecimento desses artefatos dá-se
Provas
De acordo com os posicionamentos de crânio, qual incidência permite avaliar os processos clinoides anteriores e posteriores e o dorso da sela?
Provas
De acordo com a física, é correto afirmar que as ondas eletromagnéticas
Provas
Dos receptores de imagem comumente utilizados na radiologia, qual está relacionado à radiologia digital e é conhecido como Image Plate (IP)?
Provas
Em relação à radiação secundária, é correto afirmar:
Provas
INSTRUÇÃO: Observe as figuras a seguir para responder à questão.

As setas nas figuras acima apontam respectivamente estruturas anatômicas nos exames de tomografia computadorizada. Marque a alternativa que apresenta a sequência correta.
Provas
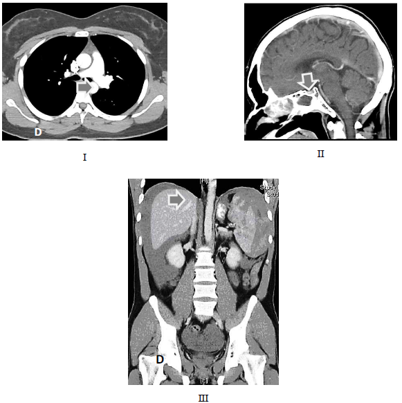
INSTRUÇÃO: Observe as figuras a seguir para responder à questão.

Em Tomografia Computadorizada, as imagens I, II e III representam, respectivamente, quais cortes e regiões anatômicas?
Provas
Alguns leucócitos aumentam no sangue sob determinadas condições clínicas do paciente. Qual leucócito, evidenciado no hemograma, está intimamente associado com as infecções causadas por helmintos?
Provas
Em relação à avaliação parasitológica em amostras de fezes, qual o método laboratorial que emprega uma centrífugo-flutuação com sulfato de zinco para pesquisa de ovos e cistos leves?
Provas
Caderno Container