Magna Concursos

Foram encontradas 563 questões.

3953063 Ano: 2025
Disciplina: Medicina
Banca: VUNESP
Orgão: Pref. Sorocaba-SP
Provas:
Ao exame físico de mulher de 40 anos de idade com queixa de dispneia, nota-se sopro sistólico regurgitativo e holossistólico. O sopro aumenta em decúbito lateral esquerdo e diminui com inspiração. A B1 é hipofonética.

Esses achados sugerem
 

Provas

Questão presente nas seguintes provas
3953062 Ano: 2025
Disciplina: Medicina
Banca: VUNESP
Orgão: Pref. Sorocaba-SP
Provas:
Mulher, 66 anos de idade, diabética, hipertensa, com doença renal crônica (clearance de creatinina de 20 mL/min) e com placa aterosclerótica < 50% em carótida interna direita, apresenta fibrilação atrial permanente.

Em relação à anticoagulação, deve-se optar por
 

Provas

Questão presente nas seguintes provas
3953061 Ano: 2025
Disciplina: Medicina
Banca: VUNESP
Orgão: Pref. Sorocaba-SP
Provas:
Paciente com cirrose hepática apresenta ascite refratária ao tratamento clínico. Considera-se a realização de anastomose intra-hepática portossistêmica transjugular (TIPS).

Deve-se orientar paciente e familiares sobre a possibilidade de maior risco de
 

Provas

Questão presente nas seguintes provas
3953060 Ano: 2025
Disciplina: Medicina
Banca: VUNESP
Orgão: Pref. Sorocaba-SP
Provas:
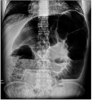
Homem, 76 anos de idade, apresenta dor abdominal, além de estar sem evacuar há 6 dias. Ao exame físico, nota-se dor à palpação e superficial difusa, além de descompressão brusca positiva. Realiza-se a radiografia de abdômen a seguir:


Enunciado 4892792-1

(Arquivo pessoal; imagem usada com autorização)

A hipótese diagnóstica é
 

Provas

Questão presente nas seguintes provas
3953059 Ano: 2025
Disciplina: Medicina
Banca: VUNESP
Orgão: Pref. Sorocaba-SP
Provas:
Assinale a alternativa correta em relação ao tratamento da osteoporose.
 

Provas

Questão presente nas seguintes provas
3953058 Ano: 2025
Disciplina: Medicina
Banca: VUNESP
Orgão: Pref. Sorocaba-SP
Provas:
Mulher, 60 anos de idade, hipertensa estágio 1, apresenta LDL-colesterol de 110 mg/dL e colesterol não-HDL de 160 mg/dL. Doppler de carótidas mostra placa aterosclerótica menor que 50% em artéria carótida comum esquerda.

Assinale a alternativa correta sobre o manejo farmacológico do colesterol.
 

Provas

Questão presente nas seguintes provas
3953057 Ano: 2025
Disciplina: Medicina
Banca: VUNESP
Orgão: Pref. Sorocaba-SP
Provas:
Mulher, 35 anos de idade, apresenta miocardiopatia hipertrófica septal.

Assinale a alternativa que contém um fator de risco para morte súbita.
 

Provas

Questão presente nas seguintes provas
3953056 Ano: 2025
Disciplina: Medicina
Banca: VUNESP
Orgão: Pref. Sorocaba-SP
Provas:
Homem, 26 anos de idade, procura atendimento por lesão indolor em pênis há 4 semanas. A lesão é ulcerosa, única, com base endurecida e fundo limpo. Em exame físico, notam-se ainda linfonodos aumentando em região inguinal.

A hipótese diagnóstica é
 

Provas

Questão presente nas seguintes provas
3953055 Ano: 2025
Disciplina: Medicina
Banca: VUNESP
Orgão: Pref. Sorocaba-SP
Provas:
Homem, 40 anos de idade, assintomático, fez exames laboratoriais para avaliação da saúde. Apresenta sorologia para HIV positiva, confirmada por mais de um método.

Assinale a alternativa correta sobre a terapia antirretroviral para esse paciente.
 

Provas

Questão presente nas seguintes provas
3953054 Ano: 2025
Disciplina: Medicina
Banca: VUNESP
Orgão: Pref. Sorocaba-SP
Provas:
Homem, 26 anos de idade, inicia tratamento de tuberculose com rifampicina, isoniazida, pirazinamida e etambutol. Após duas semanas, o paciente desenvolve icterícia, acompanhada de dor epigástrica, náuseas e aumento de enzimas hepáticas.

Assinale a alternativa correta sobre o manejo.
 

Provas

Questão presente nas seguintes provas