Magna Concursos

Foram encontradas 1.077 questões.

799577 Ano: 2006
Disciplina: Medicina
Banca: VUNESP
Orgão: Pref. Sorocaba-SP
Provas:

Os gangliogliomas são tumores responsáveis por 0,6% dos tumores intracranianos. Muitas vezes apresentam calcificações e causam crises epilépticas e sinais focais. Sua principal localização é no

 

Provas

Questão presente nas seguintes provas
799576 Ano: 2006
Disciplina: Medicina
Banca: VUNESP
Orgão: Pref. Sorocaba-SP
Provas:

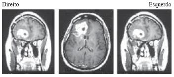
As imagens de RNM, com seqüências ponderadas em T1, feitas com contraste gadolíneo, mostram a presença de um processo expansivo na região frontal direita.

Enunciado 799576-1

O achado anátomo- patológico mais relacionado à piora do prognóstico do tumor apresentado é

 

Provas

Questão presente nas seguintes provas
799575 Ano: 2006
Disciplina: Medicina
Banca: VUNESP
Orgão: Pref. Sorocaba-SP
Provas:

Os meduloblastomas são responsáveis por significativo percentual dos tumores na infância. Qual a alternativa incorreta em relação a esses tumores?

 

Provas

Questão presente nas seguintes provas
799574 Ano: 2006
Disciplina: Medicina
Banca: VUNESP
Orgão: Pref. Sorocaba-SP
Provas:

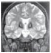
Menino de 9 anos de idade apresenta-se com transtorno progressivo de marcha, oligocinesia, movimentos distônicos dos membros superiores, declínio cognitivo e progressiva diminuição da visão. Ao exame clínico, constata-se hipertonia generalizada nos 4 membros e discreta hiperreflexia. Sua ressonância nuclear magnética de crânio mostra a alteração regsitrada na figura:

Enunciado 799574-1

Corte coronário de RNM com imagens ponderadas em T2 Pode-se afirmar que o metal acumulado de forma significativa no sistema nervoso central do paciente é o

 

Provas

Questão presente nas seguintes provas
799573 Ano: 2006
Disciplina: Medicina
Banca: VUNESP
Orgão: Pref. Sorocaba-SP
Provas:

O mais comum dos adenomas secretores da hipófise é o que secreta

 

Provas

Questão presente nas seguintes provas
799572 Ano: 2006
Disciplina: Medicina
Banca: VUNESP
Orgão: Pref. Sorocaba-SP
Provas:

A mioclonia pós-anóxica, também chamada de síndrome de Lance-Adams, pode ocorrer após quadros de encefalopatia anóxica. Qual a alternativa incorreta em relação a essa entidade?

 

Provas

Questão presente nas seguintes provas
799571 Ano: 2006
Disciplina: Medicina
Banca: VUNESP
Orgão: Pref. Sorocaba-SP
Provas:

Paciente dá entrada em Unidade de Emergência com quadro neurológico e, após investigação de imagem, é submetido a exame do líquido cefalorraquidiano, que demonstra a seguinte alteração:

Enunciado 799571-1

 

Provas

Questão presente nas seguintes provas
799570 Ano: 2006
Disciplina: Medicina
Banca: VUNESP
Orgão: Pref. Sorocaba-SP
Provas:

Correlacione as doenças descritas na coluna A com o padrão de herança genética da coluna B.

Enunciado 799570-1

Assinale a alternativa que apresenta corretamente essa correlação.

 

Provas

Questão presente nas seguintes provas
799569 Ano: 2006
Disciplina: Medicina
Banca: VUNESP
Orgão: Pref. Sorocaba-SP
Provas:

Recentemente, uma polêmica decisão do Supremo Tribunal Federal admitiu a possibilidade de abortamento terapêutico em casos de anencefalia. Em relação a essa entidade, é correto afirmar que

 

Provas

Questão presente nas seguintes provas
799568 Ano: 2006
Disciplina: Medicina
Banca: VUNESP
Orgão: Pref. Sorocaba-SP
Provas:

A hidrocefalia de pressão normal é patologia crônica, determinando hidrocefalia comunicante, de início na idade adulta. Qual a alternativa incorreta em relação a essa entidade?

 

Provas

Questão presente nas seguintes provas