Foram encontradas 465 questões.
Assinale a alternativa correta em relação à osteoporose pós-menopausa.
Provas
Funcionário de um bar é levado ao hospital por sua esposa, que relata preocupação por ele estar confuso e “falando bobagens” há algumas semanas. O paciente tem marcha instável, mas seu nível de álcool no ar expirado é zero. Ao exame físico, ele tem oftalmoplegia e está desorientado no tempo. Seus testes de função hepática estão alterados.
Qual é o diagnóstico mais provável?
Provas
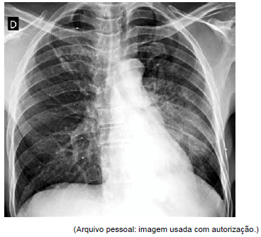
Paciente é atendido em consulta de retorno. Ele tem histórico de asma, mas há 3 dias tem evoluído com deterioração significativa da doença. A radiografia de tórax realizada é mostrada a seguir.

Considerando os dados descritos, qual é a mais provável causa da piora da asma?
Provas
Paciente de 53 anos, soropositiva para o vírus da imunodeficiência humana (HIV), com contagem de CD4 de 550 células/mm3, apresenta um teste positivo de liberação de interferon-gama (IGRA), mostrando células T reativas a antígenos do Mycobacterium tuberculosis. Ela é assintomática e a radiografia de tórax é normal.
Com os dados descritos, em relação à tuberculose, o diagnóstico correto é
Provas
Em relação às intoxicações por inseticidas, constitui um achado de efeito colinérgico muscarínico:
Provas
Homem de 79 anos saudável apresenta várias quedas recentes, todas enquanto caminhava pela cidade. As testemunhas não relatam perda de consciência. Ele toma tiroxina e paracetamol, mas nenhum outro medicamento.
Qual intervenção tem maior probabilidade de reduzir seu risco de quedas?
Provas
Empresária de 33 anos chega à unidade de saúde com dor torácica de início agudo e vários outros sintomas. Ela admite que tem usado cocaína e algumas outras drogas recreativas.
Assinale a alternativa que apresenta uma combinação de características que poderia ser atribuível à intoxicação por cocaína.
Provas
Homem de 80 anos apresenta o achado incidental de um sopro sistólico de ejeção associado a frêmito paraesternal.
Qual é a provável razão subjacente para os achados?
Provas
Mulher de 65 anos com osteoartrite procura assistência médica com quadro de dor nos joelhos que piora ao subir e descer escadas. Ela não fuma e não ingere bebidas alcoólicas. Refere dislipidemia e hipertensão em uso de sinvastatina e hipertensão. Sua altura é de 154 cm e seu peso é de 95 kg.
O tratamento mais adequado para a dor nos joelhos é
Provas
Homem de 46 anos apresenta quadro agudo de formigamento nas mãos e pés e fala que não consegue respirar; ele sente que está prestes a desmaiar a qualquer momento. Ao exame físico, apresenta taquicardia sinusal; a saturação de oxigênio é de 100%. Refere que apresentou quadro semelhante por 5 vezes nos últimos 3 meses.
O diagnóstico mais provável é transtorno
Provas
Caderno Container