Foram encontradas 465 questões.
3799916
Ano: 2024
Disciplina: Odontologia
Banca: Avança SP
Orgão: Pref. São Lourenço Serra-SP
Disciplina: Odontologia
Banca: Avança SP
Orgão: Pref. São Lourenço Serra-SP
Provas:
Um modelo de estudo deve ser uma reprodução
acurada de todos os achados potenciais que
auxiliem o diagnóstico.
Marque a alternativa INCORRETA, a respeito dos modelos de estudo.
Marque a alternativa INCORRETA, a respeito dos modelos de estudo.
Provas
Questão presente nas seguintes provas
3799915
Ano: 2024
Disciplina: Odontologia
Banca: Avança SP
Orgão: Pref. São Lourenço Serra-SP
Disciplina: Odontologia
Banca: Avança SP
Orgão: Pref. São Lourenço Serra-SP
Provas:
CAD/CAM é a sigla de Computer-Aided
Design/Computer-Aided Manufacturing. Os
dentistas e os técnicos em prótese dentária
utilizam a tecnologia CAD/ CAM para desenhar
as características anatômicas, tamanhos e
formato de uma restauração no computador.
Provas
Questão presente nas seguintes provas
3799914
Ano: 2024
Disciplina: Odontologia
Banca: Avança SP
Orgão: Pref. São Lourenço Serra-SP
Disciplina: Odontologia
Banca: Avança SP
Orgão: Pref. São Lourenço Serra-SP
Provas:
Os elos da cadeia de infecção incluem: 1 -
virulência, 2 - número de microrganismos, 3 -
hospedeiro suscetível e 4 - porta de entrada. As
estratégias de controle de infecção são destinadas
a quebrar um elo na cadeia de infecção
imaginária. Quebre qualquer elo da cadeia e você
interromperá o processo infeccioso.
Em relação ao elo virulência é correto responder:
Em relação ao elo virulência é correto responder:
Provas
Questão presente nas seguintes provas
3799913
Ano: 2024
Disciplina: Odontologia
Banca: Avança SP
Orgão: Pref. São Lourenço Serra-SP
Disciplina: Odontologia
Banca: Avança SP
Orgão: Pref. São Lourenço Serra-SP
Provas:
“É realizada para remover cálculo supragengival
da superfície dental com raspadores periodontais.
As curetas são utilizadas para remover cálculo
supragengival e subgengival.”
A descrição acima se refere ao procedimento de:
A descrição acima se refere ao procedimento de:
Provas
Questão presente nas seguintes provas
3799912
Ano: 2024
Disciplina: Odontologia
Banca: Avança SP
Orgão: Pref. São Lourenço Serra-SP
Disciplina: Odontologia
Banca: Avança SP
Orgão: Pref. São Lourenço Serra-SP
Provas:
Observe as letras indicadas abaixo e marque a alternativa que corresponde às indicações corretas.

Provas
Questão presente nas seguintes provas
3799911
Ano: 2024
Disciplina: Odontologia
Banca: Avança SP
Orgão: Pref. São Lourenço Serra-SP
Disciplina: Odontologia
Banca: Avança SP
Orgão: Pref. São Lourenço Serra-SP
Provas:
O tempo de indução é definido como o período
da deposição da solução anestésica até o bloqueio
completo da condução. A respeito do tempo de
indução, marque a alternativa correta.
Provas
Questão presente nas seguintes provas
Quando um medicamento entra no corpo, ele
passa por quatro estágios:
1. Absorção
2. Distribuição
3. Metabolismo
4. Excreção.
Analise as afirmativas abaixo e relacione o estágio numerado acima com sua definição e marque a sequência correta.
( ) Uma vez que o composto químico é liberado, o medicamento é metabolizado e excretado pelo fígado ou rins.
( ) O medicamento deixa o corpo pelos rins, fígado, saliva, leite materno e suor.
( ) O medicamento é absorvido a partir do local de entrada. A velocidade da absorção varia dependendo da forma como o medicamento é administrado. A via mais lenta de absorção é pela boca (oralmente).
( ) Uma vez que o medicamento entrou na corrente sanguínea, o composto químico do medicamento se une às proteínas do sangue. Em seguida, ele circula por todo o corpo para ser liberado e produzir efeito onde se pretende agir.
1. Absorção
2. Distribuição
3. Metabolismo
4. Excreção.
Analise as afirmativas abaixo e relacione o estágio numerado acima com sua definição e marque a sequência correta.
( ) Uma vez que o composto químico é liberado, o medicamento é metabolizado e excretado pelo fígado ou rins.
( ) O medicamento deixa o corpo pelos rins, fígado, saliva, leite materno e suor.
( ) O medicamento é absorvido a partir do local de entrada. A velocidade da absorção varia dependendo da forma como o medicamento é administrado. A via mais lenta de absorção é pela boca (oralmente).
( ) Uma vez que o medicamento entrou na corrente sanguínea, o composto químico do medicamento se une às proteínas do sangue. Em seguida, ele circula por todo o corpo para ser liberado e produzir efeito onde se pretende agir.
Provas
Questão presente nas seguintes provas
3799909
Ano: 2024
Disciplina: Odontologia
Banca: Avança SP
Orgão: Pref. São Lourenço Serra-SP
Disciplina: Odontologia
Banca: Avança SP
Orgão: Pref. São Lourenço Serra-SP
Provas:
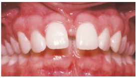
Além de avaliar a oclusão de um paciente, o
ortodontista examina o alinhamento específico
dos dentes e arcos.
Dentre os problemas mais comuns de mau alinhamento, o que se caracteriza por um aumento vertical da sobreposição dos incisivos superiores, onde os incisivos inferiores podem não ser visíveis (como o exemplo da figura acima); é denominado:
Dentre os problemas mais comuns de mau alinhamento, o que se caracteriza por um aumento vertical da sobreposição dos incisivos superiores, onde os incisivos inferiores podem não ser visíveis (como o exemplo da figura acima); é denominado:
Provas
Questão presente nas seguintes provas
3799908
Ano: 2024
Disciplina: Odontologia
Banca: Avança SP
Orgão: Pref. São Lourenço Serra-SP
Disciplina: Odontologia
Banca: Avança SP
Orgão: Pref. São Lourenço Serra-SP
Provas:
O raspador ultrassônico proporciona rápida
remoção de cálculo e reduz a fadiga das mãos do
operador.
A utilização de um raspador ultrassônico está contra indicada para:
A utilização de um raspador ultrassônico está contra indicada para:
Provas
Questão presente nas seguintes provas
3799907
Ano: 2024
Disciplina: Odontologia
Banca: Avança SP
Orgão: Pref. São Lourenço Serra-SP
Disciplina: Odontologia
Banca: Avança SP
Orgão: Pref. São Lourenço Serra-SP
Provas:
Observe os pontos na imagem sinalizados como
a e b. As áreas onde se encontram os pontos a e
b, são consideradas respectivamente como:


Provas
Questão presente nas seguintes provas
Cadernos
Caderno Container