Foram encontradas 295 questões.
Quanto ao posicionamento, leia as afirmativas abaixo.
I. A posição anatômica se refere à pessoa de pé, com os braços esticados, pés retos, palmas das mãos viradas para frente e olhando para o horizonte.
II. A posição ortostática se refere ao paciente em pé e ereto.
III. Na posição de decúbito dorsal o paciente está deitado sobre o dorso, ou seja, com a barriga para cima.
IV. O decúbito ventral é a posição contrária ao decúbito dorsal, com o paciente deitado sobre o abdômen.
Estão CORRETAS as afirmativas:
Provas
Dos objetos abaixo, o que NÃO compramos aos pares é o:
Provas
A respeito dos termos de incidências de uso especial e adicional, assinale a alternativa correta sobre a incidência axial.
Provas
Uma conta foi paga com as cédulas abaixo:

E o troco foi recebido com as cédulas:

Qual era o valor da conta?
Provas
Veja os preços abaixo:

Fui à feira para comprar dois quilos de cenoura, uma abóbora e um quilo de cebola. Quanto gastei?
Provas
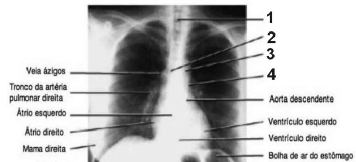
Analise a imagem abaixo.

O número 1 acima indica o(a):
Provas
Com R$ 100,00, é possível comprar dois brinquedos que custam, respectivamente, R$ 44,80 e R$55,10?
Provas
Observe os comprimentos de alguns dos maiores rios brasileiros, depois responda as questões de 35 a 37:

Quantos quilômetros têm os rios Amazonas, Araguaia, Madeira e São Francisco juntos?
Provas
No que diz respeito aos pontos topográficos do crânio, é CORRETO afirmar:
Provas
Observe os comprimentos de alguns dos maiores rios brasileiros, depois responda as questões de 35 a 37:

Quantos quilômetros o rio Madeira tem a mais que o rio São Francisco?
Provas
Caderno Container