Foram encontradas 392 questões.
Disciplina: Técnicas em Laboratório
Banca: AOCP
Orgão: Pref. São Bento Sul-SC
Provas
Provas
Provas
Provas
Provas
Paciente do sexo feminino, 56 anos, recebeu laudo da sua mamografia anual de rastreamento, com classificação BI-RADS 0, justificada por assimetria focal no QSL da mama direita. Na ecografia complementar, observou-se o achado da seguinte imagem na topografia da assimetria descrita. Com base na análise das imagens, assinale a alternativa correta.

Provas
Um médico radiologista está de sobreaviso e recebe a ligação do plantonista da cirurgia geral para avaliar a tomografia de paciente feminino, 60 anos, com queixa de dor abdominal baixa há 1 dia. De acordo com as seguintes imagens, qual é o diagnóstico mais provável?

Provas
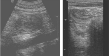
Paciente do sexo feminino, 1 ano e 3 meses, é levada pela mãe ao pronto atendimento pediátrico, com relato de choro forte acompanhado de movimento de flexão das pernas e fezes em “geleia de framboesa”. Com base no quadro clínico e nas imagens ecográficas realizadas no flanco direito, qual é a principal hipótese diagnóstica?

Provas
Provas
Provas
Caderno Container