Magna Concursos

Foram encontradas 752 questões.

3103610 Ano: 2024
Disciplina: Medicina
Banca: Darwin
Orgão: Pref. Santa Cruz Capibaribe-PE
Provas:
Paciente de 27 anos, sexo feminino, deu entrada na emergência com palpitações taquicárdicas, pressão arterial de 110x60 mmHg, consciente, orientada e sem outros sintomas. O eletrocardiograma (ECG) inicial é o representado abaixo: 

Enunciado 3103610-1


Mediante o quadro e o resultado ora apresentados, em relação à conduta a ser adotada para esta paciente, assinale a alternativa correta
 

Provas

Questão presente nas seguintes provas
3103609 Ano: 2024
Disciplina: Medicina
Banca: Darwin
Orgão: Pref. Santa Cruz Capibaribe-PE
Provas:
Marcos Victor, 70 anos, hipertenso e diabético evolui com dor torácica em aperto. Realizou ECG, cujo resultado é o que segue: 


Enunciado 3103609-1



Mediante a análise do resultado acima, em relação à conduta medicamentosa, assinale a alternativa correta.
 

Provas

Questão presente nas seguintes provas
3103608 Ano: 2024
Disciplina: Medicina
Banca: Darwin
Orgão: Pref. Santa Cruz Capibaribe-PE
Provas:
Paciente, 60 anos, sexo masculino, com história de insuficiência cardíaca congestiva secundária a doença arterial coronariana,


Enunciado 3103608-1



Mediante a análise do resultado acima, assinale a alternativa que apresenta o diagnóstico eletrocardiográfico.
 

Provas

Questão presente nas seguintes provas
3103607 Ano: 2024
Disciplina: Medicina
Banca: Darwin
Orgão: Pref. Santa Cruz Capibaribe-PE
Provas:
Após mais uma derrota do seu time do coração, torcedor, sexo masculino, 57 anos, passa a sentir dor torácica em aperto e é levado ao hospital. Realiza o ECG, o resultado é o que segue: 



Enunciado 3103607-1




Mediante a análise do resultado acima, assinale a alternativa que apresenta a provável patologia identificada.
 

Provas

Questão presente nas seguintes provas
3103606 Ano: 2024
Disciplina: Medicina
Banca: Darwin
Orgão: Pref. Santa Cruz Capibaribe-PE
Provas:
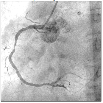
Paciente de 66 anos, relata queixa de dor torácica em aperto. Procura atendimento médico onde realiza ECG que evidencia IAM com supra de ST. Então, é levada à hemodinâmica onde é realizado o exame, cujo achado segue abaixo: 



Enunciado 3103606-1


Em relação à anormalidade evidenciada, assinale a alternativa que apresenta a coronária acometida.
 

Provas

Questão presente nas seguintes provas
3103605 Ano: 2024
Disciplina: Medicina
Banca: Darwin
Orgão: Pref. Santa Cruz Capibaribe-PE
Provas:
Paciente com história de síncope e dispneia deu entrada na sala de hemodinâmica e realizou registro de pressão, conforme ilustração abaixo: 


Enunciado 3103605-1



Em relação ao registro de pressão acima, pode-se concluir que o paciente é portador de
 

Provas

Questão presente nas seguintes provas
3103604 Ano: 2024
Disciplina: Medicina
Banca: Darwin
Orgão: Pref. Santa Cruz Capibaribe-PE
Provas:
Jogador de futebol apresenta mal súbito durante partida. Realizado ecocardiograma, foi diagnosticada miocardiopatia hipertrófica. Em relação à patologia apresentada, assinale a alternativa correta.
 

Provas

Questão presente nas seguintes provas
3103603 Ano: 2024
Disciplina: Medicina
Banca: Darwin
Orgão: Pref. Santa Cruz Capibaribe-PE
Provas:
Em relação à Síndrome Coronariana Aguda, analise os itens abaixo:

I. Paciente com angina instável e alto risco deve fazer investigação eletivamente.
II. Paciente apresentando IAM com supra não deve aguardar troponina para definir conduta.
III. Está contraindicado nitrato no infarto com supra de ST.
IV. Betabloqueador deve ser utilizado nas primeiras 24h de infarto se não houver contraindicação.
V. Estatina tem função de anti-inflamatório de placa de ateroma e deve ser usada precocemente.

Mediante a análise dos itens acima, assinale a alternativa correta.
 

Provas

Questão presente nas seguintes provas
3103601 Ano: 2024
Disciplina: Medicina
Banca: Darwin
Orgão: Pref. Santa Cruz Capibaribe-PE
Provas:
Paciente com história de síndrome coronariana aguda. Assinale a alternativa correta que apresenta o medicamento que deve ser evitado, se houver infarto de ventrículo direito.
 

Provas

Questão presente nas seguintes provas
3103600 Ano: 2024
Disciplina: Medicina
Banca: Darwin
Orgão: Pref. Santa Cruz Capibaribe-PE
Provas:
Uma mãe traz sua filha de quatro anos para atendimento médico. Relata que a criança é cansada e não brinca. À inspeção, observa-se cianose e baqueteamento digital. Na ausculta cardíaca, apresenta sopro cardíaco em foco pulmonar. Assinale a alternativa correta que apresenta a cardiopatia provável do caso ora apresentado.
 

Provas

Questão presente nas seguintes provas