Foram encontradas 1.695 questões.
Para realizar a imobilização de gesso cruropodálico, temos que utilizar os seguintes materiais:
Provas
A tala gessada suropodalica em equino é utilizado em casos de:
Provas
Para realizar o enfaixamento simples de tornozelo é necessário os seguintes materiais:
Provas
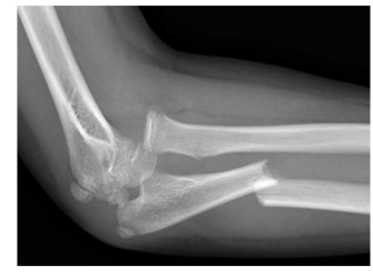
Na imagem da radiografia abaixo, temos uma fratura de Monteggia. Esta fratura está associada com:

Provas
O corpo humano possui aproximadamente 112 músculos divididos em região frontal e dorsal, sinalize o músculo mais longo do corpo humano:
Provas
Paciente com fratura de rádio medial, comparece ao pronto atendimento após realização do exame de radiografia, foi confirmado fratura com desvio. O médico ortopedista realiza o procedimento de redução incruenta, após este procedimento é necessário realizar qual imobilização:
Provas
Pensando em fratura de Hutchinson, claramente estamos associando a parte óssea:
Provas
Qual finalidade da utilização do fio de Kirschner na ortopedia:
Provas
Qual patologia pode ocorrer complicações severas, devido ausência da consolidação óssea podendo ser causada por imobilização incorreta:
Provas
Qual das imobilizações citadas, corresponde com tratamento para pacientes com fratura de terço médio da clavícula:
Provas
Caderno Container