Magna Concursos

Foram encontradas 850 questões.

2605296 Ano: 2022
Disciplina: Medicina
Banca: VUNESP
Orgão: Pref. Presidente Prudente-SP
Provas:

Segundo o parecer do Conselho Federal de Medicina (CFM), o tratamento da miopia progressiva em crianças pode ser feito com o uso de colírio de atropina na concentração de

 

Provas

Questão presente nas seguintes provas
2605295 Ano: 2022
Disciplina: Medicina
Banca: VUNESP
Orgão: Pref. Presidente Prudente-SP
Provas:

Paciente do sexo feminino, de 69 anos, parda, chega ao consultório dizendo que não consegue enxergar bem a tela de seu computador com seus óculos de leitura (de +3.00 D.E. AO), depois de uma cirurgia de catarata que realizou nos 2 olhos há 6 meses.

Seu exame oftalmológico mostrou:

– Refração sob cicloplegia:

OD +0.50 D.E. = 20/25 Add + 300 J1 a 33 cm

OE–0.75 D.E. = 20/25

– Biomicroscopia: Pseudofacia com LIO monofocal centralizada AO.

– Tonometria de aplanação: 14 mmHg AO (09:30 hs)

– Mapeamento de retina: Sem alterações AO.

Considerando que a tela de seu computador fica a 67 cm de distância de seus olhos, as lentes mais adequadas para ela enxergar a essa distância serão de

 

Provas

Questão presente nas seguintes provas
2605294 Ano: 2022
Disciplina: Medicina
Banca: VUNESP
Orgão: Pref. Presidente Prudente-SP
Provas:

Paciente do sexo masculino, 50 anos, apresenta parada cardiorrespiratória em fibrilação ventricular. É submetido à reanimação cardiopulmonar em via pública durante 20 minutos e dá entrada no hospital, onde é estabilizado e encaminhado para angioplastia por oclusão de artéria descendente anterior. Após 7 dias do evento, e já sem sedação há 4 dias, o médico neurologista é chamado para avaliar o paciente, pois ele não despertou como era esperado. Ao exame físico: isocoria fotorreativa, reflexos oculocefálico e corneopalpebral presentes, presença de respiração espontânea e, ao estímulo doloroso, apresenta resposta em descerebração bilateral. Exame de tomografia computadorizada de crânio realizada no 4o dia do evento mostra perda difusa da diferenciação entre substância branca e cinzenta supratentorial, com sinal do cerebelo branco. Sobre o prognóstico neurológico do paciente, pode-se afirmar corretamente:

 

Provas

Questão presente nas seguintes provas
2605293 Ano: 2022
Disciplina: Medicina
Banca: VUNESP
Orgão: Pref. Presidente Prudente-SP
Provas:

Paciente com hepatopatia crônica apresenta parkinsonismo, e imagem por ressonância magnética mostra hipersinal na sequência T1 em globo pálido bilateralmente. Tal achado se deve a depósito de

 

Provas

Questão presente nas seguintes provas
2605292 Ano: 2022
Disciplina: Medicina
Banca: VUNESP
Orgão: Pref. Presidente Prudente-SP
Provas:

Paciente do sexo masculino, com quadro demencial iniciado aos 45 anos, com alteração comportamental precoce, associado à história familiar positiva: avô materno, mãe e tio materno tiveram coreia e demência iniciados na idade adulta, com evolução progressiva para óbito em alguns anos. A imagem de encéfalo do paciente mostra atrofia da cabeça do núcleo caudado bilateralmente. Com relação à principal hipótese diagnóstica, assinale a alternativa correta.

 

Provas

Questão presente nas seguintes provas
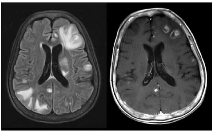
2605291 Ano: 2022
Disciplina: Medicina
Banca: VUNESP
Orgão: Pref. Presidente Prudente-SP
Provas:

Paciente do sexo masculino, 48 anos, com quadro de confusão mental há 7 dias. Tem antecedente de HIV há 18 anos, com interrupção do tratamento por conta própria há 3 anos. Ao exame, está desorientado e desatento. Realizou a ressonância magnética de crânio mostrada a seguir. O líquor tem 7 células (linfomononuclear) com bioquímica normal e tinta da China negativa.

Enunciado 3568881-1

A principal hipótese diagnóstica é:

 

Provas

Questão presente nas seguintes provas
2605290 Ano: 2022
Disciplina: Medicina
Banca: VUNESP
Orgão: Pref. Presidente Prudente-SP
Provas:

A etiologia mais comum de epilepsia fármaco-resistente com indicação cirúrgica em adultos é:

 

Provas

Questão presente nas seguintes provas
2605289 Ano: 2022
Disciplina: Medicina
Banca: VUNESP
Orgão: Pref. Presidente Prudente-SP
Provas:

Em relação às medicações antiparkinsonianas e seus respectivos mecanismos de ação, assinale a alternativa correta.

 

Provas

Questão presente nas seguintes provas
2605288 Ano: 2022
Disciplina: Medicina
Banca: VUNESP
Orgão: Pref. Presidente Prudente-SP
Provas:

Paciente do sexo feminino, 20 anos, com quadro de dor à movimentação ocular em olho direito, que evoluiu em dois dias para perda visual no mesmo olho, progressiva ao longo de três dias. Ao exame, apresenta acuidade 20/400 em olho direito, defeito pupilar aferente em olho direito e edema de papila à direita. A ressonância magnética de crânio e o líquor são normais e a pesquisa sérica de anticorpo antiaquaporina 4 é positiva. O diagnóstico é de

 

Provas

Questão presente nas seguintes provas
2605287 Ano: 2022
Disciplina: Medicina
Banca: VUNESP
Orgão: Pref. Presidente Prudente-SP
Provas:

Dentre as alternativas a seguir, qual é a de escolha no tratamento da epilepsia ausência juvenil?

 

Provas

Questão presente nas seguintes provas