Foram encontradas 1.140 questões.
Provas
Provas
Provas
Leia o enunciado a seguir e responda à questão.
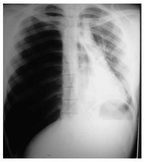
Paciente portador de asma brônquica é trazido por familiares ao pronto atendimento com queixa de dispneia súbita, dor torácica em hemitórax direito e dificuldade para falar. O exame físico revela o paciente sonolento, torporoso, taquidispneico e com cianose de extremidades. Escala de Glasgow na chegada = 8 (abertura ocular = 2, resposta verbal = 2, resposta motora = 4), PA = 100 x 60 mmHg, FC = 120 bpm e SpO2 = 73%. Realizada radiografia de tórax na sala de emergência (ilustrada a seguir).

Assinale a alternativa que contém a melhor estratégia terapêutica inicial.
Provas
Provas
Provas
Leia o enunciado a seguir e responda à questão.
Mulher, 58 anos, hipertensa e diabética, refere cansaço há 1 semana. Notou, concomitantemente, palpitação taquicárdica. Nega sintomas como: dor precordial, lipotimia ou síncope. A avaliação clínica mostra a paciente em bom estado geral, hemodinamicamente estável, PA = 120 x 70 mmHg e com auscultas pulmonar e cardíaca normais. Foi realizado um eletrocardiograma que está ilustrado a seguir.

Assinale a alternativa correta em relação à abordagem terapêutica dessa paciente.
Provas
Provas
O exame que certamente trará a confirmação diagnóstica é:
Provas
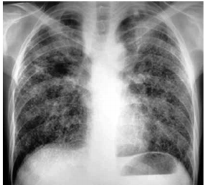
Analise a radiografia de tórax, ilustrada a seguir, e assinale a alternativa que contém a hipótese diagnóstica correta para o caso relatado.

Provas
Caderno Container