Foram encontradas 530 questões.
Analise o caso clínico a seguir.
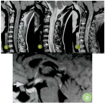
Uma paciente de 26 anos procura o pronto atendimento com queixa de dificuldade visual, seguida de perda de força nos 4 membros e dificuldade de urinar. Seu exame neurológico revelou hemianopsia heterônima, tetraparesia espástica, grau 3, hiperreflexia, hipoestesia com nível cervical para todas as formas e bexigoma. O líquor da paciente apresentou aumento leve de proteína, sem outras alterações no exame de rotina. O exame de Ressonância Magnética (RM) sagital da medula espinal cervical ponderadas em T1 (A), T2 (B) e T1 póscontraste (C) demonstra extensa mielite com hipossinal em T1 e hipersinal em T2, além de impregnação heterogénea ao contraste (setas). E o comprometimento óptico quiasmático é apresentado em detalhe de corte sagital de RM cerebral em FLAIR (seta)(D).
Caso clínico elaborado pelo(a) autor(a). Imagem: Rocha AJ, Vedolin L e Mendonça RA. Encéfalo. Rio de Janeiro. Elsevier, 2012: 657-658. 1.
No caso apresentado, o exame que completa critério diagnóstico para a principal hipótese é
Uma paciente de 26 anos procura o pronto atendimento com queixa de dificuldade visual, seguida de perda de força nos 4 membros e dificuldade de urinar. Seu exame neurológico revelou hemianopsia heterônima, tetraparesia espástica, grau 3, hiperreflexia, hipoestesia com nível cervical para todas as formas e bexigoma. O líquor da paciente apresentou aumento leve de proteína, sem outras alterações no exame de rotina. O exame de Ressonância Magnética (RM) sagital da medula espinal cervical ponderadas em T1 (A), T2 (B) e T1 póscontraste (C) demonstra extensa mielite com hipossinal em T1 e hipersinal em T2, além de impregnação heterogénea ao contraste (setas). E o comprometimento óptico quiasmático é apresentado em detalhe de corte sagital de RM cerebral em FLAIR (seta)(D).
Caso clínico elaborado pelo(a) autor(a). Imagem: Rocha AJ, Vedolin L e Mendonça RA. Encéfalo. Rio de Janeiro. Elsevier, 2012: 657-658. 1.
No caso apresentado, o exame que completa critério diagnóstico para a principal hipótese é
Provas
Questão presente nas seguintes provas
Leia o caso clínico a seguir.
Um paciente do sexo masculino, de 16 anos, inicia com diplopia, ptose leve, disfagia e fraqueza para firmar o pescoço, progredindo há uma semana com fraqueza para se manter sentado e astenia, sendo levado ao pronto atendimento. Queixa de boca seca, náuseas e ritmo intestinal lento. Refere ter passado duas semanas de férias em uma fazenda antes do início dos sintomas, quando sofreu um pequeno e profundo corte no pé direito, o qual ainda não cicatrizou. Ao exame: PA 116x 78 mmHg, FC 61 PBM, Temperatura 37,7º C, pequena lesão com hiperemia e calor em lateral de pé direito. Força muscular pouco reduzida globalmente, incluindo a face, simétrica, grau 4, com reflexos profundos preservados. Sensibilidade preservada para todas as formas. Leve disfonia. Pupilas midriáticas não reativas. Sem sinais meníngeos. Realiza um hemograma que apresenta leve leucocitose às custas de segmentados. No exame de eletroneuromiografia, é descrito baixas amplitudes de potencial de ação muscular composto (PAMC), com resposta decremental de 10 % com estímulo repetitivo de baixa frequência, mas com resposta incremental de 50% com estímulo de alta frequência, com fenômeno de facilitação prolongado e velocidades de condução normais. O estudo sensitivo é normal.
Elaborado pelo(a) autor(a).
Conforme os dados, a principal hipótese diagnóstica e o exame complementar indicado para confirmação diagnóstica são, respectivamente:
Um paciente do sexo masculino, de 16 anos, inicia com diplopia, ptose leve, disfagia e fraqueza para firmar o pescoço, progredindo há uma semana com fraqueza para se manter sentado e astenia, sendo levado ao pronto atendimento. Queixa de boca seca, náuseas e ritmo intestinal lento. Refere ter passado duas semanas de férias em uma fazenda antes do início dos sintomas, quando sofreu um pequeno e profundo corte no pé direito, o qual ainda não cicatrizou. Ao exame: PA 116x 78 mmHg, FC 61 PBM, Temperatura 37,7º C, pequena lesão com hiperemia e calor em lateral de pé direito. Força muscular pouco reduzida globalmente, incluindo a face, simétrica, grau 4, com reflexos profundos preservados. Sensibilidade preservada para todas as formas. Leve disfonia. Pupilas midriáticas não reativas. Sem sinais meníngeos. Realiza um hemograma que apresenta leve leucocitose às custas de segmentados. No exame de eletroneuromiografia, é descrito baixas amplitudes de potencial de ação muscular composto (PAMC), com resposta decremental de 10 % com estímulo repetitivo de baixa frequência, mas com resposta incremental de 50% com estímulo de alta frequência, com fenômeno de facilitação prolongado e velocidades de condução normais. O estudo sensitivo é normal.
Elaborado pelo(a) autor(a).
Conforme os dados, a principal hipótese diagnóstica e o exame complementar indicado para confirmação diagnóstica são, respectivamente:
Provas
Questão presente nas seguintes provas
Leia o texto a seguir.
O Boletim Epidemiológico, de outubro de 2023, do Ministério da Saúde, apresenta que no Brasil “...em 2021 e 2022, as taxas de detecção de sífilis adquirida atingiram patamares superiores ao período pré-pandemia, com aumento de 23% entre 2021 e 2022, passando de 80,7 para 99,2 casos por 100.000 habitantes.”.
Disponível em: : <https://www.gov.br/saude/pt-br/centrais-de-conteudo/publicacoes/boletins/epidemiologicos/especiais/2023/boletim-epidemiologico-de-sifilis-numero-especial-out.2023>. Acesso em: 09 mar. 2024. [Adaptado].
Por ser uma doença infecciosa, tratável, que pode acometer o sistema nervoso central com sinais e sintomas variados em qualquer fase da doença, trazendo risco de sequelas graves ou óbito, o diagnóstico precoce é fundamental. O Ministério da Saúde preconiza que, para o diagnóstico da sífilis, sejam utilizados dois exames, sendo um dos testes treponêmicos, e o outro, um dos testes não treponêmicos, que podem ser, respectivamente:
O Boletim Epidemiológico, de outubro de 2023, do Ministério da Saúde, apresenta que no Brasil “...em 2021 e 2022, as taxas de detecção de sífilis adquirida atingiram patamares superiores ao período pré-pandemia, com aumento de 23% entre 2021 e 2022, passando de 80,7 para 99,2 casos por 100.000 habitantes.”.
Disponível em: : <https://www.gov.br/saude/pt-br/centrais-de-conteudo/publicacoes/boletins/epidemiologicos/especiais/2023/boletim-epidemiologico-de-sifilis-numero-especial-out.2023>. Acesso em: 09 mar. 2024. [Adaptado].
Por ser uma doença infecciosa, tratável, que pode acometer o sistema nervoso central com sinais e sintomas variados em qualquer fase da doença, trazendo risco de sequelas graves ou óbito, o diagnóstico precoce é fundamental. O Ministério da Saúde preconiza que, para o diagnóstico da sífilis, sejam utilizados dois exames, sendo um dos testes treponêmicos, e o outro, um dos testes não treponêmicos, que podem ser, respectivamente:
Provas
Questão presente nas seguintes provas
De acordo como Instituto Câncer (INCA), uma das causas ambientais e ocupacionais relacionadas ao maior risco de tumores do sistema nervoso central é
Provas
Questão presente nas seguintes provas
Analise o caso clínico a seguir.
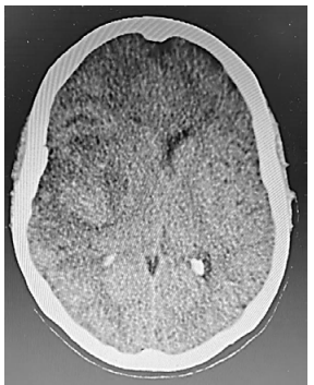
Um paciente do sexo masculino, com 47 anos, é levado pela família ao pronto atendimento com dificuldade de movimentação do dimidio esquerdo, progressiva, há quatro semanas. No dia anterior, apresentou cefaleia holocraniana que piora quando se deita, quando tosse, ou com qualquer esforço, provocando vômitos. Ao exame: escala de coma de Glasgow (ECG) 14 (M6V5O3), pupilas isocóricas e fotorreagentes. Hemiparesia esquerda grau 4 (MRC), proporcionada e completa, com sinais de liberação piramidal. Realizou tomografia de crânio conforme figura 1 abaixo. Após a realização do exame de imagem o paciente rebaixou o nível de consciência para ECG 8. Um novo exame de fundo de olho demonstrou papiledema.
Elaborado pelo(a) autor(a).
Frente a evolução clínica do paciente, as medidas clínicas padronizadas a serem realizadas emergencialmente incluem, além da entubação orotraqueal para a proteção de via aérea,
Um paciente do sexo masculino, com 47 anos, é levado pela família ao pronto atendimento com dificuldade de movimentação do dimidio esquerdo, progressiva, há quatro semanas. No dia anterior, apresentou cefaleia holocraniana que piora quando se deita, quando tosse, ou com qualquer esforço, provocando vômitos. Ao exame: escala de coma de Glasgow (ECG) 14 (M6V5O3), pupilas isocóricas e fotorreagentes. Hemiparesia esquerda grau 4 (MRC), proporcionada e completa, com sinais de liberação piramidal. Realizou tomografia de crânio conforme figura 1 abaixo. Após a realização do exame de imagem o paciente rebaixou o nível de consciência para ECG 8. Um novo exame de fundo de olho demonstrou papiledema.
Elaborado pelo(a) autor(a). Frente a evolução clínica do paciente, as medidas clínicas padronizadas a serem realizadas emergencialmente incluem, além da entubação orotraqueal para a proteção de via aérea,
Provas
Questão presente nas seguintes provas
Leia o caso clínico a seguir.
Uma paciente de 62 anos é levada ao atendimento de urgência pelos familiares que informam que há 20 minutos a paciente entortou a boca, ficou com dificuldade de falar e de movimentar o lado esquerdo do corpo, sendo previamente hígida, sem vícios. Ao exame, ela está com escala de coma de Glasgow 15, pupilas isocóricas e fotorreagentes, disártrica, com hemiparesia esquerda completa, de predomínio braquiofacial, com esboço de Hoffmann e Babinski ipsilateral, PA 150 x 96 mmHg, FC 94 BPM, oximetria de pulso 94%, glicemia capilar de 106, sem outras alterações relevantes ao exame físico.
Elaborado pelo(a) autor(a).
Com base no risco e benefício, a conduta prioritária é
Uma paciente de 62 anos é levada ao atendimento de urgência pelos familiares que informam que há 20 minutos a paciente entortou a boca, ficou com dificuldade de falar e de movimentar o lado esquerdo do corpo, sendo previamente hígida, sem vícios. Ao exame, ela está com escala de coma de Glasgow 15, pupilas isocóricas e fotorreagentes, disártrica, com hemiparesia esquerda completa, de predomínio braquiofacial, com esboço de Hoffmann e Babinski ipsilateral, PA 150 x 96 mmHg, FC 94 BPM, oximetria de pulso 94%, glicemia capilar de 106, sem outras alterações relevantes ao exame físico.
Elaborado pelo(a) autor(a).
Com base no risco e benefício, a conduta prioritária é
Provas
Questão presente nas seguintes provas
Leia o caso clínico a seguir.
Um paciente do sexo masculino, de 27 anos, é levado a unidade de pronto atendimento apresentando crise convulsiva tipo tônico-clônica generalizada, iniciada há 2 minutos. O acompanhante relata que o paciente é etilista pesado, ingerindo mais de 5 doses de cachaça por dia na última semana, sem se alimentar adequadamente.
Elaborado pelo(a) autor(a).
Com base no risco e benefício, a conduta prioritária é
Um paciente do sexo masculino, de 27 anos, é levado a unidade de pronto atendimento apresentando crise convulsiva tipo tônico-clônica generalizada, iniciada há 2 minutos. O acompanhante relata que o paciente é etilista pesado, ingerindo mais de 5 doses de cachaça por dia na última semana, sem se alimentar adequadamente.
Elaborado pelo(a) autor(a).
Com base no risco e benefício, a conduta prioritária é
Provas
Questão presente nas seguintes provas
No tratamento abortivo da crise de dor da enxaqueca, qual associação medicamentosa é contraindicada?
Provas
Questão presente nas seguintes provas
Leia o caso clínico a seguir.
Uma paciente, de 47 anos, procura atendimento por dor de cabeça há 4 dias. Conta que apresenta cefaleia recorrente desde os 17 anos. Antes os episódios de dor ocorriam uma a duas vezes por ano, passando após o uso de dipirona, mas há um mês são semanais e a dipirona não elimina totalmente a dor. Relata que a dor mantêm as características de sempre, de aumento gradual, chegando à intensidade de 10/10, tipo pulsátil, geralmente se inicia a esquerda e evoluiu para holo craniana, durando mais de 4 horas. Nessas ocasiões, sente náuseas e a claridade e o barulho a incomodam muito e ela procura um ambiente escuro onde possa descansar. Nega alterações visuais, sensitivas ou motoras durante as crises. Percebe que a cefaleia pode ser desencadeada por alguns tipos de tempero na comida. Os exames físico e neurológico da paciente são normais.
Elaborado pelo(a) autor(a).
Conforme os critérios da 3ª edição da classificação internacional de cefaleias, o estado atual da enxaqueca da paciente pode ser classificado como
Uma paciente, de 47 anos, procura atendimento por dor de cabeça há 4 dias. Conta que apresenta cefaleia recorrente desde os 17 anos. Antes os episódios de dor ocorriam uma a duas vezes por ano, passando após o uso de dipirona, mas há um mês são semanais e a dipirona não elimina totalmente a dor. Relata que a dor mantêm as características de sempre, de aumento gradual, chegando à intensidade de 10/10, tipo pulsátil, geralmente se inicia a esquerda e evoluiu para holo craniana, durando mais de 4 horas. Nessas ocasiões, sente náuseas e a claridade e o barulho a incomodam muito e ela procura um ambiente escuro onde possa descansar. Nega alterações visuais, sensitivas ou motoras durante as crises. Percebe que a cefaleia pode ser desencadeada por alguns tipos de tempero na comida. Os exames físico e neurológico da paciente são normais.
Elaborado pelo(a) autor(a).
Conforme os critérios da 3ª edição da classificação internacional de cefaleias, o estado atual da enxaqueca da paciente pode ser classificado como
Provas
Questão presente nas seguintes provas
As vias somatossensitivas conduzem as informações sensitivas do receptor ao córtex sensitivo primário, passando por diferentes tratos medulares conforme a sua característica. O estímulo vibratório realizado com um diapasão no maléolo medial do pé direto segue pelo trato
Provas
Questão presente nas seguintes provas
Cadernos
Caderno Container