Foram encontradas 960 questões.
De acordo com as Diretrizes da Sociedade Brasileira de Diabetes de 2019-2020, e dentre as alternativas abaixo, o fármaco
antidiabético que pode causar infecção genital, infecção urinária, poliúria, hipotensão e confusão mental como efeitos adversos é:
Provas
Questão presente nas seguintes provas
De acordo com as Diretrizes de litíase renal, as afirmativas que apresentam fatores de risco para a litíase renal são:
I- Infecção do Trato Urinário.
II- Sexo, sendo mais comum no sexo masculino.
III- Imobilização prolongada.
IV- Alterações anatômicas do trato urinário.
V- Redução do volume urinário.
É CORRETO o que se afirma em:
I- Infecção do Trato Urinário.
II- Sexo, sendo mais comum no sexo masculino.
III- Imobilização prolongada.
IV- Alterações anatômicas do trato urinário.
V- Redução do volume urinário.
É CORRETO o que se afirma em:
Provas
Questão presente nas seguintes provas
De acordo com o Protocolo Clínico e Diretrizes Terapêuticas sobre Anemia por Deficiência de Ferro, publicado em 2023, a anemia por
deficiência de ferro (ADF) é a mais comum em todas as faixas etárias, devendo ser considerada como uma doença, e não apenas como
um sinal. Acerca do diagnóstico laboratorial da ADF e considerando os valores de referência laboratoriais de normalidade, é
CORRETO afirmar que:
Provas
Questão presente nas seguintes provas
De acordo com a Diretriz Oficial da Sociedade Brasileira de Diabetes (2024), sobre o manejo da terapia antidiabética no DM2, analise
as afirmativas.
I- Abordagens não farmacológicas, como intervenção nutricional com foco no controle do peso, exercícios físicos, diminuição do tempo sentado, melhora da duração do sono, cessação do tabagismo e controle do estresse são recomendadas durante todas as fases do tratamento no Diabetes Mellitus do tipo 2 para melhorar o controle glicêmico.
II- Em adultos recentemente diagnosticados com Diabetes Mellitus do tipo 2, assintomáticos, sem doença cardiorrenal e com risco CV baixo ou intermediário, nos quais a HbA1c está entre 6,5-7,5%, a metformina é recomendada para melhora do controle glicêmico, redução da progressão do diabetes e prevenção de complicações relacionadas ao diabetes.
III- Como regra geral, é contraindicada a associação de metformina e insulina em pacientes diabéticos com Diabete Mellitus tipo 2, independentemente de complicações e de valores de HbA1c.
IV- Em adultos com Diabetes Mellitus do tipo 2 de início recente, com HbA1c acima de 9% e sinais e sintomas de hiperglicemia (poliúria, polidipsia, perda de peso), a terapia à base de insulina é recomendada para melhora do controle glicêmico.
É CORRETO o que se afirma em:
I- Abordagens não farmacológicas, como intervenção nutricional com foco no controle do peso, exercícios físicos, diminuição do tempo sentado, melhora da duração do sono, cessação do tabagismo e controle do estresse são recomendadas durante todas as fases do tratamento no Diabetes Mellitus do tipo 2 para melhorar o controle glicêmico.
II- Em adultos recentemente diagnosticados com Diabetes Mellitus do tipo 2, assintomáticos, sem doença cardiorrenal e com risco CV baixo ou intermediário, nos quais a HbA1c está entre 6,5-7,5%, a metformina é recomendada para melhora do controle glicêmico, redução da progressão do diabetes e prevenção de complicações relacionadas ao diabetes.
III- Como regra geral, é contraindicada a associação de metformina e insulina em pacientes diabéticos com Diabete Mellitus tipo 2, independentemente de complicações e de valores de HbA1c.
IV- Em adultos com Diabetes Mellitus do tipo 2 de início recente, com HbA1c acima de 9% e sinais e sintomas de hiperglicemia (poliúria, polidipsia, perda de peso), a terapia à base de insulina é recomendada para melhora do controle glicêmico.
É CORRETO o que se afirma em:
Provas
Questão presente nas seguintes provas
A Portaria nº 2.436, de 21 de setembro de 2017, que aprovou a Política Nacional de Atenção Básica (PNAB), estabelece as
responsabilidades comuns a todas as esferas de governo. Analise as afirmativas acerca das responsabilidades elencadas na PNAB são:
I- apoiar e estimular a adoção da Estratégia Saúde da Família - ESF como estratégia prioritária de expansão, consolidação e qualificação da Atenção Básica.
II- contribuir com o financiamento bipartite para o fortalecimento da Atenção Básica.
III- garantir a infraestrutura adequada e com boas condições para o funcionamento das UBS, garantindo espaço, mobiliário e equipamentos, além de acessibilidade de pessoas com deficiência, de acordo com as normas vigentes.
IV- garantir provimento e estratégias de fixação de profissionais de saúde para a Atenção Básica com vistas a promover ofertas de cuidado e o vínculo.
É CORRETO o que se afirma em:
I- apoiar e estimular a adoção da Estratégia Saúde da Família - ESF como estratégia prioritária de expansão, consolidação e qualificação da Atenção Básica.
II- contribuir com o financiamento bipartite para o fortalecimento da Atenção Básica.
III- garantir a infraestrutura adequada e com boas condições para o funcionamento das UBS, garantindo espaço, mobiliário e equipamentos, além de acessibilidade de pessoas com deficiência, de acordo com as normas vigentes.
IV- garantir provimento e estratégias de fixação de profissionais de saúde para a Atenção Básica com vistas a promover ofertas de cuidado e o vínculo.
É CORRETO o que se afirma em:
Provas
Questão presente nas seguintes provas
Arespeito do diagnóstico diferencial das lesões hepáticas sólidas, é CORRETO afirmar que:
Provas
Questão presente nas seguintes provas
P.L., sexo masculino, 45 anos, vem realizar exame eletivamente, relatando febre vespertina, tosse seca há 1 mês, e perda de peso
recente. Realizada tomografia computadorizada, conforme figura abaixo, a respeito da principal hipótese diagnóstica, assinale a
alternativa CORRETA.
Figura 5 –Tomografia computadorizada do pulmão.
Fonte: CPCON.
Figura 5 –Tomografia computadorizada do pulmão.
Fonte: CPCON.
Provas
Questão presente nas seguintes provas
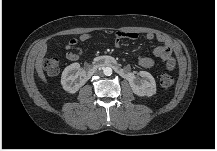
Analise a imagem de tomografia computadorizada abaixo e avalie as assertivas que seguem.
Figura 4 –Tomografia computadorizada do rim.
Fonte: CPCON.
I- A imagem corresponde à anomalia de fusão denominada rim em ferradura, em que há a fusão dos polos inferiores dos rins na linha média.
II- O achado acima é compatível com rim discoide. Nesses casos, a drenagem ureteral sempre é feita por ureter único.
III- Pacientes que apresentam esta anormalidade de fusão têm aumento da incidência de neoplasias, como carcinoma de células transicionais.
IV- Trata-se de uma ectopia renal cruzada com fusão.
V- O local onde há a fusão pode apresentar tecido fibroso ou parênquima renal.
É CORRETO o que se afirma apenas em:
Figura 4 –Tomografia computadorizada do rim.
Fonte: CPCON.
I- A imagem corresponde à anomalia de fusão denominada rim em ferradura, em que há a fusão dos polos inferiores dos rins na linha média.
II- O achado acima é compatível com rim discoide. Nesses casos, a drenagem ureteral sempre é feita por ureter único.
III- Pacientes que apresentam esta anormalidade de fusão têm aumento da incidência de neoplasias, como carcinoma de células transicionais.
IV- Trata-se de uma ectopia renal cruzada com fusão.
V- O local onde há a fusão pode apresentar tecido fibroso ou parênquima renal.
É CORRETO o que se afirma apenas em:
Provas
Questão presente nas seguintes provas
A ultrassonografia obstétrica é uma excelente ferramenta no acompanhamento das gestações, sendo um método rápido e acessível. Na
avaliação da biometria fetal, devem-se seguir rigorosamente os marcos anatômicos para uma avaliação adequada. De acordo com os
protocolos atualizados a respeito do assunto, assinale a alternativaCORRETA.
Provas
Questão presente nas seguintes provas
O trauma é uma das principais causas de morbimortalidade na população econômica ativa em países como o Brasil. De tal modo, é de
suma importância o pronto reconhecimento das lesões ameaçadoras à vida neste contexto. Marque a alternativa CORRETA.
Provas
Questão presente nas seguintes provas
Cadernos
Caderno Container