Foram encontradas 740 questões.
Paciente do gênero masculino, 60 anos, em uso de losartana, glibenclamida, rosuvastatina, paroxetina e sildenafil prescritos pelo geriatra. Refere obstrução nasal bilateral frequente. Qual droga deve ser a responsável por essa queixa?
Provas
Criança de 4 anos apresenta febre (38 ºC), estridor e dispneia leve há 3 dias. Foi realizada a radiografia a seguir.

Qual o principal agente causador desse quadro clínico?
Provas
Uma pediatra que dá assistência e apoio à equipe de saúde da família percebeu que, nas consultas de puericultura, houve um aumento das queixas de agitação, irritabilidade e tristeza nas crianças e adolescentes, após o período da pandemia da covid-19. Muitos pais, preocupados com as mudanças de comportamento dos filhos, estão solicitando a prescrição de medicamentos e encaminhamentos para consulta com psicólogos. Nesse cenário, atento à situação, a médica, em conjunto com a equipe, deve planejar e executar ações de saúde no território que contemplem essa nova demanda. Considerando as informações apresentadas e com base na Educação Popular em Saúde, qual a principal ação a ser realizada com as famílias dessas crianças?
Provas
Qual alteração está comumente relacionada à lesão apresentada na laringoscopia a seguir?

Provas
Lactente de 2 meses de idade, sexo feminino, chega ao pronto atendimento, apresentando-se hiporreativo, com quadro de hipotonia generalizada e palidez cutânea. A mãe informou que a criança tomou a primeira dose da vacina pentavalente há cerca de 12 horas e que apresentou febre e choro contínuo após 6 horas da aplicação da vacina. No exame físico, a criança está eutrófica, hidratada, sem lesões aparentes e sem alterações dos dados vitais. Há hipotonia e sonolência durante o exame. A oximetria revela saturação de O2 de 94%. O diagnóstico mais provável é:
Provas
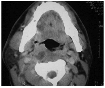
Paciente adulto, sexo masculino, procura o pronto-socorro devido à febre (39 ºC), dor de garganta, dificuldade para engolir e dor cervical há 3 dias. Foi realizado o exame a seguir.

A conduta nesta situação clínica é a
Provas
Para investigação diagnóstica de paciente com pseudomucocele bilateral de seio maxilar, visualizada na tomografia computadorizada, deve-se solicitar
Provas
Lactente, sexo masculino, que nasceu prematuro e está com 5 meses de vida é atendido em um ambulatório de pediatria. A mãe relata a existência de regurgitações pós-prandiais, com choro eventual, principalmente à noite e após as mamadas. O apetite da criança está preservado. Ainda está oferendo o leite materno exclusivamente. A criança apresenta ganho ponderal e desenvolvimento adequados para a idade corrigida e, na história pregressa, relata um episódio de infecção de vias aéreas superiores. Nesse caso, a conduta adequada é:
Provas
A recirculação de secreções é uma complicação de qual cirurgia?
Provas
Qual a localização mais comum do adenoma pleomórfico?
Provas
Caderno Container