Foram encontradas 1.010 questões.
Mulher, 76 anos, diabética e hipertensa, apresenta infarto agudo do miocárdio. Decide-se por iniciar tratamento hipolipemiante de alta potência para prevenção secundária de novos eventos. Assinale a alternativa que contém apenas opções que representam tratamento hipolipemiante de alta potência.
Provas
Com relação a indivíduos com suspeita de tromboembolismo pulmonar (TEP), assinale a alternativa correta.
Provas
Em pacientes com tamponamento cardíaco, o ecocardiograma mostra aumento do fluxo tricúspide e redução do fluxo mitral na inspiração, e na expiração, um aumento no fluxo mitral de até 25% e redução do fluxo tricúspide.
Esses achados são a expressão ecocardiográfica de qual sinal clínico?
Provas
Homem, 65 anos, apresenta hipertensão arterial sistêmica refratária, apesar do uso de losartana 100 mg/dia, hidroclorotiazida 25 mg/dia, anlodipino 10 mg/dia. Apresenta boa aderência terapêutica e foram afastadas causas secundárias da hipertensão. A correta opção farmacológica nesse momento é associar:
Provas
A ecocardiografia com Strain trouxe novas possibilidades na avaliação de doenças cardíacas. Considerando essa informação, assinale a alternativa correta.
Provas
Mulher, 65 anos, caucasiana, diabética e ex-tabagista, portadora de miocardiopatia isquêmica, com fração de ejeção do ventrículo esquerdo de 30%, se mantém em classe funcional III, apesar de terapia com doses otimizadas com diurético de alça, sacubitril/valsartana, espironolactona e carvedilol. Pressão arterial de 120 x 80 mmHg e frequência cardíaca de 80 bpm. Eletrocardiograma com bloqueio de ramo direito. Apresenta função renal preservada.
Assinale a alternativa que apresenta, corretamente, uma opção terapêutica nesse momento para melhora sintomática.
Provas
Homem, 45 anos, hipertenso em uso de losartana, apresenta sensação de agitação, tontura, cefaleia e palpitações após uso de cocaína inalatória. Na entrada, apresenta pressão arterial de 220 x 120 mmHg em ambos os membros superiores e frequência cardíaca de 110 bpm. Apresenta edema de papila bilateral ao exame do fundo de olho. Eletrocardiograma demonstra ritmo sinusal, sem outras alterações. A tomografia de crânio não mostra alterações.
Assinale a alternativa que apresenta, corretamente, a(s) medicação(ões) de escolha nesse momento.
Provas
Homem, 19 anos, realiza o eletrocardiograma a seguir durante avaliação pré-operatória para cirurgia otorrinolaringológica.

(Arquivo pessoal; imagem usada com autorização)
O eletrocardiograma sugere:
Provas
Homem, 50 anos, queixa de dispneia aos esforços, apresenta click sistólico em ausculta. Assinale a alternativa correta em relação a esse achado.
Provas
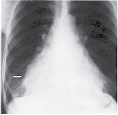
Mulher, 50 anos, é encaminhada ao cardiologista para avaliar paciente com cansaço aos esforços. Realizou a seguinte radiografia, no Pronto-Socorro, uma semana antes:

(Arquivo pessoal; imagem usada com autorização)
A seta indica qual estrutura?
Provas
Caderno Container