Magna Concursos

Foram encontradas 1.037 questões.

2229630 Ano: 2021
Disciplina: Medicina
Banca: FGV
Orgão: Pref. Paulínia-SP
Provas:

Idoso internado em uma UTI recebe na avaliação inicial 11 pontos na escala de Braden. Após alguns dias no exame físico é identificada lesão por pressão.

Enunciado 3507710-1

Assinale a opção que indica o grau da lesão.

 

Provas

Questão presente nas seguintes provas
2229628 Ano: 2021
Disciplina: Medicina
Banca: FGV
Orgão: Pref. Paulínia-SP
Provas:

Homem, 68 anos, é trazido à consulta pela família que relata início há 1 ano de tremor em membros superiores bilateral, com rigidez e bradicinesia. Apresenta déficit cognitivo marcante nos domínios das habilidades visual, espacial e atenção.

A esposa relata alucinações visuais recorrentes e detalhadas, sono agitado, com sonhos vívidos e movimentos anormais além de sonolência diurna.

A hipótese diagnóstica é

 

Provas

Questão presente nas seguintes provas
2229627 Ano: 2021
Disciplina: Medicina
Banca: FGV
Orgão: Pref. Paulínia-SP
Provas:

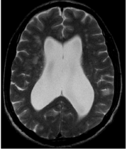
Homem de 70 anos relata quadro de alteração de marcha com base alargada, lentificação e quedas que se iniciou nos últimos 4 meses, seguido de apatia, irritabilidade, déficit de memória, confusão mental, desorientação. Nas últimas semanas vem apresentando urgência urinária. É solicitado exame de imagem, a seguir.

Enunciado 3507707-1

A hipótese diagnóstica é

 

Provas

Questão presente nas seguintes provas
2229626 Ano: 2021
Disciplina: Medicina
Banca: FGV
Orgão: Pref. Paulínia-SP
Provas:

Em relação às evidências sobre a avaliação geriátrica ampla (AGA), assinale a afirmativa correta.

 

Provas

Questão presente nas seguintes provas
2229625 Ano: 2021
Disciplina: Medicina
Banca: FGV
Orgão: Pref. Paulínia-SP
Provas:

Paciente masculino, 90 anos, robusto, apresenta crise de urticária com prurido importante sendo medicado com hidroxizina 25 mg 8/8h.

Após alguns dias inicia quadro com dificuldade de atenção, alteração do ciclo sono-vigília, irritabilidade. Retorna para emergência e é internado para investigação. Evolui com piora do quadro, flutuação do nível de consciência, agitação vespertina e alucinação.

Assinale a opção que apresenta a hipótese diagnóstica para o quadro.

 

Provas

Questão presente nas seguintes provas
2229624 Ano: 2021
Disciplina: Medicina
Banca: FGV
Orgão: Pref. Paulínia-SP
Provas:

Paciente de 87 anos, com síndrome de imobilidade, desenvolve quadro com desconforto abdominal, agitação, recusa alimentar, retenção urinária, eliminação de fezes líquidas e pouca quantidade.

No exame observa-se palpação de massa modelável no hipocôndrio esquerdo. O diagnóstico mais provável é

 

Provas

Questão presente nas seguintes provas
2229623 Ano: 2021
Disciplina: Medicina
Banca: FGV
Orgão: Pref. Paulínia-SP
Provas:

Os Critérios de BEERS foram atualizados em 2019. Segundo estes critérios

 

Provas

Questão presente nas seguintes provas
2229622 Ano: 2021
Disciplina: Medicina
Banca: FGV
Orgão: Pref. Paulínia-SP
Provas:

Segundo os Critérios de BEERS (2019), na presença de doença cardiovascular devemos considerar que

 

Provas

Questão presente nas seguintes provas
2229620 Ano: 2021
Disciplina: Medicina
Banca: FGV
Orgão: Pref. Paulínia-SP
Provas:

Na avaliação pré-operatória de um paciente idoso deve-se rever a medicação em uso e proceder aos ajustes necessários.

A esse respeito, assinale a afirmativa correta.

 

Provas

Questão presente nas seguintes provas
2229619 Ano: 2021
Disciplina: Medicina
Banca: FGV
Orgão: Pref. Paulínia-SP
Provas:

Em uma unidade de emergência, na avaliação de um idoso deve ser considerado que

 

Provas

Questão presente nas seguintes provas