Foram encontradas 505 questões.
A consolidação da Atenção Primária a Saúde (APS) nas últimas décadas representa um dos avanços mais relevantes do SUS enquanto política pública e sistema de saúde universal no Brasil. Sobre esse tema leia as afirmativas a seguir e assinale a alternativa correta:
I - No Brasil, as contribuições teóricas sobre avaliação da APS foram marcantes nos últimos 15 anos, especialmente com a implantação da ESF e com a institucionalização da avaliação da Atenção Básica (AB) no Ministério da Saúde (MS).
II - A oferta de cuidados de saúde na rede básica e, particularmente, na ESF depende intensamente de processos organizacionais e das práticas profissionais. Ao lado dos desafios relacionados com a melhoria da estrutura dos serviços, a qualificação de processos de organização e gestão do cuidado por equipe multiprofissional é essencial para aumentar a efetividade da ESF, considerando seu efeito mediador na atenção à saúde.
III - Para garantir o acesso, a integralidade e a resolutividade, é preciso aprimorar os fluxos dos usuários no interior do serviço, desde a recepção até a sua saída ao final do atendimento. O agendamento, o acolhimento, o vínculo, a demanda espontânea e a demanda programada, a atribuição de cada profissional da equipe, as relações do serviço com serviços da rede de atenção e com serviços de apoio diagnóstico e terapêutico precisam ser discutidos e pactuados com as equipes e com a gestão municipal.
Provas
Os métodos de avaliação do bem-estar fetal não invasivos, considerados padrão ouro, são a cardiotocografia, o perfil biofísico fetal e a dopplerfluxometria obstétrica. A dopplerfluxometria é utilizada para a avaliação hemodinâmica, principalmente em gestações de alto risco, para diagnóstico de insuficiência placentária e suas consequências ao concepto, como restrição de crescimento fetal e sofrimento fetal crônico. Em relação a avaliação preventiva do compartimento fetal e placentário, avalie as asserções a seguir e assinale a opção correta:
Provas
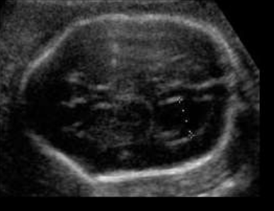
Em relação ao exame obstétrico do primeiro trimestre, podemos afirmar:
I - A mensuração da transluscência nucal é realizada em corte transversal, com o feto em posição neutra.
II - A medida do CCN (comprimento cabeça-nádegas) deve estar entre 45-90 mm para
realização da avaliação morfológica do 1º trimestre.
III - As estruturas assinaladas na imagem abaixo, correspondem ao diencéfalo (1) e ao tronco cerebral/ponte e bulbo (2).
IV - A imagem deve estar ampliada de maneira que apenas a cabeça e a parte superior do tórax sejam vistas.

Provas
Paciente do sexo feminino, casada, nulípara, 42 anos, foi encaminhada para
avaliação ultrassonográfica das mamas, devido mamografia com classificação Birads 0. Ao exame observamos um nódulo oval, hipoecóico, sólido, paralelo à pele, contornos definidos, ausência de atenuação posterior, não se observa calcificações e o Doppler é negativo. Qual o possível diagnóstico?

Provas
O mioma (leiomioma) uterino é um tumor benigno, muito comum, que pode acometer
até 70% das mulheres com 50 anos de idade. Para sistematizar a descrição dos miomas, foi criada a classificação da FIGO (Federação Internacional de Ginecologia e Obstetrícia) juntamente com o grupo MUSA (Morphological Uterus Sonografic Assessment), utilizando estes parâmetros classifique o nódulo abaixo:

Provas
Em relação a malformação da parede abdominal e do trato gastrointestinal fetal, assinale a alternativa correta:


Provas
São critérios para diagnóstico de gestação não evolutiva ou não viável:
Provas
Algumas massas anexiais observadas
durante avaliação transvaginal, podem
simular uma gravidez ectópica, elas são:
Provas
Paciente 24 anos, secundigesta, apresentando idade gestacional de 23 semanas, gestação não planejada, encaminhada para avaliação morfológica do segundo trimestre.
Após analisar as imagens abaixo, quais os sinais ecográficos encontrados e qual a hipótese diagnóstica?


Provas
A ultrassonografia tridimensional tem se mostrado uma ferramenta importante para
diagnóstico das malformações Müllerianas. Em relação a imagem abaixo assinale a hipótese diagnóstica e qual a outra estrutura que deverá ser examinada?

Provas
Caderno Container