Foram encontradas 101 questões.
Leia os textos a seguir para responder a esta questão.
Quadro 1
Muitos microrganismos, quando infectam o organismo humano, podem desencadear vários processos patológicos. As bactérias, por exemplo, dependendo do local onde se instalam no organismo, provocam várias doenças como: faringite estreptocócica (garganta), pneumonia, tuberculose (pulmões), infecções urinárias (vias urinárias), otites (ouvido), entre outras. Para realizar um diagnóstico, o médico, na maioria das vezes, solicita exames bacterioscópicos, para avaliar as características morfotintoriais dos microrganismos e, então, escolher a farmacoterapia mais adequada. Fonte: ALVARENGA, Felipe Queiroz. Bacterioscopia: métodos de coloração. 15 set. 2022.
No Quadro 2 a seguir, foram descritos três possíveis laudos de amostras submetidas aos testes bacterioscópicos. Observe-o.
Quadro 2
Laudo I – Numerosos cocos gram-positivos, dispostos isoladamente em cadeias ramificadas com morfologia sugestiva de Streptococcus sp. Laudo II – Presença de 1 a 10 bacilos álcool-ácidos resistentes (BAAR) observados em 100 campos examinados. Resultado positivo (+). Laudo III – Numerosos cocobacilos gram-negativos. Presença de numerosos polimorfonucleares. Microbiota de Doderlein ausente.
Com base nos achados laboratoriais descritos nos laudos, pode-se afirmar que os métodos de coloração em bacteriologia utilizados para a determinação das características morfológicas e tintoriais dos microrganismos encontrados foram:
Quadro 1
Muitos microrganismos, quando infectam o organismo humano, podem desencadear vários processos patológicos. As bactérias, por exemplo, dependendo do local onde se instalam no organismo, provocam várias doenças como: faringite estreptocócica (garganta), pneumonia, tuberculose (pulmões), infecções urinárias (vias urinárias), otites (ouvido), entre outras. Para realizar um diagnóstico, o médico, na maioria das vezes, solicita exames bacterioscópicos, para avaliar as características morfotintoriais dos microrganismos e, então, escolher a farmacoterapia mais adequada. Fonte: ALVARENGA, Felipe Queiroz. Bacterioscopia: métodos de coloração. 15 set. 2022.
No Quadro 2 a seguir, foram descritos três possíveis laudos de amostras submetidas aos testes bacterioscópicos. Observe-o.
Quadro 2
Laudo I – Numerosos cocos gram-positivos, dispostos isoladamente em cadeias ramificadas com morfologia sugestiva de Streptococcus sp. Laudo II – Presença de 1 a 10 bacilos álcool-ácidos resistentes (BAAR) observados em 100 campos examinados. Resultado positivo (+). Laudo III – Numerosos cocobacilos gram-negativos. Presença de numerosos polimorfonucleares. Microbiota de Doderlein ausente.
Com base nos achados laboratoriais descritos nos laudos, pode-se afirmar que os métodos de coloração em bacteriologia utilizados para a determinação das características morfológicas e tintoriais dos microrganismos encontrados foram:
Provas
Questão presente nas seguintes provas
Os equipamentos bioquímicos são produzidos para utilização em laboratórios de análises e podem ser empregados
para determinação de analitos com diferentes metodologias. O método colorimétrico é um dos mais empregados e
baseia-se na Lei de Lambert-Beer para quantificação de compostos químicos em amostras biológicas. Essa lei
afirma que a concentração dos analitos é proporcional à sua absorbância, ou seja, quanto maior a absorbância de
uma amostra, maior a sua concentração.
Fonte: ALVARENGA, Felipe Queiroz. Bioquímica: Lei de Lambert-Beer. 16 set. 2022.
Considere a equação utilizada para o cálculo da concentração das amostras, segundo a lei de Lamber-Beer:
Concentração da amostra (mg/dl) =absorbância da amostra /absorbância padrão x concentração do padrão
Abaixo estão os resultados da absorbância de uma determinada amostra teste e de uma solução padrão de glicose submetidas a um ensaio colorimétrico por espectrofotometria.
Solução padrão de glicose Amostra teste
Absorbância: 0,100 Absorbância: 0,250 Concentração: 100mg/dl Concentração: ?
Fonte: ALVARENGA, Felipe Queiroz. Bioquímica: Lei de Lambert-Beer. 19 out. 2022.
Utilizando a equação de Lambert-Beer e os dados das análises espectrofotométricas, pode-se inferir que a concentração da amostra teste é
Considere a equação utilizada para o cálculo da concentração das amostras, segundo a lei de Lamber-Beer:
Concentração da amostra (mg/dl) =absorbância da amostra /absorbância padrão x concentração do padrão
Abaixo estão os resultados da absorbância de uma determinada amostra teste e de uma solução padrão de glicose submetidas a um ensaio colorimétrico por espectrofotometria.
Solução padrão de glicose Amostra teste
Absorbância: 0,100 Absorbância: 0,250 Concentração: 100mg/dl Concentração: ?
Fonte: ALVARENGA, Felipe Queiroz. Bioquímica: Lei de Lambert-Beer. 19 out. 2022.
Utilizando a equação de Lambert-Beer e os dados das análises espectrofotométricas, pode-se inferir que a concentração da amostra teste é
Provas
Questão presente nas seguintes provas
O exame de urina rotina tipo 1, também denominado Elementos Anormais do Sedimento (EAS), é muito solicitado
para avaliação de alterações no sistema urinário. Nesse exame, é possível investigar elementos que podem sugerir
infecções, sangramentos, litíase, desordens metabólicas, entre outras patologias.
Observe atentamente o laudo a seguir, referente a um exame de urina rotina:

Fonte: ALVARENGA, Felipe Queiroz. Urinálise: testes físicos, químicos, sedimento. 17 set. 2022.
Diante do exposto, foram feitas as seguintes afirmativas:
I - O resultado do exame de urina apresenta alterações sugestivas de infecção urinária.
II - O resultado do exame químico evidencia hematúria, leucocitúria e possível bacteriúria.
III - O resultado da microscopia urinária justifica a turbidez apresentada pelo exame físico.
As afirmativas sobre o exame de urina e suas possíveis alterações estão corretamente descritas em
Observe atentamente o laudo a seguir, referente a um exame de urina rotina:

Fonte: ALVARENGA, Felipe Queiroz. Urinálise: testes físicos, químicos, sedimento. 17 set. 2022.
Diante do exposto, foram feitas as seguintes afirmativas:
I - O resultado do exame de urina apresenta alterações sugestivas de infecção urinária.
II - O resultado do exame químico evidencia hematúria, leucocitúria e possível bacteriúria.
III - O resultado da microscopia urinária justifica a turbidez apresentada pelo exame físico.
As afirmativas sobre o exame de urina e suas possíveis alterações estão corretamente descritas em
Provas
Questão presente nas seguintes provas
Através do método colorimétrico enzimático, é possível realizar a dosagem de diversos analitos no sangue. O setor
de exames bioquímicos é, na maioria das vezes, considerado o “carro-chefe” dos exames laboratoriais pelo grande
volume de exames que executa, englobando a dosagem de glicídios, lipídeos e lipoproteínas, nitrogenados não
proteicos, íons, entre outros. Considere os resultados da dosagem do perfil lipídico de um paciente hipotético e a
equação de Friedewald para responder ao que se pede.

Fonte: ALVARENGA, Felipe Queiroz. Bioquímica: lipidograma. 20 set. 2022.
Sabe-se que a maioria dos laboratórios realiza a dosagem dos lipídeos colesterol total, HDL e triglicérides e que as frações do colesterol, LDL e VLDL, são calculadas através da equação de Friedewald, desde que os triglicerídeos não apresentem valores superiores a 400 mg/dl. Baseando-se nos resultados do lipidograma e na equação supracitada, os valores de LDL e VLDL do paciente são, respectivamente:

Fonte: ALVARENGA, Felipe Queiroz. Bioquímica: lipidograma. 20 set. 2022.
Sabe-se que a maioria dos laboratórios realiza a dosagem dos lipídeos colesterol total, HDL e triglicérides e que as frações do colesterol, LDL e VLDL, são calculadas através da equação de Friedewald, desde que os triglicerídeos não apresentem valores superiores a 400 mg/dl. Baseando-se nos resultados do lipidograma e na equação supracitada, os valores de LDL e VLDL do paciente são, respectivamente:
Provas
Questão presente nas seguintes provas
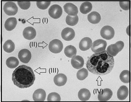
O hemograma é um exame que tem por finalidade avaliar as células sanguíneas da série, branca, vermelha e
plaquetas. A análise quantitativa dá-se por meio da contagem manual ou automatizada dessas células. A análise
morfológica, por sua vez, é a realizada através do exame microscópico do esfregaço sanguíneo, após coloração
específica. O conhecimento sobre as estruturas das células do sangue permite identificar os diversos elementos
figurados que compõe essa matriz biológica de grande utilização nas análises clínicas.
Fonte: ALVARENGA, Felipe Queiroz. Hematologia: distribuição celular no sangue periférico. 20 set. 2022.
Observe a figura a seguir de um esfregaço sanguíneo, realizado a partir de um sangue total colhido em EDTA, em lâmina de vidro e corado pelo panótico rápido para evidenciar os elementos figurados do sangue.
Figura: Células hematológicas em um esfregaço sanguíneo

Fonte: ESFREGAÇO SANGUÍNEO HEMOGRAMA. Disponível em www.google.com.br/imagem. Acesso em 19 set 2022.
A partir da análise do enunciado e da figura do esfregaço sanguíneo, é possível inferir que as estruturas representam os seguintes elementos figurados do sangue:
Fonte: ALVARENGA, Felipe Queiroz. Hematologia: distribuição celular no sangue periférico. 20 set. 2022.
Observe a figura a seguir de um esfregaço sanguíneo, realizado a partir de um sangue total colhido em EDTA, em lâmina de vidro e corado pelo panótico rápido para evidenciar os elementos figurados do sangue.
Figura: Células hematológicas em um esfregaço sanguíneo

Fonte: ESFREGAÇO SANGUÍNEO HEMOGRAMA. Disponível em www.google.com.br/imagem. Acesso em 19 set 2022.
A partir da análise do enunciado e da figura do esfregaço sanguíneo, é possível inferir que as estruturas representam os seguintes elementos figurados do sangue:
Provas
Questão presente nas seguintes provas
Leia o texto a seguir e observe as estruturas I a IV apresentadas na figura para responder a esta questão.
As parasitoses intestinais são doenças relacionadas a maus hábitos de higiene, condições precárias de saneamento básico e educação sanitária. São provocadas pela infecção por microrganismos, em que os agentes mais comuns são os helmintos e os protozoários. A forma mais comum de diagnóstico dessas parasitoses, além da clínica e de exames imunológicos, consiste na detecção de ovos e/ou cistos dos vermes no exame de fezes.
Fonte: ALVARENGA, Felipe Queiroz. Parasitologia: nomenclatura e identificação dos parasitas. 20 set. 2022
Figura: Formas parasitárias encontradas no exame de fezes

Fonte: PARASITAS INTESTINAIS. Disponível em: www.google.com.br/imagens. Acesso em: 16 set. 2022. Adaptado.
Com base no texto e na observação da figura, as estruturas I, II, III e IV, correspondem, respectivamente, aos seguintes agentes etiológicos:
As parasitoses intestinais são doenças relacionadas a maus hábitos de higiene, condições precárias de saneamento básico e educação sanitária. São provocadas pela infecção por microrganismos, em que os agentes mais comuns são os helmintos e os protozoários. A forma mais comum de diagnóstico dessas parasitoses, além da clínica e de exames imunológicos, consiste na detecção de ovos e/ou cistos dos vermes no exame de fezes.
Fonte: ALVARENGA, Felipe Queiroz. Parasitologia: nomenclatura e identificação dos parasitas. 20 set. 2022
Figura: Formas parasitárias encontradas no exame de fezes

Fonte: PARASITAS INTESTINAIS. Disponível em: www.google.com.br/imagens. Acesso em: 16 set. 2022. Adaptado.
Com base no texto e na observação da figura, as estruturas I, II, III e IV, correspondem, respectivamente, aos seguintes agentes etiológicos:
Provas
Questão presente nas seguintes provas

Disponível em: www.google.com.br/imagem. Adaptado. Acesso em: 18 set. 2022.
Em um laboratório de análises clínicas, na execução de suas atividades, o farmacêutico, o biomédico e os técnicos, possivelmente, enfrentam diversos tipos de riscos, entre os quais, destaca-se o risco biológico. O risco biológico ocorre quando o ambiente ocupacional apresenta possibilidade de infecção por microrganismos como vírus, bactérias, fungos, parasitas etc. O contato dos profissionais de saúde com esses agentes pode desencadear uma série de doenças.
Fonte: ALVARENGA, Felipe Queiroz. Biossegurança e riscos biológicos em laboratório. São João Del Rei (MG). set. 2022.
Considere as afirmativas sobre a segurança ocupacional e o risco biológico.
I - O contato de amostra de sangue de pacientes diretamente com a pele, corrente sanguínea ou mucosas do técnico, em análises clínicas, consiste em uma forma de risco biológico e possibilidade de infecção ocupacional por agente patogênico.
II - As amostras de fezes, sangue e urina devem ser manipuladas obedecendo aos padrões de boas práticas de laboratório, utilização de equipamentos de proteção individual adequados e adoção de comportamentos que constituem proteção ao trabalhador.
III - Os riscos biológicos à saúde do trabalhador e ao ambiente são minimizados quando a equipe de saúde do laboratório de análises clínicas possui e adota um Programa de Gerenciamento de Resíduos Sólidos de Saúde (PGRSS).
Está CORRETO o que se afirma em
Provas
Questão presente nas seguintes provas
O reagente de lugol é destinado a diversas metodologias no laboratório clínico. É utilizado como solução
indicadora, corante de células do organismo e na identificação de microrganismos. A solução é produzida a partir
de iodeto de potássio a 10% e iodo metaloide a 5%, em água deionizada.
Fonte: Lugol Concentrado, Laborclin, rev. 01, maio 2019. Adaptado.
Supondo-se que um técnico necessita preparar a solução referida no enunciado, para a preparação de 200ml (p/v) dessa solução colorante, seriam necessários quantos gramas de cada um dos reagentes?
Fonte: Lugol Concentrado, Laborclin, rev. 01, maio 2019. Adaptado.
Supondo-se que um técnico necessita preparar a solução referida no enunciado, para a preparação de 200ml (p/v) dessa solução colorante, seriam necessários quantos gramas de cada um dos reagentes?
Provas
Questão presente nas seguintes provas
Leia o trecho abaixo para responder a esta questão.
Um técnico em análises clínicas deve ser conhecedor de vários aspectos referentes à coleta e ao processamento de amostras biológicas para um bom desempenho profissional e qualidade das matrizes biológicas. Para a realização de exames laboratoriais alguns questionamentos devem ser respondidos: Quais exames laboratoriais serão realizados? Quais tubos de coleta específicos para cada exame solicitado? Quanto tempo de centrifugação e que tipo de amostra é necessária, soro ou plasma? São perguntas importantes que devem ser respondidas imediatamente, antes do processo de coleta de sangue.
Fonte: ALVARENGA, Felipe Queiroz. Coleta e processamento de amostras biológicas. São João Del Rei (MG), set. 2022.
Diante do exposto, considere a prescrição de exames a seguir, para um paciente hipotético de 40 anos, sexo masculino, que compareceu ao laboratório para realização de exames, com jejum prévio de 12 horas.
Prescrição de exames laboratoriais Material: sangue Exames:
• Hemograma completo • Glicemia de jejum • HBA1c • Colesterol total e fracionado • Triglicérides • Ureia • Creatinina • Tempo de protrombina (TP) • Tempo de tromboplastina parcial ativada (TTPa) • Lítio
Para cada exame relacionado, faz-se necessário o conhecimento sobre o tipo de tubo necessário para a realização deles, a saber:
I - Para o hemograma e HBA1c, foi selecionado um tubo com anticoagulante EDTA para a realização dos exames em sangue total.
II - Para o lipidograma, foi selecionado um tubo com ativador de coágulo e gel separador para a realização dos exames no soro.
III - Para os exames TP e TTPa, foi selecionado um tubo com anticoagulante citrato para a realização dos exames em plasma citratado.
IV - Para a dosagem do lítio, foi selecionado um tubo seco desmineralizado sem anticoagulante para a realização do exame em plasma.
V - Para a ureia e a creatinina, foi selecionado um tubo com ativador de coágulo e gel separador para a realização dos exames no soro.
Estão CORRETAS apenas as afirmativas
Um técnico em análises clínicas deve ser conhecedor de vários aspectos referentes à coleta e ao processamento de amostras biológicas para um bom desempenho profissional e qualidade das matrizes biológicas. Para a realização de exames laboratoriais alguns questionamentos devem ser respondidos: Quais exames laboratoriais serão realizados? Quais tubos de coleta específicos para cada exame solicitado? Quanto tempo de centrifugação e que tipo de amostra é necessária, soro ou plasma? São perguntas importantes que devem ser respondidas imediatamente, antes do processo de coleta de sangue.
Fonte: ALVARENGA, Felipe Queiroz. Coleta e processamento de amostras biológicas. São João Del Rei (MG), set. 2022.
Diante do exposto, considere a prescrição de exames a seguir, para um paciente hipotético de 40 anos, sexo masculino, que compareceu ao laboratório para realização de exames, com jejum prévio de 12 horas.
Prescrição de exames laboratoriais Material: sangue Exames:
• Hemograma completo • Glicemia de jejum • HBA1c • Colesterol total e fracionado • Triglicérides • Ureia • Creatinina • Tempo de protrombina (TP) • Tempo de tromboplastina parcial ativada (TTPa) • Lítio
Para cada exame relacionado, faz-se necessário o conhecimento sobre o tipo de tubo necessário para a realização deles, a saber:
I - Para o hemograma e HBA1c, foi selecionado um tubo com anticoagulante EDTA para a realização dos exames em sangue total.
II - Para o lipidograma, foi selecionado um tubo com ativador de coágulo e gel separador para a realização dos exames no soro.
III - Para os exames TP e TTPa, foi selecionado um tubo com anticoagulante citrato para a realização dos exames em plasma citratado.
IV - Para a dosagem do lítio, foi selecionado um tubo seco desmineralizado sem anticoagulante para a realização do exame em plasma.
V - Para a ureia e a creatinina, foi selecionado um tubo com ativador de coágulo e gel separador para a realização dos exames no soro.
Estão CORRETAS apenas as afirmativas
Provas
Questão presente nas seguintes provas
Considere o triângulo ABC a seguir.

A área em cm² desse triângulo é
Provas
Questão presente nas seguintes provas
Cadernos
Caderno Container