Foram encontradas 460 questões.
Qual fórceps está indicado para exodontia de molares
inferiores direito e esquerdo?
Provas
Questão presente nas seguintes provas
Qual material de proteção do complexo dentino-pulpar é
indicado para aplicação direta sobre uma área de exposição
acidental do tecido pulpar?
Provas
Questão presente nas seguintes provas
No contexto da biossegurança aplicada à odontologia, são
considerados exemplos de precaução padrão contra o risco
biológico:
Provas
Questão presente nas seguintes provas
Analise a imagem a seguir.

O nome e a indicação do teste de controle do processo de esterilização apresentado são, respectivamente:
Provas
Questão presente nas seguintes provas
3468305
Ano: 2024
Disciplina: Direito Sanitário
Banca: Verbena
Orgão: Pref. Padre Bernardo-GO
Disciplina: Direito Sanitário
Banca: Verbena
Orgão: Pref. Padre Bernardo-GO
Provas:
De acordo com a Resolução da Diretoria Colegiada (RDC)
da Agência Nacional de Vigilância Sanitária (ANVISA), são
considerados exemplos de resíduos odontológicos do grupo
B:
Provas
Questão presente nas seguintes provas
Qual é a especialidade odontológica responsável pelo
diagnóstico clínico, tratamento e acompanhamento das
lesões neoplásicas benignas que podem ser encontradas na
superfície da mucosa bucal?
Provas
Questão presente nas seguintes provas
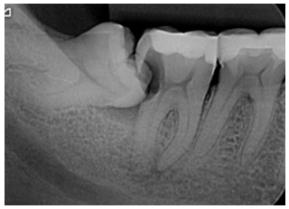
Analise a imagem a seguir.

O nome e a principal indicação desse exame radiográfico são, respectivamente:
Provas
Questão presente nas seguintes provas
A sequência correta para o processamento de uma
radiografia analógica é:
Provas
Questão presente nas seguintes provas
São considerados fatores determinísticos na etiologia da
cárie dentária:
Provas
Questão presente nas seguintes provas
Apresenta cinco cúspides bem desenvolvidas: duas
vestibulares, duas linguais e uma distal, assim como duas
raízes, uma mesial e outra distal. A dimensão da coroa é
maior no sentido mesiodistal do que no vestibulolingual e
apresenta uma ampla face oclusal. Qual é o número da
estrutura dentária descrita?
Provas
Questão presente nas seguintes provas
Cadernos
Caderno Container