Foram encontradas 619 questões.
Em, aproximadamente, 98% dos casos, a Acromegalia é causada por adenomas hipofisários secretores de:
Provas
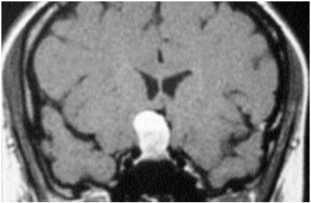
Observe a ressonância magnética, abaixo:

http://www.scielo.br/pdf/abem/v49n5/a08v49n5.pdf
A imagem acima, indica, Cisto da bolsa de Rathke - RM com uso de gadolíneo, corte coronal. Observa-se massa hiperintensa, em T1 de crescimento:
Provas
O Adenoma Hipofisário Cístico pode ter como localização anatômica:
Provas
Adipsia, em casos de lesões hipotalâmicas, se enquadra como:
Provas
Sobre as lesões hipofisárias, analise as asserções:
I - A maioria das lesões da hipófise são adenomas (tumores benignos) que podem ser funcionantes, isto é, produzirem algum hormônio, em excesso, ou serem não funcionantes.
II - Nos casos das lesões funcionantes o paciente pode apresentar uma síndrome (conjunto de sintomas e sinais) dependente do hormônio que está sendo produzido em excesso tanto por um microadenoma (tumor menor que um centímetro) como por um macroadenoma (tumor maior que um centímetro).
III - No caso das lesões não funcionantes, isto é que não produzem nenhum hormônio em excesso os sintomas dependem do tamanho do tumor. Assim, nestes pacientes a suspeita de lesão hipofisária será feita a partir de sintomas como cefaleia e alteração da visão, principalmente, dos campos temporais da visão.
Está correto o que se afirma em:
Provas
Aumento de peso, principalmente, com aumento da gordura, na face e no tronco, mas com membros finos, pele fina com estrias largas e violáceas e hematomas. Diabetes mellitus e hipertensão arterial de difícil controle também são comuns, nesta síndrome. Trata-se da Doença de:
Provas
Observe a tabela abaixo:
CANDIDATAS PROFILAXIA anti-RhD. | ||
Mãe | Filho | |
X | RhD fraco tipo 4.2, 11 ou 15 e De | RhD positivo |
Y | RHD parcial | RhD positivo |
W | RhD negativo | RhD negativo |
Z | RhD fraco tipo 1 a 4.1 | RhD positivo |
Fonte: http://files.bvs.br/upload/S/0100-7254/2010/v38n7/a1522.pdf
A Profilaxia deve ser empregada nos casos:
Provas
Sobre a Infecção Puerperal, analise os itens, a seguir:
I – É aquela que se origina do aparelho genital, após parto recente. Há necessidade de complementar o conceito de infecção puerperal com o de morbidade febril puerperal, pela eventual dificuldade de caracterizar a infecção que ocorre após o parto.
II - Morbidade febril puerperal é a temperatura de, no mínimo, 39ºC, durante três dias quaisquer, dos primeiros 7 dias pós-parto, incluindo as 24 horas iniciais.
III - A infecção puerperal é polimicrobiana e os agentes etiopatogênicos são germes aeróbios e anaeróbios da flora do trato geniturinário e intestinal.
Está correto o que se afirma em:
Provas
São indicações maternas para o parto na pré-eclâmpsia, exceto:
Provas
A Hipertensão Crônica é observada antes da gravidez, ou antes de 20 semanas de gestação, ou diagnosticada pela primeira vez durante a gravidez e não se resolve até:
Provas
Caderno Container