Magna Concursos

Foram encontradas 619 questões.

2141080 Ano: 2022
Disciplina: Medicina
Banca: MetroCapital
Orgão: Pref. Nova Odessa-SP

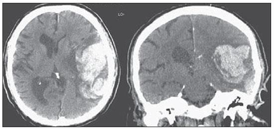
Analise a tomografia abaixo e indique qual o achado:

Enunciado 2968765-1

http://www.rb.org.br/detalhe_artigo.asp?id=2613&idioma=Portugues

 

Provas

Questão presente nas seguintes provas
2141079 Ano: 2022
Disciplina: Medicina
Banca: MetroCapital
Orgão: Pref. Nova Odessa-SP
Provas:

O BCG (bacilo de Calmette e Guérin) vem sendo utilizado há várias décadas e tem por finalidade evitar que a primo-infecção natural, causada por Mycobacterium tuberculosis, evolua para doença. A vacinação deve ser adiada:

I - até três meses após o tratamento com imunodepressores ou com corticosteroides em dose elevada.

II - quando o peso ao nascer for inferior a 2.000g.

III – até 3 meses em casos de imunodeficiência congênita ou adquirida.

Está correto o que se afirma em:

 

Provas

Questão presente nas seguintes provas
2141078 Ano: 2022
Disciplina: Medicina
Banca: MetroCapital
Orgão: Pref. Nova Odessa-SP
Provas:

Leia:

“Nessa fase, a tolerância imunológica esgota-se diante da incapacidade do sistema imune de eliminar o vírus. É caracterizada pelo teste HBeAg reagente e por menores índices de HBV-DNA sérico, indicativo de menor replicação viral. Os valores das aminotransferases podem apresentar flutuações, e a atividade necroinflamatória no fígado, por sua vez, pode ser moderada ou grave. A progressão da fibrose é acelerada.”

Fonte: http://www.aids.gov.br/pt-br/pub/2016/protocolo-clinico-e-diretrizes-terapeuticas-para-hepatite-b-e-coinfeccoes

Das fases da infecção pelo HBV, o excerto discorre sobre qual delas?

 

Provas

Questão presente nas seguintes provas
2141077 Ano: 2022
Disciplina: Medicina
Banca: MetroCapital
Orgão: Pref. Nova Odessa-SP
Provas:

O Ministério da Saúde aponta que a infecção pelo HBV é um processo dinâmico, dividido em:

 

Provas

Questão presente nas seguintes provas
2141076 Ano: 2022
Disciplina: Medicina
Banca: MetroCapital
Orgão: Pref. Nova Odessa-SP
Provas:

Sobre a Exposição do RN ao HIV após o nascimento, considere os itens, abaixo:

I - A transmissão do HIV pode ocorrer pela ingestão de leite humano contaminado com HIV (leite materno ou pela amamentação cruzada). A amamentação é contraindicada para mulheres infectadas pelo HIV.

II - A inibição farmacológica da lactação deve ser realizada imediatamente após o parto, utilizando-se cabergolina 1,0 mg via oral, em três doses (dois comprimidos de 0,5 mg por via oral, 1x ao dia, por 3 dias), administrada antes da alta hospitalar.

III - Em caso de suspeita de infecção materna aguda, cujo risco de transmissão para o lactente é alto, orienta-se a interromper imediatamente a amamentação e realizar CV e PEP no lactente. Fazer o acompanhamento da criança exposta até definição do caso.

Está correto o que se afirma em:

 

Provas

Questão presente nas seguintes provas
2141075 Ano: 2022
Disciplina: Medicina
Banca: MetroCapital
Orgão: Pref. Nova Odessa-SP
Provas:

De acordo com o Ministério da Saúde, são sinais de infecção pelo Hiv em crianças e adolescentes, exceto:

 

Provas

Questão presente nas seguintes provas
2141074 Ano: 2022
Disciplina: Medicina
Banca: MetroCapital
Orgão: Pref. Nova Odessa-SP
Provas:

O Ministério da Saúde aponta que o a associação de fibrato com estatina com a TARV aumenta o risco de

 

Provas

Questão presente nas seguintes provas
2141073 Ano: 2022
Disciplina: Medicina
Banca: MetroCapital
Orgão: Pref. Nova Odessa-SP
Provas:

Os PCDT do manejo da infecção pelo HIV no adulto, traz uma lista de medicamentos para esquemas de resgate, após múltiplas falhas - ARV de uso restrito. Dessa lista, o PCDT diz que é o inibidor de integrase (INI) preferencial, exceto para gestantes ou pacientes em uso de rifampicina.

Assinale a alternativa que preenche, corretamente, a lacuna do texto:

 

Provas

Questão presente nas seguintes provas
2141072 Ano: 2022
Disciplina: Medicina
Banca: MetroCapital
Orgão: Pref. Nova Odessa-SP
Provas:

No roteiro de abordagem inicial do adulto vivendo com Hiv, o Infectologista deve avaliar o histórico familiar de:

 

Provas

Questão presente nas seguintes provas
2141071 Ano: 2022
Disciplina: Medicina
Banca: MetroCapital
Orgão: Pref. Nova Odessa-SP
Provas:

De acordo com os Protocolos Clínicos e Diretrizes Terapêuticas (PCDT) para o manejo da infecção pelo HIV em adultos, o cuidado contínuo em HIV pode ser entendido como o processo de atenção aos usuários que vivem com HIV, passa por alguns estágios. Desses estágios, após o Diagnóstico oportuno segue:

 

Provas

Questão presente nas seguintes provas