Foram encontradas 140 questões.
- SUSLei 8.080/1990: Lei Orgânica da SaúdeSistema Único de SaúdePrincípios, Objetivos, Diretrizes e Atribuições.
- Planejamento e Gestão
Provas
São objetivos do Sistema Único de Saúde (SUS) assistência às pessoas por meio de intermédio de ações de promoção, proteção e recuperação da saúde com a realização integrada das ações assistenciais e das atividades preventivas. Estão incluídas ainda no campo de atuação do Sistema Único de Saúde:
I. A execução de ações: de vigilância epidemiológica, de vigilância sanitária, de saúde do trabalhador e de assistência terapêutica integral, inclusive farmacêutica;
II. A participação da formulação da política e na execução de ações de saneamento básico;
III. A ordenação de formação de recursos humanos na área da saúde;
IV. A vigilância nutricional e a orientação alimentar;
V. A participação no controle e fiscalização da produção, transporte, guarda e utilização de substâncias e produtos psicoativos e radioativos.
Assinale a alternativa correta:
Provas
- SUSLei 8.080/1990: Lei Orgânica da SaúdeSistema Único de SaúdePrincípios, Objetivos, Diretrizes e Atribuições.
- Planejamento e Gestão
O SUS é um dos maiores e mais complexos sistemas de saúde pública do mundo, garante acesso integral, universal e gratuito para toda a população do país. De acordo com a art. 7º da Lei 8.080 de 19/09/1990 as ações e serviços públicos de saúde e os serviços contratados ou conveniados que integram o SUS, são desenvolvidos de acordo com as diretrizes previstas no art. 198 da Constituição Federal, obedecendo ainda os seguintes princípios:
I. Descentralização político-administrativa, com direção única em cada esfera do governo.
II. Igualdade da assistência à saúde, sem preconceitos os privilégios de qualquer espécie.
III. Integralidade da assistência, entendida como conjunto articulado e contínuo de ações e serviços preventivos e curativos, individuais e coletivos, exigidos para cada caso em todos os níveis de complexidade do sistema.
IV. Universalidade de acesso aos serviços de saúde em todos os níveis de assistência.
V. Divulgação de informações quanto ao potencial dos serviços de saúde e a sua utilização pelo usuário.
Assinale a alternativa correta;
Provas
Provas
Glicemia de jejum: 102 mg/dL HbA1c: 11% Creatinina: 1.6 mg/dL Ureia: 52 mg/dL Microalbuminúria 24 horas: 215 ug/min
A partir dos resultados apresentados pode-se concluir que:
Provas
Provas
Provas
Provas

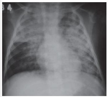
Fonte: Oliveira GA, Del Caro SR, Bender Lamego CM, et al. Radiographic plain film and CT findings in pneumonia in infants following used in treatment of bowel obstruction by Ascaris lumbricoides. Pediatr Radiol. 1985;15:157-60.
Provas
Provas
Caderno Container