Foram encontradas 1.348 questões.
Qual o sítio esquelético onde mais frequentemente ocorre tuberculose?
Provas
S.D.A, de 3 anos de idade, é internado na UTI pediátrica em insuficiência renal aguda após início de palidez, irritabilidade e fraqueza. Entre as alterações de exames laboratoriais observam-se Hb6,8 leucócitos 13.000 e plaquetas 79.000. Mãe informa que a criança vem apresentando quadro de diarreia há 8 dias. A principal hipótese para essa criança e o principal agente infeccioso envolvido são, respectivamente:
Provas
A comissura mais afetada na sindactilia é a:
Provas
Com relação ao acometimento ocular pelo herpes vírus em um paciente com síndrome da imunodeficiência adquirida, marque a alternativa CORRETA.
Provas
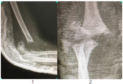
Paciente de 4 anos sofre queda do pula-pula e vem ao pronto-socorro com dor e deformidade do cotovelo direito. Faz as seguintes radiografias:

Fonte: COHEN, Moisés. Tratado de ortopedia. São Paulo: Editora Roca, 2007.
Qual é, respectivamente, a conduta e o nervo mais frequentemente lesado nesse tipo de fratura?
Provas
Um paciente masculino, 59 anos, chega ao pronto-socorro relatando episódio de dor abdominal de início há 20 horas, associado à perda de força em membros inferiores. Relata, ainda, que a paraparesia teve início de forma rapidamente progressiva, mas intermitente, com 2 episódios distintos, ambos com recuperação completa. Porém, há 5 horas perdeu completamente a força e persiste o déficit até o momento.
Ao exame, nota-se paraplegia com bexigoma, arreflexia patelar e aquileu, anestesia dolorosa abaixo de T11 com preservação da palestesia e batiestesia. O paciente foi encaminhado para a ressonância magnética, a qual evidenciou alteração de sinal medular de T9 a T12. Notou-se, também, dissecção aórtica torácica nos segmentos médio, inferior e porção superior da aorta lombar. A causa provável da síndrome medular é
Provas
O pé torto congênito é um dos defeitos congênitos mais comuns dos pés e inclui alterações nos ligamentos, músculos, tendões e ossos. Qual afirmativa a seguir está em desacordo ao pé torto congênito?
Provas
A respeito da ptose palpebral, assinale a alternativa CORRETA.
Provas
Mãe leva filha de 3 anos ao pediatra devido a histórico de faringoamigdalite de repetição. A mãe informa que, no último ano, a criança apresentou 8 episódios e já fez vários tratamentos com antimicrobianos diversos, sendo o último há 20 dias com Amoxicilina 50mg/kg/dia por 7 dias, com melhora dos sintomas após 5 dias de antibiótico. Ao exame clínico, observase hiperemia difusa de orofaringe com exudato em tonsilas, aftas na mucosa oral e adenomegalia cervical bilateral. A mãe informa que sempre que a criança apresenta esses episódios de faringoamigdalite, os médicos referem a presença das aftas e adenomegalia supracitadas.
Qual dos tratamentos a seguir traria melhor benefício para esse paciente?
Provas
Sobre o parkinsonismo plus (SPP), assinale a alternativa CORRETA.
Provas
Caderno Container