Foram encontradas 801 questões.
Sobre as Soluções Anestésicas, marque a alternativa correta.
Provas
Sobre os acidentes e complicações em anestesia local, marque a opção correta:
Provas
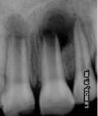
Analisando a imagem radiográfica ao lado, observou-se a presença de lesão periapical nos incisivos superiores. Segundo o relato do caso, a criança sofreu um acidente traumático (queda no toboáguá, batendo a boca no fundo da piscina) há um ano. Clinicamente observou-se uma fratura coronária no dente 11, com envolvendo esmalte, dentina, e no dente 21 fratura de esmalte. Relatou ainda que os dentes ficaram muito moles e que aos poucos a mobilidade cessou. No exame radiográfico observou-se rizogênese incompleta, com presença de lesão em ambos os dentes.
Assinale a alternativa correta quanto ao tratamento corretamente indicados para o paciente e o objetivo do mesmo, respectivamente:

imagem do site www.end o-e.com |
Provas
A prevalência de traumas dentais tem aumentado significativamente nos últimos tempos acometendo crianças e adolescentes, devido ao aumento da prática de esportes, quedas, acidentes de bicicleta, automóveis e violência. As lesões dentais traumáticas são situações especiais que requerem tratamento imediato e acompanhamento por longos períodos, pois podem gerar sérias consequências físicas e psicológicas aos pacientes, causando estresse emocional aos familiares, além de gerar altos custos para a reabilitação. Com relação às lesões traumáticas dos tecidos de suporte, assinale a alternativa correta.
Provas
A sobreposição de raízes ou canais na imagem radiográfica é um problema comum em primeiros pré-molares superiores, molares superiores e molares inferiores, onde a radiográfica ortorradial mostra a sobreposição das raízes e canais radiculares, desta forma, para que haja a identificação correta dos canais radiculares em dentes multirradiculares a técnica indicada será a técnica de Clark. Baseado no enunciado, marque a alternativa correta em relação a essa técnica para o primeiro molar inferior:
Provas
Em relação aos atendimentos de urgências endodônticas, analise os itens a seguir:
I. Um dente com periodontite perirradicular aguda terá resposta positiva e dolorosa à pressão da mordida ou à percussão. Esse dente pode ou não responder aos testes de vitalidade pulpar.
II. Antibióticos não são eficazes no tratamento de doenças crônicas, como no caso de lesões perirradiculares refratárias ao tratamento endodôntico. Nessas situações, o uso prolongado da droga pode induzir a seleção e predomínio de micro-organismos resistentes, além de predispor a infecções secundárias em outras regiões do organismo.
III. O uso de antibióticos por via sistêmica, nos casos de infecções endodônticas, esta indicado quando infecções periapicais apresentam sinais de disseminação do processo infeccioso, ou sinais e sintomas de ordem sistêmica, como se vê nos abscessos periapicais crônicos.
IV. No atendimento de urgência do abscesso perirradicular agudo, deve-se tentar sempre que possível, drenar todo exsudato purulento e esperar que o todo pús extravase de dentro do canal. Não é recomendado deixar o dente aberto para a drenagem pois isso pode permitir aumento significativo da população microbiana dentro do canal e a introdução de novos microorganismos no canal, inclusive bactérias entéricas.
Em relação as afirmativas acima, escolha a alternativa CORRETA.
Provas
Um paciente, do gênero masculino, 41 anos de idade, apresentou-se no serviço de urgência, com um quadro doloroso dor no dente 15. Ao ser examinado, observou-se que havia um grau de gengivite associada a placa bacteriana, com presença de sangramento em todos os sextantes. Clinicamente observou-se também sensibilidade acentuada ao teste de percussão e teste de vitalidade pulpar negativo, com presença de cárie secundária. Durante a sondagem foi verificada a presença de perda óssea com profundidade de 7mm de sondagem na face mesial do dente 15, com exsudato purulento. O diagnóstico e o tratamento adequados para o caso são:
Provas
O insucesso endodôntico é, na maioria das vezes, resultante de falhas técnicas, as quais impossibilitam a conclusão adequada dos procedimentos intracanais voltados para o controle e a prevenção da infecção endodôntica. O retratamento endodôntico consiste na execução do tratamento novamente, devido ao fracasso do tratamento anterior ou devido a necessidade defazer um tratamento mais adequado, principalmente nos casos em que surgiu a necessidade de os elementos dentários servirem de suporte a trabalhos protéticos.
Diante disso, julgue as afirmativas abaixo e assinale a alternativa correta:
I. Na maioria das vezes o fracasso endodôntico é resultante da permanência de uma infecção instalada na porção apical do canal, mesmo nos casos em que os canais, aparentemente, foram tratados de forma adequada.
II. A microbiota associada a casos de fracasso da terapia endodôntica é constituída principalmente por micro-organismos gram-negativas com predomínio aparente de anaeróbios estritos e fungos
III. Os maiores índices de sucesso no tratamento endodôntico de polpas infectadas ocorrem quando o limite da obturação está entre 0 e 2 mm aquém do ápice.
IV. Canais obturados expostos diretamente à saliva não são passíveis de serem recontaminados, graças à não solubilização e impermeabilidade do cimento endodôntico.
Provas
Analise o caso clinico abaixo e responda as questões 43 e 44.
Em um serviço de urgência de uma clinica odontológica, um paciente relatou dor intensa na região anterior superior, sobretudo a mastigação, dizendo que os dentes haviam "estufado na boca".
Na história passada da dor, o paciente relatou que a mesma se iniciou a dois dias atrás, tendo se agravado na noite anterior, fazendo com que o paciente se automedicasse com anti-inflamatório. Na imagem radiográfica constatou-se presença de rarefaciência óssea periapical nos dentes 12 e 22, com tratamentos endodônticos insatisfatórios.
No exame clinico, observou-se restaurações insatisfatórias em todos dos dentes, além da presença de fístula entre os dentes 21 e 22, advinda do dente 22. O teste de sensibilidade a frio foi negativo para todos esses dentes, já o teste de percussão foi positivo, com muita dor apenas para o dente 11. Não havia presença de edema , nem tumefação.
De acordo com o caso clinico acima, assinale a alternativa que contém o diagnóstico correto para o dente 12 e 22, respectivamente:
Provas
Analise o caso clinico abaixo e responda as questões 43 e 44.
Em um serviço de urgência de uma clinica odontológica, um paciente relatou dor intensa na região anterior superior, sobretudo a mastigação, dizendo que os dentes haviam "estufado na boca".
Na história passada da dor, o paciente relatou que a mesma se iniciou a dois dias atrás, tendo se agravado na noite anterior, fazendo com que o paciente se automedicasse com anti-inflamatório. Na imagem radiográfica constatou-se presença de rarefaciência óssea periapical nos dentes 12 e 22, com tratamentos endodônticos insatisfatórios.
No exame clinico, observou-se restaurações insatisfatórias em todos dos dentes, além da presença de fístula entre os dentes 21 e 22, advinda do dente 22. O teste de sensibilidade a frio foi negativo para todos esses dentes, já o teste de percussão foi positivo, com muita dor apenas para o dente 11. Não havia presença de edema , nem tumefação.
Assinale a alternativa que contém o diagnóstico correto para o dente 11.
Provas
Caderno Container