Foram encontradas 580 questões.
Paciente de 18 anos, do sexo masculino, dá entrada em sala de emergência trazido pelo Corpo de Bombeiros após acidente automobilístico em alta velocidade, há 30 minutos.
À avaliação pelo ATLS, temos o seguinte:
!$ \bullet !$ Vias aéreas pérvias, com colar cervical;
!$ \bullet !$ Ausculta pulmonar normal bilateral, FR 30, SatO2 97% a.a.;
!$ \bullet !$ Ausculta cardíaca normal, PA 60x30 (PAM 40), FC 130, abdome flácido à palpação, toque retal sem alterações, recebe 1 litro de cristaloide aquecido IV;
!$ \bullet !$ Glasgow 15, algo diaforético, pupilas isofotorreagentes, sem déficits focais;
!$ \bullet !$ Deformidade evidente em ambas as coxas, com fraturas expostas de ambos os fêmures e membros a jusante com tempo de enchimento lentificado;
!$ \bullet !$ Gasometria venosa admissional: pH 7,21, HCO3 15, BE -10, Hb 12g/dL, lactato 40.
Com relação ao manejo desse paciente e seguindo o protocolo do ATLS, as afirmativas a seguir estão corretas, à exceção de uma. Assinale-a.
Provas
As opções a seguir apresentam indicações para uso de corticoide em pacientes admitidos em sala de emergência, à exceção de uma. Assinale-a.
Provas
Paciente de 55 anos, do sexo feminino, dá entrada na sala de emergência com quadro de broncoespasmo severo. Trata-se de paciente obesa e asmática. Realizadas as medidas para broncoespasmo, sem resposta, optou-se por intubação orotraqueal.
Após a realização de posicionamento, oxigenação, sedação e bloqueio neuromuscular, realiza-se laringoscopia direta com visualização apenas da ponta da epiglote, configurando uma via aérea difícil, Cormack 3b.
Após três tentativas de intubação falhas com operador experiente e uso de Bougie e videolaringoscópio, paciente apresenta saturação de oxigênio menor que 80% sustentada, mesmo com ventilação sob dispositivo bolsa-valva-máscara bem acoplada.
O próximo passo preconizado para essa paciente é
Provas
Paciente do sexo masculino, 19 anos, com antecedente de depressão e múltiplas tentativas de suicídio, após tentativa de autoextermínio há cerca de 3 horas com substância desconhecida, é trazido ao Pronto-Socorro.
À admissão na sala de emergência, encontra-se torporoso, com pupilas midriáticas, porém protegendo via aérea, com PA 160x100 e FC 110, glicemia capilar 90mg/dL, sem outras alterações de exame clínico ou sinais vitais. Realizado o seguinte eletrocardiograma admissional:

A conduta imediata para esse paciente é
Provas
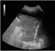
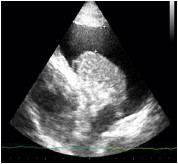
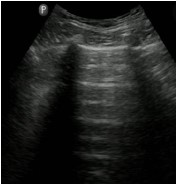
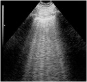
Paciente de 70 anos do sexo masculino dá entrada no Pronto-Socorro após iniciar quadro de dispneia em churrasco, há cerca de 1 hora.
Relata ser hipertenso e ter insuficiência cardíaca. Ao exame clínico, dispneico, FR 30, SatO2 77% em ar ambiente, FC 110 e PA 190x120, com ausculta pulmonar com estertores finos até ápices.
Assinale a opção que apresenta a imagem de ultrassonografia pulmonar compatível com a descrição do quadro acima.
Provas
Com relação ao exame laboratorial Dímero-D, analise as afirmativas a seguir.
I. Em pacientes com diagnóstico diferencial de dor torácica, um valor menor que 500 FEU nos pacientes com ADD escore de 1 ou menos descarta o diagnóstico de dissecção aguda de aorta.
II. Em pacientes com tromboembolismo pulmonar confirmado, valores mais altos desse exame estão associados a piores prognósticos.
III. Pacientes com Covid-19 e valores acima de 500 FEU devem receber anticoagulação plena, mesmo sem o diagnóstico confirmado de tromboembolismo, pelo risco de apresentarem trombose oculta ou microtrombos na circulação
Está correto o que se afirma em
Provas
Paciente do sexo feminino de meia-idade dá entrada no pronto-socorro e é diagnosticada com choque séptico de foco urinário. A paciente recebeu toda a ressuscitação inicial e antibioticoterapia de amplo espectro. No momento, encontra-se com FC 120, PAM 60 às custas de noradrenalina 0,5 mcg/kg/min e com sinais de perfusão periférica lentificada.
Pensando em melhorar a hemodinâmica dessa paciente, as possibilidades listadas a seguir são plausíveis pelos guidelines mais recentes, à exceção de uma. Assinale-a.
Provas
Paciente do sexo masculino, 68 anos, hipertenso e diabético, sofreu infarto com supradesnivelamento de segmento-ST na parede anterior.
Submetido à cineangiocoronariografia de emergência, que mostrou oclusão da artéria descendente anterior, sendo optado por colocação de stent farmacológico no vaso doente, além de medidas clínicas para infarto, sendo encaminhado a Unidade Coronariana e recebendo alta para a enfermaria no segundo dia pós-infarto, sem eventualidades.
Já na enfermaria, no quinto dia de internação, começa a queixar-se de recorrência de dor torácica em hemitórax esquerdo, em opressão, ventilatório-dependente e de caráter progressivo. Ao exame clínico, apresenta-se em bom estado geral, normotenso, normocárdico, eupneico, porém febril, com temperatura axilar de 38,2ºC.
Realizado ECG neste momento:

Assinale a opção que indica a conduta para esse caso.
Provas
Paciente do sexo feminino, 23 anos, procura o pronto-socorro com queixa de disúria, polaciúria e urgência miccional há um dia. Nega febre, dor lombar ou outros sintomas. Ao exame clínico, apenas leve dor à palpação de hipogastro, Giordano negativo, afebril. Refere vida sexual ativa e refere último episódio de infecção urinária há 18 meses. Nega outras comorbidades.
Sobre esse caso, analise as afirmativas a seguir.
I. O tratamento por curto período com quinolona, como ciprofloxacino, é a primeira escolha para esses casos.
II. Por se tratar de quadro de cistite não complicada em mulher jovem com vida sexual ativa, não há a necessidade de coleta de exames complementares de urina.
III. Caso a paciente fosse gestante, as quinolonas estariam contraindicadas pelo seu potencial risco teratogênico. Nesse caso, a nitrofurantoína poderia ser uma alternativa segura.
Está correto o que se afirma em
Provas
Recentemente, o Brasil foi assolado por casos de Influenza A e Covid-19.
Com relação ao manejo dessas infecções, analise as afirmativas a seguir.
I. Pelo protocolo do Ministério da Saúde, o oseltamivir está recomendado para todos os pacientes diagnosticados com Influenza A nas primeiras 48h de sintomas, por 5 dias.
II. Ao contrário da maioria dos antimicrobianos, não é necessário corrigir a dose do oseltamivir para a função renal do paciente.
III. Os pacientes com Covid-19 que necessitem de oxigenioterapia suplementar têm indicação de corticoides sistêmicos.
IV. Ao contrário dos pacientes com Covid-19, a utilização de corticoides nos pacientes com quadros graves de Influenza A está associada a piores desfechos.
Está correto o que se afirma em
Provas
Caderno Container