Foram encontradas 580 questões.
Paciente do sexo feminino, 30 anos, dá entrada no Pronto-Socorro após apresentar crise convulsiva, há 15 minutos. Trata-se de primigesta com 35 semanas de gestação e com seguimento irregular no pré-natal. Não apresenta comorbidades.
À admissão, apresenta-se confusa, em pós-ictal, apresentando os seguintes sinais vitais: FC 72, PA 164x112, FR 24, SatO2 93% a.a., T 36,5 ºC, glicemia capilar 97mg/dL. Em seguida, apresenta nova crise convulsiva, com duração de 2 minutos.
Além das condutas obstétricas pertinentes, assinale a opção que indica a medicação de escolha para essa paciente, neste momento.
Provas
Paciente de 66 anos, sexo masculino, etilista, com cirrose hepática de etiologia alcoólica, dá entrada no Pronto-Socorro com quadro de confusão mental há 1 dia e hematêmese há 2 horas.
À admissão, encontra-se descorado 3+/4+, ictérico +/4+, confuso e desorientado com flapping, FC 110, PA 90x60, FR 24, SatO2 95% a.a., afebril, glicemia capilar 170mg/dL, com presença de abdome ascítico.
Exames laboratoriais: Hb 5,5, Leuco 4500, Plaquetas 106.000, INR 3,8, Ur 100, BT 3,9, Cr 1,5, Na 135, K 6,3, pH 7,22, HCO3 15 e lactato 38.
Endoscopia digestiva alta com varizes de grosso calibre em esôfago, uma delas com sangramento ativo.
Considere os seguintes itens
1. Concentrado de hemácias;
2. Plasma fresco congelado;
3. Bicarbonato de sódio;
4. Furosemida;
5. Terlipressina;
6. Ceftriaxona.
Além do manejo endoscópico das varizes e de solicitar internação em UTI para esse paciente, devem constar em sua prescrição da sala de emergência os itens:
Provas
Paciente de 25 anos, sexo masculino, dá entrada no Pronto-Socorro com quadro de cólica nefrética clássica, com dor lombar à direita, irradiando para o testículo direito. Refere antecedente de nefrolitíase, sendo acompanhado com urologista e nefrologista, e duas procuras ao Pronto-Socorro no ano anterior com os mesmos sintomas. Nega outras comorbidades. Relata que os sintomas iniciaram-se há 20 minutos, negando febre ou outras alterações urinárias.
Ao exame clínico, sinal de Giordano positivo à direita, FC 106, sem outras alterações de sinais vitais ou de exame físico. Recebe 2g de dipirona, 100mg de cetoprofeno e 2mg de morfina com melhora completa dos sintomas.
Assinale a opção que indica o exame de imagem que o paciente deve realizar ainda no Pronto-Socorro.
Provas
Paciente do sexo masculino de 30 anos, previamente hígido, dá entrada no Pronto-Socorro com relato de ter sido mordido por tubarão enquanto surfava no mar há 15 minutos. Apresenta ferimento extenso em mão e em antebraço à direita.
Além da profilaxia de tétano apropriada para este paciente e de cuidados com a ferida, assinale a opção que indica as providências corretas a serem adotadas.
Provas
Paciente de 21 anos, sexo feminino, dá entrada no Pronto-Socorro com queixa de febre de até 38,9°C há um dia. Trata-se de paciente com linfoma de Hodgkin, tendo sido iniciada quimioterapia com protocolo ABVD há duas semanas. Não possui outras comorbidades. Nega sintomas respiratórios, urinários, gastrointestinais ou quaisquer outros sintomas localizatórios, exceto pela febre.
Ao exame clínico, encontra-se em bom estado geral, hipocorada +/4+, hidratada, febril (T 38,9ºC), com FC 98 e PA 120x70, sem outras alterações de exame clínico. Exames complementares sem alterações relevantes, exceto por hemograma com Hb 9,8g/dL, leucócitos totais de 600 (sendo 300 neutrófilos) e 108.000 plaquetas.
Além de coleta de culturas, esta paciente deve receber o seguinte esquema antimicrobiano
Provas
Recentemente, houve relatos de cerveja contaminada com etilenoglicol.
As opções a seguir apresentam terapêuticas para o tratamento da intoxicação por esse agente, à exceção de uma. Assinale-a.
Provas
Paciente de 22 anos, sexo masculino, é internado no contexto de traumatismo craniano grave, após queda de moto. Tem histórico de etilismo e de uso de diversas drogas ilícitas.
Apresentando agitação grave no 2º dia de internação, optou-se por sedação com propofol e fentanil, sendo necessárias doses altas das medicações em questão para manter o paciente com RASS 0 a -2. Recebe, há pelo menos três dias, fentanil 150mcg/h (3mL/h da solução pura) e propofol 600mg/h (60mL/h).
O doente evolui com acidose metabólica grave, rabdomiólise e hipotensão associada a bradicardia no quinto dia de internação.
Além de manter o suporte intensivo, a conduta mais pertinente ao caso é
Provas
Homem, 25 anos, com diagnóstico de tumor testicular de células germinativas de alto grau comparece ao Pronto-Socorro 7 dias após o primeiro ciclo de quimioterapia. Queixa-se de náuseas, vômitos, astenia e palpitações.
Ao exame clínico, apresenta-se com PA 100 x 68, FC 112, FR 20, SatO2 98% a.a., TEC<3s, hipocorado +/4+, desidratado, anictérico, acianótico e afebril.
Exames complementares: Hb 11g/dL, Ht 34%, Leucócitos 5400, sem desvios, Plaquetas 310.000, Creatinina 2,5 e Ureia 60.
Considerando a hipótese de Síndrome de Lise Tumoral, os achados mais prováveis dos demais exames complementares são
Provas
Paciente internado em sala de emergência do Pronto-Socorro com o diagnóstico de Covid-19 grave, intubado e sob ventilação mecânica, sedado em uso de propofol 100mg/h e fentanil 25mcg/h.
Apresenta abertura ocular quando chamado, acordando rapidamente e com contato ocular com examinador por cerca de 3 segundos, voltando a fechar os olhos logo após.
Baseando-se na escala de RASS (Richmond Agitation Sedation Scale) utilizada para avaliar o nível de sedação, é correto afirmar que esse paciente se apresenta em
Provas
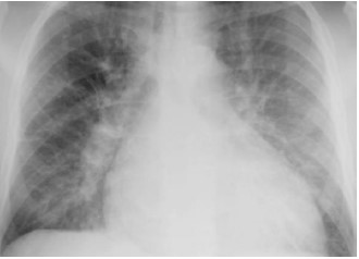
Homem, 71 anos, morador de zona rural no interior do Amazonas, diabético, hipertenso, com diagnóstico de insuficiência cardíaca com fração de ejeção reduzida, todas com bom controle clínico, é encaminhado ao hospital terciário três horas após ter sido vítima de acidente com animal peçonhento.
À chegada, apresenta-se sudoreico, sonolento, com vômitos. Ao exame clínico: PA 76x56, FC 118, FR 26, SatO2 85% a.a., TEC 4s. Propedêutica cardíaca: presença de B3 e de estase jugular a 45º. Propedêutica pulmonar: presença de estertores finos bibasais à ausculta respiratória.
Exames complementares: Glicemia 330 mg/dL, Na 137mEq/L, K 3,5mEq/L, Cl 101 mEq/L, troponina I 2,35mcg/L (VN < 0,014mcg/L), gasometria arterial com pH 7,15, PaO2 57mmHg, PaCO2 28mmHg, bicarbonato 10mEq/L, BE -14.
Segue radiografia de tórax.

Para esse paciente, assinale a opção que apresenta o tipo de acidente e o distúrbio gasométrico.
Provas
Caderno Container