Foram encontradas 1.766 questões.
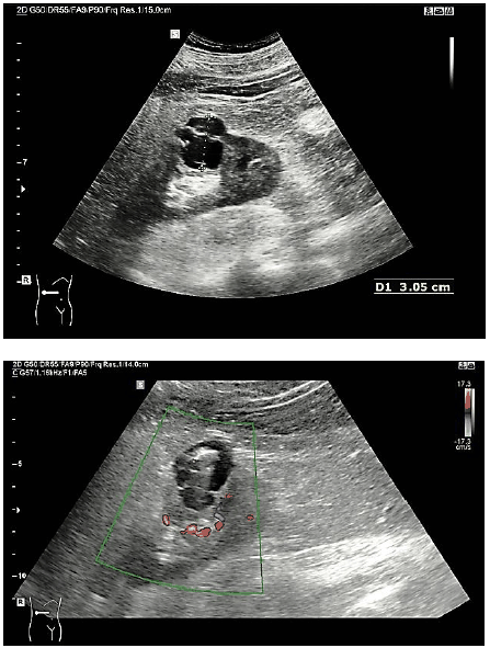
Paciente, 38 anos, sexo masculino, comparece para realizar ultrassonografia abdominal. Assintomático; exame solicitado para perícia médica em concurso público, em que foram observadas as seguintes imagens:

Considerando o caso hipotético, assinale a classificação dessa lesão de acordo com a classificação de Bosniak.
Provas
“No acompanhamento de nódulos de tireoide é importante avaliar o crescimento substancial, o qual é definido como mudança de mais de no volume ou de aumento no diâmetro do nódulo com um aumento mínimo em duas ou mais dimensões de pelo menos .” Assinale a alternativa que completa correta e sequencialmente a afirmativa anterior.
Provas
Considerando o caso hipotético de uma paciente hígida, 29 anos, nuligesta, realizando um exame de ultrassonografia de mama para avaliação de integridade de prótese mamária. Assinale, a seguir, a característica da imagem que permite diagnosticar rotura de cápsula intracapsular.
Provas
A adenomiomatose da vesícula biliar é uma patologia benigna, classificada em focal, segmentar e difusa. A fisiopatologia da doença tem como base o espessamento da parede vesicular, assintomático. Na ultrassonografia, é comum apresentar:
Provas
A hemorragia intracraniana (HIC) e a leucomalácia periventricular (LPV) são as afecções cerebrais mais comuns do recém- -nascido, sendo os prematuros os mais acometidos. Um paciente em avaliação por suspeita de leucomalácia cística com lesão classificada como grau 3 de De Vries et al pode ser descrita como ecogenicidade periventricular:
Provas
Paciente, 29 anos, sexo feminino, comparece para realizar ultrassonografia de abdômem total para acompanhamento de lesões hepáticas. Refere ter tido diagnóstico provável de fibroadenomas hepáticos nos lobos marcados com asterisco na imagem a seguir; observe:

Considerando o caso hipotético, assinale em quais lobos a paciente apresenta lesões.
Provas
O objetivo principal do exame FAST é determinar a presença de líquido livre pericárdico, intratorácico ou intraperitoneal ou a presença de pneumotórax. Assinale, a seguir, a ordem padrão ideal de avaliação.
Provas
Considerando que a ultrassonografia é o método de diagnóstico por imagem mais comum para avaliação de patologias da tireoide, sobre tal modalidade de exame, marque V para as afirmativas verdadeiras e F para as falsas.
( ) Calcificações podem estar presentes em nódulos benignos e malignos.
( ) Nódulos malignos da tireoide geralmente têm uma aparência hiperecoica na ultrassonografia.
( ) Diâmetro e volume de nódulos grandes predizem uma maior probabilidade de câncer de tireoide e prognóstico.
( ) O plano de crescimento natural de um nódulo está na direção transversal; um nódulo que cresce contra este plano tecidual pode ser sinal de uma neoplasia mais agressiva.
A sequência está correta em
Provas
A bursa do gastrocnêmio submembranoso, também conhecida como cisto de Baker, foi demonstrada pela primeira vez por ultrassonografia, em 1972. Em ultrassonografias transversais, o cisto de Baker pode assumir as seguintes formas, EXCETO:
Provas
É característica do líquido sinovial da artrite séptica:
Provas
Caderno Container