Magna Concursos

Foram encontradas 1.440 questões.

2111132 Ano: 2021
Disciplina: Técnicas em Laboratório
Banca: AOCP
Orgão: Pref. João Pessoa-PB
Provas:
Assinale a alternativa que apresenta respectivamente como se denominam os meios de cultura que permitem o crescimento de certos tipos de microrganismos e inibem o crescimento de outros e um exemplo desses meios de cultura.
 

Provas

Questão presente nas seguintes provas
2111131 Ano: 2021
Disciplina: Técnicas em Laboratório
Banca: AOCP
Orgão: Pref. João Pessoa-PB
Provas:
Como se chama o dispositivo no qual são realizadas as contagens e que pode ser utilizado para determinar a quantidade de hemácias na urina?
 

Provas

Questão presente nas seguintes provas
2111130 Ano: 2021
Disciplina: Técnicas em Laboratório
Banca: AOCP
Orgão: Pref. João Pessoa-PB
Provas:
Para a execução do método parasitológico de Faust, é utilizado qual do seguintes equipamentos?
 

Provas

Questão presente nas seguintes provas
2111129 Ano: 2021
Disciplina: Técnicas em Laboratório
Banca: AOCP
Orgão: Pref. João Pessoa-PB
Provas:
Assinale a alternativa que descreve corretamente parte do procedimento na coleta da secreção uretral masculina para o diagnóstico de clamídia.
 

Provas

Questão presente nas seguintes provas
2111128 Ano: 2021
Disciplina: Técnicas em Laboratório
Banca: AOCP
Orgão: Pref. João Pessoa-PB
Provas:
Preencha as lacunas e assinale a alternativa correta.
O teste , também conhecido como técnica de dupla camada, é utilizado na detecção de anticorpos no do paciente por meio de antígenos fixados em uma lâmina, na qual se aplica primeiramente um específico não fluorescente.
 

Provas

Questão presente nas seguintes provas
2111127 Ano: 2021
Disciplina: Técnicas em Laboratório
Banca: AOCP
Orgão: Pref. João Pessoa-PB
Provas:
Em relação às vidrarias para uso em laboratório, a pipeta volumétrica de 25 mL é adequada para
 

Provas

Questão presente nas seguintes provas
2111092 Ano: 2021
Disciplina: Radiologia
Banca: AOCP
Orgão: Pref. João Pessoa-PB
Provas:
O objetivo do uso de filtros nos equipamentos de raio-x é
 

Provas

Questão presente nas seguintes provas
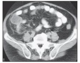
2111091 Ano: 2021
Disciplina: Radiologia
Banca: AOCP
Orgão: Pref. João Pessoa-PB
Provas:
Paciente masculino de 45 anos dá entrada ao PA com dor em FID há 7 horas, inapetência e febre. Ao exame clínico, há dor à descompressão brusca da FID. A imagem tomográfica a seguir confirma o diagnóstico de
Enunciado 2111091-1
 

Provas

Questão presente nas seguintes provas
2111090 Ano: 2021
Disciplina: Radiologia
Banca: AOCP
Orgão: Pref. João Pessoa-PB
Provas:
Quais são os quatro segmentos da uretra masculina?
 

Provas

Questão presente nas seguintes provas
2111089 Ano: 2021
Disciplina: Radiologia
Banca: AOCP
Orgão: Pref. João Pessoa-PB
Provas:
De acordo com a 5ª edição do BI-RADS, qual alternativa se enquadra adequadamente na classificação 3?
 

Provas

Questão presente nas seguintes provas