Foram encontradas 1.440 questões.
Qual é a terapia antifúngica empírica inicial
mais adequada para um paciente adulto
neutropênico, com infecção fúngica
invasiva?
Provas
Questão presente nas seguintes provas
Sobre o uso de bloqueadores
neuromusculares na UTI, é correto afirmar
que
Provas
Questão presente nas seguintes provas
Uma mulher de 74 anos está internada na
unidade de terapia intensiva (UTI) há 24 dias,
apresentando novos episódios de febre e
sinais flogísticos no ponto de inserção do
catéter venoso central instalado na sua veia
jugular interna direita. Qual a conduta mais
adequada?
Provas
Questão presente nas seguintes provas
Em 1932, Sir David Patten Cuthbertson
dividiu a resposta inflamatória ao trauma em
duas fases, com base nas alterações
metabólicas observadas no organismo. Em
relação às características da fase ebb,
assinale a alternativa INCORRETA.
Provas
Questão presente nas seguintes provas
Com o aumento da qualidade de vida e o
envelhecimento da população mundial, o
cirurgião tende a se deparar cada vez mais
com cirurgias em pacientes geriátricos. A
cirurgia no paciente geriátrico requer
inúmeros cuidados, pois existem alterações
fisiológicas que devem ser avaliadas quanto
à possibilidade de complicações. Entre essas
alterações estão, EXCETO
Provas
Questão presente nas seguintes provas
A colecistectomia deve ser realizada
dispondo-se de acesso à Colangiografia
Intraoperatória (CIO). Isso porque a
coledocolitíase não diagnosticada no préoperatório da Colecistite Crônica Calculosa
(CCC) gira ao redor de 7% a 10%. Na via
laparoscópica, discute-se o que fazer quando
há suspeita pré-operatória de existência de
coledocolitíase ou quando esta é identificada
no ato operatório. Em relação aos temas e às
condutas adequadas, analise as assertivas e
assinale a alternativa que aponta as corretas.
I. Realização prévia da Colangiopancreatografia Retrógrada Endoscópica (CPRE) com papilotomia e retirada do(s) cálculo(s), seguida, cerca de 24 horas depois, por colecistectomia laparoscópica. II. Retirada do cálculo do colédoco por via laparoscópica quando houver instrumental adequado e o cirurgião estiver habilitado para tanto. III. Realização de colecistectomia por via laparoscópica e, cerca de 24 horas depois, de CPRE e papilotomia para a extração do cálculo. IV. Realização da CPRE e da extração endoscópica do cálculo no mesmo tempo operatório.
I. Realização prévia da Colangiopancreatografia Retrógrada Endoscópica (CPRE) com papilotomia e retirada do(s) cálculo(s), seguida, cerca de 24 horas depois, por colecistectomia laparoscópica. II. Retirada do cálculo do colédoco por via laparoscópica quando houver instrumental adequado e o cirurgião estiver habilitado para tanto. III. Realização de colecistectomia por via laparoscópica e, cerca de 24 horas depois, de CPRE e papilotomia para a extração do cálculo. IV. Realização da CPRE e da extração endoscópica do cálculo no mesmo tempo operatório.
Provas
Questão presente nas seguintes provas
Um dos principais problemas que atrasam a
recuperação do paciente no período pósoperatório é a ocorrência de náuseas e
vômitos. Seguindo as recomendações do
Protocolo ACERTO para prevenção de
náuseas e vômitos no pós-operatório, analise
as assertivas e assinale a alternativa que
aponta as corretas.
I. Abreviar o tempo de jejum pré-operatório para 2 horas e manter uma hidratação adequada no perioperatório. II. Reduzir o uso de opioides e neostigmina. III. Evitar o uso de anestésicos voláteis e de opioides. IV. Não usar procinéticos na prescrição do pós-operatório imediato e no primeiro dia de pós-operatório.
I. Abreviar o tempo de jejum pré-operatório para 2 horas e manter uma hidratação adequada no perioperatório. II. Reduzir o uso de opioides e neostigmina. III. Evitar o uso de anestésicos voláteis e de opioides. IV. Não usar procinéticos na prescrição do pós-operatório imediato e no primeiro dia de pós-operatório.
Provas
Questão presente nas seguintes provas
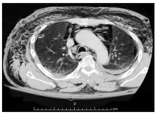
Homem de 18 anos, vítima de colisão moto x
auto há 2 horas, refere apenas muita dor
torácica para respirar, estando estável
hemodinamicamente. Exame físico
direcionado: enfisema de tecido celular
subcutâneo principalmente em região
anterior e lateral do tórax, expansibilidade
simétrica bilateralmente, murmúrio vesicular
presente bilateralmente, sem alteração à
percussão. A TC de tórax é apresentada a
seguir:
Assinale a alternativa correta em relação ao diagnóstico e a conduta adequada nesse caso.
Assinale a alternativa correta em relação ao diagnóstico e a conduta adequada nesse caso.
Provas
Questão presente nas seguintes provas
Paciente grave, em UTI, está gravemente
desnutrido devido a um câncer de laringe.
Sem condições cirúrgicas de confecção de
uma via alimentar, é, portanto, indicada a
nutrição parenteral total. Em relação às vias
de acesso para a nutrição parenteral e suas
características, assinale a alternativa correta.
Provas
Questão presente nas seguintes provas
A contração vesical se dá pela atividade
parassimpática. Os receptores muscarínicos
mais frequentes na bexiga humana são
Provas
Questão presente nas seguintes provas
Cadernos
Caderno Container