Foram encontradas 1.440 questões.
Paciente feminina, 29 anos, refere história de
úlceras orais e genitais de repetição, de início
há aproximadamente 1 ano, 5 episódios no
período. Relata atendimento oftalmológico na
última semana, devido à uveíte bilateral.
Levando em consideração esse quadro
clínico e seu diagnóstico mais provável,
como essa doença é classificada de acordo
com a nomenclatura das vasculites?
Provas
Questão presente nas seguintes provas
Paciente feminina, 72 anos, tem diagnóstico
de artrite reumatoide soropositiva há 26 anos,
em uso contínuo de Etanercepte 50
mg/semanal, Metotrexato 20 mg/semanal,
Ácido fólico 5 mg/semanal e Alendronato 70
mg/semanal. Refere menopausa aos 52 anos
e diagnóstico de osteoporose há 9 anos, em
uso desde então de bifosfonato oral. Essa
paciente chega hoje pela primeira vez em
consultório com os seguintes resultados de
exames:
Densitometria óssea: T-score L1-L4 -3,8/ Colo de fêmur -2,0/ Fêmur total -2,1. Raio X de coluna lombar: achatamento vertebral em L3 e L4.
A respeito do manejo do tratamento de osteoporose, qual é a conduta adequada?
Densitometria óssea: T-score L1-L4 -3,8/ Colo de fêmur -2,0/ Fêmur total -2,1. Raio X de coluna lombar: achatamento vertebral em L3 e L4.
A respeito do manejo do tratamento de osteoporose, qual é a conduta adequada?
Provas
Questão presente nas seguintes provas
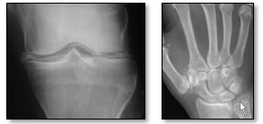
Paciente feminina, 68 anos, vai à consulta
devido à queixa de dor e edema em punho
esquerdo, de início há 2 dias. Relata episódio
prévio semelhante há 8 meses em joelho
direito, que durou 2 semanas, sem melhora
com uso de anti-inflamatórios e com
resolução espontânea. Refere como
comorbidades diabetes insulinodependente e
hipotireoidismo. A paciente apresenta ao
médico duas radiografias realizadas em UBS,
as quais são evidenciadas a seguir. Qual é o
provável diagnóstico?


Provas
Questão presente nas seguintes provas
A respeito das neoplasias articulares,
assinale a alternativa correta.
Provas
Questão presente nas seguintes provas
A respeito das artrites enteropáticas, assinale
a alternativa correta.
Provas
Questão presente nas seguintes provas
Sobre as fraturas diafisárias de fêmur no
adulto, assinale a alternativa INCORRETA.
Provas
Questão presente nas seguintes provas
A respeito do pé torto congênito, é correto
afirmar que
Provas
Questão presente nas seguintes provas
O músculo piriforme tem como função:
Provas
Questão presente nas seguintes provas
Assinale a alternativa que apresenta a
estrutura anatômica do pé.
Provas
Questão presente nas seguintes provas
Referente à fratura diafisária do fêmur adulto,
é correto afirmar que
Provas
Questão presente nas seguintes provas
Cadernos
Caderno Container