Foram encontradas 1.440 questões.
Qual substituto temporário de pele em
queimados utiliza a pele de cadáver
humanos?
Provas
Questão presente nas seguintes provas
A traqueia pode apresentar estenose
secundária a injúrias provocadas por terapias
médicas ou mesmo a doenças benignas ou
malignas. Dentre as seguintes opções,
assinale aquela que NÃO apresenta uma
condição associada à estenose de traqueia
(que pode desencadear).
Provas
Questão presente nas seguintes provas
Homem, 28 anos, vítima de acidente
automobilístico moto versus parapeito, foi
atendido no local pelo SAMU. Não houve TCE
e ele usava capacete, porém referia intensa
dor em região torácica e pelve. Associada à
dor, apresentava dispneia importante. Devido
à condição respiratória, foi intubado no local,
onde também foi realizada expansão
volêmica. Ao chegar ao hospital e ser
acoplado ao ventilador, apresentava
expansão torácica à esquerda diminuída,
murmúrio vesicular abolido ipsilateral,
timpanismo na percussão e hematoma local.
Quanto a esse caso, assinale a alternativa
correta.
Provas
Questão presente nas seguintes provas
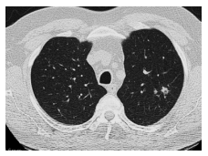
Paciente feminina de 22 anos procura
atendimento por hemoptise eventual, tosse
produtiva e pneumonias frequentes (em
média 3 por ano). Durante avaliação, foi
solicitada tomografia de tórax. Referente às
alterações presentes na seguinte imagem,
assinale a alternativa correta.


Provas
Questão presente nas seguintes provas
Paciente feminina de 45 anos, recémdiagnosticada com câncer de mama, procura
o pronto atendimento devido à dispneia. Foi
realizada radiografia de tórax que evidencia
derrame pleural à esquerda de moderado
volume. Após realização de toracocentese de
alívio e diagnóstica, a análise do líquido
pleural revela tratar-se de um exsudato
linfocítico com ADA de 11. Sobre o caso, é
correto afirmar que
Provas
Questão presente nas seguintes provas
Paciente, 54 anos, chega ao pronto-socorro
levado por bombeiros com relato de trauma
automobilístico há cerca de 35 minutos. No
atendimento inicial, evidenciam-se: via aérea
pérvia com paciente queixando-se de dor;
tórax simétrico com murmúrio vesicular
levemente reduzido à esquerda, onde nota-se
extensa escoriação na parede anterior do
tórax; SpO2 91% com máscara de O2 12l/min;
PA 170X100 mmHg; FC 115bpm; pelve
estável; abdome indolor; GCS 15. Sobre o
trauma torácico, é correto afirmar que
Provas
Questão presente nas seguintes provas
Após cerca de 30 minutos, o paciente
apresentado na questão anterior evolui com
PA 90X60 mmHg, FC 139bpm e turgência
jugular. As bulhas eram normais e o
murmúrio vesicular reduzido à esquerda.
Estava pálido, sudoreico e com extremidades
frias. Havia acabado de realizar a seguinte
radiografia de tórax:

Com base no exposto, qual é a etiologia mais provável para o choque e qual é a conduta adequada?

Com base no exposto, qual é a etiologia mais provável para o choque e qual é a conduta adequada?
Provas
Questão presente nas seguintes provas
Quanto ao dispositivo traqueal representado
na figura a seguir, qual das seguintes opções
NÃO representa uma vantagem no seu uso?


Provas
Questão presente nas seguintes provas
Paciente, 57 anos, médico, tabagista ativo,
120 anos/maço, realizava por conta própria
tomografia de tórax anualmente, pois temia
falecer por um diagnóstico tardio de um
câncer de pulmão. Assintomático, procurou o
consultório de um cirurgião torácico
preocupado com o resultado do último
exame. Sobre o caso em questão, assinale a
alternativa correta.


Provas
Questão presente nas seguintes provas
A pletismografia a ar é um exame que fornece
muitas informações para o entendimento da
insuficiência venosa crônica. Sobre os
parâmetros da pletismografia a ar, assinale a
alternativa correta.
Provas
Questão presente nas seguintes provas
Cadernos
Caderno Container