Foram encontradas 855 questões.
Um homem de 52 anos, com histórico de etilismo crônico, apresenta dor abdominal epigástrica crônica, contínua, de forte intensidade, que piora após as refeições. Relata perda ponderal de 7 kg nos últimos 4 meses, esteatorreia e episódios ocasionais de vômitos. Exames laboratoriais evidenciam glicemia de jejum elevada e insuficiência exócrina pancreática. A tomografia computadorizada de abdome revelou calcificações difusas no pâncreas e dilatação do ducto pancreático principal (8 mm), sem massas aparentes. Após manejo inicial com enzimas pancreáticas e analgesia, a dor persiste, limitando muito as atividades do paciente.
Nesse contexto, a abordagem terapêutica mais indicada para esse paciente é
Provas
Um homem de 45 anos, previamente hígido, procura atendimento devido a dor epigástrica intensa de início súbito, associada a náuseas. No exame físico, apresenta abdome rígido e doloroso à palpação, com sinais de irritação peritoneal. A radiografia de abdome revelou pneumoperitônio. Após estabilização inicial, foi submetido a uma videolaparoscopia, que identificou uma úlcera perfurada de 0,8 cm na pequena curvatura gástrica, sem calo fibroso.
Considerando o exposto, assinale a alternativa que indica a conduta cirúrgica mais adequada para esse caso.
Provas
Um homem de 58 anos, tabagista e etilista crônico, apresenta disfagia progressiva, inicialmente, para sólidos e, posteriormente, para líquidos, associada a perda ponderal de 9 kg nos últimos 3 meses. Após avaliação inicial, foi realizada uma endoscopia digestiva alta que revelou lesão ulcerada na junção esofagogástrica, com biópsia positiva para adenocarcinoma. A tomografia computadorizada de tórax e abdome mostrou espessamento da parede esofágica na região distal, sem evidência de linfonodomegalia ou metástases à distância. O paciente apresenta bom estado geral, sem comorbidades descompensadas.
Nesse caso, a conduta mais indicada para o manejo inicial é
Provas
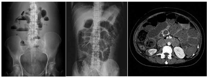
Um homem de 66 anos, com histórico de três laparotomias prévias por cirurgias abdominais há mais de 10 anos, apresenta dor abdominal difusa, náuseas, vômitos biliosos e ausência de evacuação há 48 horas. No exame físico, o abdome está distendido, com ruídos hidroaéreos metálicos. Após ressuscitação volêmica realizada no pronto atendimento, o paciente é internado para continuidade do tratamento. A radiografia simples de abdome e tomografia computadorizada (TC) do abdome estão demonstradas a seguir.

Com base no caso clínico e na radiografia apresentados, assinale a alternativa que indica a conduta mais apropriada nesse caso.
Provas
Um homem de 58 anos, obeso (IMC 35 kg/m2 ), tabagista, com histórico de apendicectomia há 20 anos, apresenta abaulamento doloroso em região infraumbilical, notado há cerca de 6 meses, que aumentou de volume gradualmente. Ele relata dor ao esforço físico e aumento do abaulamento ao tossir. No exame físico, há uma protrusão irredutível, com dor à palpação, localizada na linha mediana. Foi solicitada tomografia computadorizada (TC) do abdome, que revelou hérnia incisional com perda de domicílio. O paciente é submetido ao reparo cirúrgico convencional (colocação do conteúdo herniário intra-abdominal e uso de tela pré-peritoneal); logo após a cirurgia, evolui com insuficiência respiratória aguda, insuficiência renal e distensão abdominal.
Com base no exposto, pode-se afirmar que o paciente apresentou, como complicação pós-operatória,
Provas
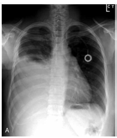
Um homem de 75 anos, com histórico de câncer de pulmão metastático, em tratamento quimioterápico, procura atendimento devido à dispneia progressiva e dor torácica leve há duas semanas. Ele não apresenta febre ou outros sinais infecciosos. No exame físico, observa-se murmúrio vesicular diminuído e macicez à percussão no hemitórax direito. Uma toracocentese diagnóstica revela líquido de aspecto sero-hemático com pH 7,2, glicose 45 mg/dL e citologia positiva para células neoplásicas. A radiografia de tórax está demonstrada a seguir.

(Townsend Jr., C. M.; Beauchamp, R.D.; B. Evers,
M. and Mattox, K.L. Sabiston. Tratado de cirurgia.
20a edição, ed. Elsevier, 2019)
Com base no relato e na radiografia apresentados, assinale a alternativa que indica a melhor abordagem terapêutica inicial para esse paciente.
Provas
Uma menina de 5 anos é levada ao ambulatório devido a um aumento indolor na região média do pescoço que os pais notaram há cerca de 6 meses. O aumento de volume tornou-se mais evidente após um episódio recente de infecção de vias aéreas superiores. No exame físico, observa-se uma massa móvel, situada na linha média do pescoço, que se eleva com a deglutição e ao protrair a língua. Não há sinais de inflamação no momento. Ultrassonografia cervical mostra uma lesão cística bem delimitada, sem vascularização interna.
Segundo o caso clínico apresentado, pode-se afirmar que a abordagem inicial mais adequada para esse caso é
Provas
Um homem de 44 anos é admitido no pronto-socorro após explosão em um ambiente industrial. Ele apresenta queimaduras extensas em tórax, abdome e membros superiores, com áreas de espessura parcial e total, totalizando aproximadamente 55% da superfície corporal queimada (SCQ). O paciente está consciente, com frequência cardíaca de 120 bpm, pressão arterial de 100/70 mmHg e frequência respiratória de 28 irregulares. Relata dificuldade respiratória. No exame físico, observa-se fuligem em narinas e orofaringe, rouquidão e queimaduras circulares profundas nos membros superiores.
Considerando o descrito, assinale a alternativa correta com relação à conduta inicial mais apropriada nesse caso.
Provas
Um homem de 37 anos é admitido no pronto-socorro após acidente de moto. Ele estava sem capacete e foi encontrado inconsciente no local. À chegada, apresenta Glasgow Coma Scale (GCS) de 8, pressão arterial de 90/60 mmHg, frequência cardíaca de 140 bpm e saturação de oxigênio de 85% com máscara de O2 com reservatório. No exame físico, há enfisema subcutâneo no hemitórax direito, ausência de murmúrio vesicular à direita e desvio da traqueia para a esquerda. A radiografia de tórax portátil não está disponível no momento. Foi intubado satisfatoriamente, mas houve piora do quadro ventilatório.
A conduta mais apropriada, nesse caso, deverá ser
Provas
Um homem de 28 anos é admitido no pronto-socorro após colisão automobilística. Ele estava sem cinto de segurança e sofreu impacto direto na cabeça. Na chegada, apresenta Glasgow Coma Scale (GCS) de 12. Seus sinais vitais são pressão arterial de 150/90 mmHg, frequência cardíaca de 75 bpm, saturação O2 de 96% e frequência respiratória de 12 irpm irregulares. No exame, observa-se anisocoria com midríase à direita e reflexo pupilar lento. Não há outras lesões aparentes.
Após as medidas iniciais na sala de emergência, qual é a conduta mais apropriada nesse cenário?
Provas
Caderno Container