Foram encontradas 1.030 questões.
Os seromas podem ocorrer nas primeiras semanas de pós-operatório. Com relação a estes, assinale a alternativa correta.
Provas
Nos últimos anos, o tema “colecistectomia insegura” tem sido discutido amplamente e refere-se à
Provas
Com relação aos abcessos retroperitoneais, é correto afirmar que
Provas
Muitas descobertas foram realizadas em Oncologia nos últimos anos, especialmente na área genética. Sobre esta temática, assinale a alternativa correta.
Provas
Com relação à doença de Paget mamária, assinale a alternativa correta.
Provas
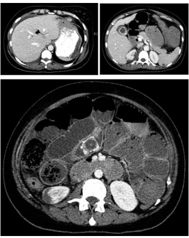
Mulher, 68 anos, comparece à unidade de emergência, queixando-se de dor e distensão abdominal nas últimas 24 horas, associados a múltiplos episódios de vômitos. Ao exame, apresenta-se sudorética, normotensa; abdome distendido, peristaltismo aumentado, difusamente doloroso. À palpação, sem sinais de irritação peritoneal. Refere ter constipação intestinal, sendo a última evacuação há cerca de 48 horas. História pregressa de múltiplos episódios, no último ano, de dor abdominal do tipo cólica, em hipocôndrio direito e epigástrio, menos intensa que a atual, com resolução espontânea, Foi realizada tomografia computadorizada do abdome.

Com base no quadro clínico da paciente e nos exames de imagem, qual o diagnóstico mais provável?
Provas
Mulher de 81 anos de idade deu entrada na emergência com queixas de tontura intensa e sudorese; apresentou perda de sangue vivo em moderada quantidade por via anal por 3 dias. Referiu que já teve 5 quadros semelhantes a este previamente nos últimos 3 anos. Na admissão: PA = 90/65 mmHg; FC = 120 bpm; abdome sem alterações; toque retal: presença de sangue vivo em grande quantidade, sem patologias orificiais ou tumorações ao toque. A abordagem inicial mais indicada para a paciente deverá ser:
Provas
Homem, 44 anos, em acompanhamento médico por apresentar cirrose hepática de etiologia alcoólica, diagnosticada por biópsia hepática realizada há oito meses, retorna ao médico referindo diminuição da diurese e aumento do volume abdominal. O exame físico revela hepatomegalia, icterícia e ascite. Na investigação da etiologia da ascite do paciente, o exame mais indicado para o diagnóstico é:
Provas
Com relação aos tumores benignos do esôfago, é correto afirmar que
Provas
Com relação à hemorragia digestiva aguda, nas últimas décadas foram realizadas tentativas de desenvolvimento de sistemas de classificação específicos de doença. Essas escalas ajudam a identificar aqueles que estão em maior risco de hemorragia ou morte e que necessitam de observação mais criteriosa e terapia mais agressiva. Diante do exposto, assinale a alternativa correta.
Provas
Caderno Container