Foram encontradas 1.030 questões.
Homem de 24 anos apresenta história de 5 dias de febre baixa, mialgia, mal-estar, tosse e dor em região torácica anterior. Ele tem atrito pericárdico à ausculta cardíaca e o eletrocardiograma mostra elevação do segmento ST em padrão côncavo na maioria das derivações. A taxa de hemossedimentação é de 96 mm e o hemograma é normal. O nível sérico de troponina I é 15 vezes acima do normal.
Nesse paciente, a principal hipótese etiológica para o quadro descrito é
Provas
Homem de 19 anos, com histórico de diabete melito tipo 1, apresenta quadro de mal-estar, prostração, poliúria, polidipsia e desconforto abdominal difuso há 2 dias. Ao exame físico: orientado, desidratado (2+/4+), afebril, anictérico; pressão arterial: 102 x 62 mmHg; pulso: 112 bpm; cardiopulmonar: sem alteração relevante; abdome: dor difusa leve, mas sem sinais de peritonismo. Exames séricos: sódio: 134 mEq/L; potássio: 2,9 mEq/L; glicemia: 378 mg/dL; creatinina: 1,1 mg/dL. Gasometria arterial: pH: 7,03; bicarbonato: 9 mEq/L. Urina com cetonúria 4+/4.
Nesse momento, a conduta inicial correta é hidratação com
Provas
Mulher de 50 anos com história de cólica biliar chega ao pronto-socorro com dor no quadrante superior direito e febre há 24 horas. Ao exame físico: frequência cardíaca: 115 bpm; pressão arterial: 110 x 70 mmHg; temperatura: 39,3 ºC; icterícia leve; dor intensa no quadrante superior direito à palpação.
Considerando essa constelação de sinais, quando usados como ferramenta diagnóstica para colangite aguda, é correto afirmar:
Provas
Em relação aos distúrbios metabólicos e hidroeletrolíticos, é correto afirmar:
Provas
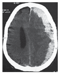
Homem de 72 anos chega ao pronto-socorro com náuseas, vômitos e cefaleia nas últimas 36 horas. O familiar relata quadro de irritação e esquecimento nas últimas duas 2 semanas. Ele leva um estilo de vida ativo, mas sofreu um acidente de bicicleta há 2 semanas. O histórico é notável para angina estável e hipertensão arterial. Ele bebe há 30 anos, quase que diariamente (cerca de 2 copos de uísque). Ao exame físico: ele está desorientado para o tempo, lugar ou pessoa; pressão arterial: 170 x 100 mmHg; reflexos tendinosos profundos: 4+/4 em hemicorpo esquerdo e 2+/4 à direita; Babinski positivo à esquerda. A tomografia sem contraste é mostrada a seguir

Considerando a principal hipótese diagnóstica, a conduta inicial correta é
Provas
Homem de 59 anos com história pregressa de doença diverticular apresenta seu segundo episódio de dor abdominal no quadrante inferior esquerdo (QIE). Ele está afebril, e o exame laboratorial é notável por uma leucocitose de 13800/mm3 . O exame físico revela sensibilidade moderada no QIE sem massas ou sinal de Blumberg (descompressão brusca). A tomografia computadorizada do abdome revela um pequeno abscesso (4 cm) adjacente ao cólon sigmoide, com diverticulite moderada.
Nesse momento, o tratamento mais adequado é
Provas
Na avaliação de um paciente em coma, qual o achado que indica de forma mais evidente que há disfunção do tronco encefálico?
Provas
Paciente é levado ao pronto-socorro após queda da própria altura. Ao exame físico, não há resposta verbal e nem abertura ocular a dor; há resposta extensora a dor. Várias tentativas de intubação endotraqueal via laringoscopia direta falharam. Nessa circunstância, na sala de emergência, qual é o próximo passo para o manejo das vias aéreas?
Provas
Considerando um paciente com quadro clínico e achados de líquor sugestivos de meningite bacteriana aguda, além de ceftriaxona, quando ampicilina deve ser associada ao tratamento empírico?
Provas
Em relação ao uso de adenosina no tratamento de arritmias cardíacas, é correto afirmar:
Provas
Caderno Container