Foram encontradas 1.467 questões.
NAS QUESTÕES NUMERADAS DE 16 A 40, ASSINALE A ÚNICA ALTERNATIVA QUE RESPONDE CORRETAMENTE AO ENUNCIADO.
As tradicionais técnicas sorológicas para avaliar a infecção pelo Toxoplasma gondii têm algumas limitações para detectar a época da doença: fase aguda ou pregressa da infecção. Para sanar esse problema, tem-se utilizado um novo marcador de infecção recente: o teste de avidez. Com relação a esse teste, qual imunoglobulina é analisada?
Provas
NAS QUESTÕES NUMERADAS DE 16 A 40, ASSINALE A ÚNICA ALTERNATIVA QUE RESPONDE CORRETAMENTE AO ENUNCIADO.
Ao chegar ao laboratório, um menino queixa-se de muita coceira nos pés (com inflamação cutânea extensa) e muita dor de barriga. Sua mãe relata que o menino começou a queixar-se de tais sintomas depois que começou a jogar futebol em um terreno baldio e a lanchar com os amigos após o jogo. Os principais agentes suspeitos desses sintomas são:
Provas
NAS QUESTÕES NUMERADAS DE 16 A 40, ASSINALE A ÚNICA ALTERNATIVA QUE RESPONDE CORRETAMENTE AO ENUNCIADO.
De acordo com os passos descritos abaixo,

podemos afirmar que se trata de um processo de:
Provas
NAS QUESTÕES NUMERADAS DE 16 A 40, ASSINALE A ÚNICA ALTERNATIVA QUE RESPONDE CORRETAMENTE AO ENUNCIADO.
Sabe-se que na infecção causada pelo HIV, a glicoproteína CD4 é inativada pelo vírus, resultando em uma deficiência da resposta imune à invasão de outros patógenos. A célula portadora dessa glicoproteína afetada pelo vírus relaciona-se à resposta imunológica:
Provas
NAS QUESTÕES NUMERADAS DE 16 A 40, ASSINALE A ÚNICA ALTERNATIVA QUE RESPONDE CORRETAMENTE AO ENUNCIADO.
Em relação ao diagnóstico de Sífilis, é correto afirmar que:
Provas
NAS QUESTÕES NUMERADAS DE 16 A 40, ASSINALE A ÚNICA ALTERNATIVA QUE RESPONDE CORRETAMENTE AO ENUNCIADO.
Devido a um surto de malária na região do laboratório da Secretaria de Saúde de Itaituba, vários exames sangüíneos estão sendo realizados para confirmação dessa patologia. Após a confecção de uma lâmina, foi observada a presença de inúmeros parasitas dentro dos eritrócitos em forma anelar. Esse estágio do Plasmodiumfalciparum</ é conhecido como:
Provas
NAS QUESTÕES NUMERADAS DE 16 A 40, ASSINALE A ÚNICA ALTERNATIVA QUE RESPONDE CORRETAMENTE AO ENUNCIADO.
Um paciente apresenta-se em seu laboratório com um quadro hematológico caracterizado por anemia e eosinofilia intensa, bem como dores abdominais. Após análise de seu exame parasitológico, foram observados diversos ovos de um parasita, de acordo com a figura abaixo.
Provavelmente, o quadro sintomático apresentado pelo paciente deve-se a infecção por:

Provas
NAS QUESTÕES NUMERADAS DE 16 A 40, ASSINALE A ÚNICA ALTERNATIVA QUE RESPONDE CORRETAMENTE AO ENUNCIADO.
Sabe-se que no Brasil a leishmaniose é uma doença que possui características regionais peculiares. Em nosso país, usualmente, é possível associar lesões mucocutâneas da leishmaniose tegumentar a:
Provas
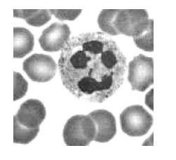
NAS QUESTÕES NUMERADAS DE 16 A 40, ASSINALE A ÚNICA ALTERNATIVA QUE RESPONDE CORRETAMENTE AO ENUNCIADO.
Ao realizar um exame de esfregaço sangüíneo, é observada uma pequena massa de cromatina, na forma de baqueta de tambor, em um dos lóbulos do núcleo de diversos neutrófilos, como observado na figura abaixo.

Essa formação encontrada pode ser classificada como:
Provas
NAS QUESTÕES NUMERADAS DE 16 A 40, ASSINALE A ÚNICA ALTERNATIVA QUE RESPONDE CORRETAMENTE AO ENUNCIADO.
O esferócito é considerado uma célula característica da seguinte doença hematológica:
Provas
Caderno Container