Magna Concursos

Foram encontradas 1.714 questões.

2909206 Ano: 2022
Disciplina: Medicina
Banca: VUNESP
Orgão: Pref. Guaratinguetá-SP
Provas:

Homem, de 75 anos, é atendido com o relato de tontura que começou há 5 horas. A tontura consiste em uma sensação de rotação e refere-se desequilíbrio ao deambular. Ao tentar beber água mais cedo, ele teve engasgo e tosse. A história médica pregressa não é digna de nota. Ao exame físico: ptose do lado esquerdo; dormência facial esquerda com uso de um alfinete; reflexo de vômito ausente; o exame motor não é digno de nota; nota-se diminuição da sensação à picada de agulha do braço e perna direitos; ele fica instável ao andar, tendendo a inclinar para a esquerda.

O diagnóstico mais provável é

 

Provas

Questão presente nas seguintes provas
2909205 Ano: 2022
Disciplina: Medicina
Banca: VUNESP
Orgão: Pref. Guaratinguetá-SP
Provas:

Mulher, de 31 anos, de idade, solteira, nuligesta, apresenta-se para um exame periódico de saúde. Ela não tem comorbidades, problemas ginecológicos, faz uso de anticoncepcional oral, tem ciclos regulares e seu último período menstrual foi há 3 semanas. O Papanicolau realizado há 1 semana retorna com neoplasia intraepitelial escamosa de alto grau e a paciente então questiona o que isso significa.

A resposta correta é que ela

 

Provas

Questão presente nas seguintes provas
2909204 Ano: 2022
Disciplina: Medicina
Banca: VUNESP
Orgão: Pref. Guaratinguetá-SP
Provas:

Paciente, 43 anos, com histórico de hipertensão arterial e obesidade é atendido com quadro de dor e inchaço em cotovelo esquerdo. Relata que a dor começou repentinamente na noite passada, sem um fator precipitante ou trauma. A dor é intensa e não permite que ele mova o cotovelo. Ao exame físico, ele apresenta derrame no cotovelo com calor, eritema e dor intensa ao movimento.

A principal hipótese diagnóstica é

 

Provas

Questão presente nas seguintes provas
2909203 Ano: 2022
Disciplina: Medicina
Banca: VUNESP
Orgão: Pref. Guaratinguetá-SP
Provas:

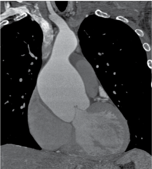
Homem, de 35 anos, apresenta quadro de dor nas costas sendo submetido ao exame mostrado a seguir.

Enunciado 3194801-1

Nesse sentido, é correto afirmar que

 

Provas

Questão presente nas seguintes provas
2909202 Ano: 2022
Disciplina: Medicina
Banca: VUNESP
Orgão: Pref. Guaratinguetá-SP
Provas:

Mulher, de 18 anos, é atendida em consulta de retorno se queixando de fadiga. Relata menarca aos 13 anos e diz ter menstruações intensas. Ao exame físico: eutrófica, anictérica, afebril/ não há gânglios palpáveis, nem hepatoesplenomegalia. Exames laboratoriais: hemoglobina: 8,9 g/dL com VCM de 72 fL; leucócitos 6 000/mm3; plaquetas 400 000/mm3.

Constituem achados laboratoriais adicionais esperados para essa paciente:

 

Provas

Questão presente nas seguintes provas
2909201 Ano: 2022
Disciplina: Medicina
Banca: VUNESP
Orgão: Pref. Guaratinguetá-SP
Provas:

Mulher, de 27 anos, apresenta-se ao consultório com a queixa principal de fadiga há 4 meses. Ela ganhou 8 kg de peso nesse período, apesar da diminuição do apetite. Refere também que se sente deprimida, mais sonolenta, com falta de energia, além de queda de cabelo e intolerância ao frio. A história médica pregressa é normal e ela não toma medicamentos.

Considerando a principal hipótese diagnóstica, constitui um achado do exame físico mais provável:

 

Provas

Questão presente nas seguintes provas
2909200 Ano: 2022
Disciplina: Medicina
Banca: VUNESP
Orgão: Pref. Guaratinguetá-SP
Provas:

Mulher, de 75 anos, é internada com quadro de dor abdominal progressiva de 6 semanas de duração. Em sua avaliação inicial, a paciente está hemodinamicamente estável, com dor abdominal difusa ao exame, mais intensa em hemiabdome direito. A tomografia abdominal mostra espessamento da parede do íleo terminal e do cólon direito, sem obstrução, mas com alguns linfonodos mesentéricos aumentados. A colonoscopia mais recente realizada há 2 anos foi normal.

O próximo passo recomendado é

 

Provas

Questão presente nas seguintes provas
2909199 Ano: 2022
Disciplina: Medicina
Banca: VUNESP
Orgão: Pref. Guaratinguetá-SP
Provas:

Para atender aos critérios do transtorno depressivo maior, o paciente deve apresentar sintomas, por, no mínimo,

 

Provas

Questão presente nas seguintes provas
2909198 Ano: 2022
Disciplina: Medicina
Banca: VUNESP
Orgão: Pref. Guaratinguetá-SP
Provas:

Mulher, de 49 anos, de idade portadora de obesidade grau I e diabete melito há 5 anos, sem complicações crônicas, em uso de metformina, gliclazida e aspirina em baixas doses, é atendida em consulta de rotina. Ao exame físico: pressão arterial: 136 x 86 mmHg; frequência cardíaca: 80 bpm.

Nesse momento, a conduta de escolha para rastreamento de lesão renal diabética incipiente é

 

Provas

Questão presente nas seguintes provas
2909197 Ano: 2022
Disciplina: Medicina
Banca: VUNESP
Orgão: Pref. Guaratinguetá-SP
Provas:

Ao iniciar drogas antiepilépticas, qual é aquela que precisa ser titulada lentamente para evitar uma reação dermatológica com risco de complicações graves?

 

Provas

Questão presente nas seguintes provas