Foram encontradas 1.977 questões.
O parênquima renal pode ser envolvido em uma variedade de doenças sindrômicas multissistêmicas. As características de envolvimento renal e extrarrenal na doença renal policística do adulto são:
Provas
Leia o caso clínico a seguir.
Paciente do sexo feminino, de 39 anos, apresentando dispneia progressiva há três anos. Foi recebida para avaliação radiológica.

Considerando-se os aspectos de imagem da paciente, qual é a principal hipótese diagnóstica?
Provas
Leia o caso clínico a seguir.
Paciente de 50 anos, previamente hígido, não tabagista, realiza tomografia computadorizada de tórax para avaliação de fratura de arcos costais. Durante a avaliação, o radiologista identifica nódulo semissólido periférico no lobo superior direito.
Considerando recomendações vigentes da sociedade Fleischner (2017), o radiologista deve:
Provas
Analise as imagens a seguir.

Os métodos de imagem são fundamentais para diagnóstico e estadiamento de neoplasias pulmonares, sendo fundamental a denominação correta das cadeias linfonodais mediastinais. A nomenclatura correta dos níveis linfonodais exemplificados é a seguinte:
Provas
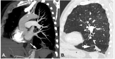
Leia o caso clínico a seguir.
Paciente do sexo masculino, de 61 anos, realiza angiotomografia do tórax para avaliação da aorta torácica. Como achado incidental, observam-se os seguintes achados no lobo inferior esquerdo (imagens A e B).

Os dados apresentados indicam que a alteração
Provas
A utilização dos meios de contraste endovenosos é de relevante valor para definição diagnóstica em múltiplas situações, e como outros medicamentos, eventualmente, estão associados a desenvolvimento de reações adversas. O diagnóstico e seu respectivo tratamento em caso de reação adversa é o seguinte:
Provas
Leia o caso clínico a seguir.
Paciente de 30 anos, puérpera, lactante, sem histórico médico significativo, foi encaminhada ao setor de radiologia para realização de angiotomografia do abdome por suspeita de trombose mesentérica em caráter de urgência.
Considerando o caso apresentado, a profilaxia de reações adversas aos meios de contaste iodados é a seguinte:
Provas
Dentre as reações adversas aos meios de contraste paramagnéticos à base de gadolíneo, merece atenção a fibrose sistêmica nefrogênica. Representam fatores de risco para desenvolvimento desta condição:
Provas
Analise o quadro a seguir que mostra um relatório de dose fornecido por um tomógrafo em um estudo de tomografia.

De acordo com os dados apresentados, a dose efetiva estimada deste estudo é:
Provas
Na presença de perda capilar sem doenças do couro cabeludo, é importante avaliar corretamente os aspectos comportamentais para a formulação diagnóstica. Sobre os aspectos fenomenológicos da tricotilomania sabe-se que:
Provas
Caderno Container