Foram encontradas 50 questões.
A síndrome inflamatória multissistêmica pediátrica (SIM-P) é uma complicação associada à Covid-19 que pode ocorrer em crianças e adolescentes, sendo caracterizada por uma resposta inflamatória tardia e exacerbada, que acontece, geralmente, quatro a seis semanas após a infecção pelo vírus. Dentre os critérios de confirmação dos casos, de acordo com a Organização Mundial da Saúde, inclui-se:
Provas
Um paciente de três anos de idade, que frequenta a pré-escola, foi diagnosticado com meningite bacteriana, com identificação do Streptococcus pneumoniae, sorotipo 19A. A conduta na profilaxia dos contactantes deve ser:
Provas
A doença da arranhadura do gato já é uma das principais causas de adenomegalia isolada que persiste por mais de três semanas em crianças. Do ponto de vista clínico,
Provas
Leia o caso clínico a seguir.
Paciente do sexo feminino, de 32 anos, diagnosticada com tuberculose pulmonar está no 9º mês de gestação, em tratamento adequado, com tomada autoadministrada da medicação. Ela se encontra na maternidade para o parto. Foi feita baciloscopia na admissão, cujo resultado foi positivo (+).
Nesse caso, qual será a recomendação imediata em relação ao aleitamento materno, à quimioprofilaxia e ao BCG para o recém-nascido?
Provas
Os pacientes portadores de fibrose cística apresentam infecções respiratórias de repetição por patógenos variáveis durante a vida. A figura a seguir apresenta a distribuição dos patógenos em diferentes faixas etárias na fibrose cística.

Fonte: Pediatrics in Review 2014;35;194-203.
De acordo como os dados apresentados, na faixa etária de seis a dez anos, o micro-organismo que apresenta a maior porcentagem de infeção respiratória é:
Provas
Os profissionais de saúde devem manter um alto índice de suspeita para o diagnóstico das imunodeficiências primárias ou congênitas para tratamento e profilaxia precoces, antes que danos irreversíveis possam ocorrer. A imunodeficiência congênita mais comum em crianças é:
Provas
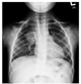
Leia o caso clínico a seguir.
Paciente de sete anos, do sexo masculino, apresenta tosse e febre há cinco dias. Ao exame físico, observa-se prostração e frequência respiratória de 48 IRPM. À ausculta, nota-se presença de estertores finos (crepitantes) em campo médio direito. A radiografia de tórax em PA é evidenciada a seguir.

Nesse caso, a etiologia é:
Provas
Leia o caso clínico a seguir.
Paciente de sete anos, do sexo masculino, portador de anemia falciforme, vem à consulta por apresentar palidez mais acentuada. Também apresentou febre de até 38,2 ºC, por dois dias seguidos, com melhora dois dias antes do atendimento. Ao exame físico, o paciente se apresenta descorado +++/4+, sem visceromegalias ou outras alterações ao exame físico. Hemograma: hemoglobina 4,5 g/dl; hematócrito 14,8% hipocromia+; microcitose+; VCM 80; HCM 26; reticulócitos 0,7%; leucócitos 7.600/mm³ com 2% bastonetes; 65% segmentados; 1% monócito; 2% basófilos; 30% linfócitos; plaquetas: 326.000/mm³.
Nesse caso, a hipótese diagnóstica é:
Provas
A periodicidade da vacina oral contra rotavírus utilizada no Programa Nacional de Imunizações (PNI) determina que:
Provas
Acredita-se que a neurossífilis ocorra em cerca de 60% dos recém-nascidos com sífilis congênita. Desta forma, o diagnóstico do acometimento do sistema nervoso central é peça fundamental para o diagnóstico e manejo correto da sífilis congênita. De acordo com o Ministério da Saúde (Protocolo clínico e diretrizes terapêuticas para prevenção da transmissão vertical de HIV, sífilis e hepatites virais, 2019), o padrão do liquor (celularidade, proteínas e VDRL) sugestivo de neurossífilis em recém-nascidos a termo deve ter os valores mínimos de leucócitos (céls/mm³), proteínas (mg/dL) e VDRL (reagente ou não reagente), respectivamente, de:
Provas
Caderno Container