Foram encontradas 90 questões.
A onda “a” da pressão venosa central representa:
Provas
Com relação ao dispositivo abaixo, assinale o item correto.

Provas
Com relação ao uso do cateter nasal de alto fluxo, assinale V para verdadeiro e F para falso e, em seguida, marque o item que possui a sequência correta, de cima para baixo.
(__) Apesar de fornecer fração inspirada de oxigênio de até 100%, não fornece pressão expiratória final positiva.
(__) Reduz trabalho pulmonar.
(__) Fornece oxigênio aquecido a até 60 L/min, com fração inspirada de oxigênio de até 100%.
(__) Não altera mortalidade em paciente com insuficiência respiratória aguda.
Provas
Um paciente internado na UTI do Instituto Dr. José Frota (IJF) com COVID-19 manifesta à equipe seu desejo de ser medicado conjuntamente com azitromicina e cloroquina. Qual o principal risco do uso combinado dessas medicações nas condições da UTI?
Provas
Homem de 44 anos é admitido na emergência com malestar e palpitação. Ao exame físico, apresentava FC 180 bpm, PA 122x81 mmHg, SatO2 97% em ar ambiente. Realizou eletrocardiograma de 12 derivações que revelou o ritmo abaixo. Qual conduta inicial deve ser adotada nesse caso?

Provas
Qual escala de avaliação dos sinais e sintomas que podem ajudar no diagnóstico do nível da lesão no Trauma Raquimedular?
Provas
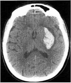
Mulher de 38 anos é levada à emergência após uso de cocaína. Apresenta-se com Glasgow 5, hipertensa e taquicárdica. Após intubação orotraqueal, foi realizado tomografia de crânio que mostrou imagem abaixo. Qual o diagnóstico?

Provas
Homem de 31 anos é levado à emergência do IJF após apresentar crise convulsiva. Sua esposa refere que ele ingeriu alguma substância misturada com bebida alcoólica há 5 horas. Possui história pregressa de etilismo e depressão. Ao exame físico apresenta PA 147 x 78mmHg, FC 68 bpm, SatO2 80% em ar ambiente, ausculta pulmonar com crepitações bilaterais, Glasgow 3, pupilas mióticas e sialorreia. Gasometria: pH 7.05, pO2 65mmHg, pCO2 44mmHg, HCO3 12 mEq/L. O diagnóstico mais provável é intoxicação por:
Provas
Qual o antídoto para intoxicação por paracetamol?
Provas
Mulher de 62 anos deu entrada na emergência do Frotinha de Parangaba com queimação retroesternal intensa, de início súbito, associada à dispneia, sensação de desfalecimento e sudorese fria. O eletrocardiograma mostrou supradesnivelamento do segmento ST em DII, DIII e AVF e BAVT. Qual a artéria mais provavelmente acometida?
Provas
Caderno Container