Foram encontradas 1.038 questões.
Durante uma cirurgia para remover um carcinoma de células escamosas da laringe, o cirurgião precisa fechar o defeito cirúrgico e restaurar a funcionalidade do local, levando em consideração as estruturas anatômicas delicadas envolvidas.
Assinale a alternativa que apresenta o fio de sutura adequado para minimizar o risco de infecção e garantir uma boa cicatrização.
Provas
Um paciente masculino de 62 anos de idade, extabagista, com histórico de carcinoma de células escamosas da cavidade oral, retorna à consulta seis meses após tratamento inicial, que incluiu cirurgia e radioterapia. Durante o exame clínico, são palpadas múltiplas massas cervicais endurecidas e fixas na região cervical direita (níveis II e III). A biópsia por punção aspirativa confirma a presença de metástases cervicais. O paciente apresenta dificuldades para se alimentar, perda de peso significativa e queixa de dor local irradiada para o ombro. Os exames de imagem mostram metástases fixas ao músculo esternocleidomastóideo e envolvimento da veia jugular interna.
A abordagem cirúrgica indicada para o paciente em questão é a
Provas
Um homem de 50 anos de idade, com índice de massa corporal (IMC) de 40, foi diagnosticado com síndrome da apneia obstrutiva do sono (SAOS) grave. Ele relata roncos intensos, cansaço diurno extremo, e sua esposa confirma episódios de apneia durante a noite. O paciente tentou usar o CPAP por vários meses, mas não conseguiu se adaptar devido ao desconforto. A polissonografia revelou um Índice de Apneia-Hipopneia (IAH) de 55 eventos por hora. Durante o exame físico, foi observada uma hipertrofia significativa das amígdalas e do palato mole. Ele também apresenta hipertensão controlada com medicamentos e disfunção respiratória durante o sono.
Com base no quadro clínico, assinale a alternativa que apresenta o tratamento mais indicado para o paciente em questão.
Provas

Sabendo-se que a imagem diz respeito a um paciente em pós-operatório por melanoma em região cervical, assinale a alternativa que apresenta a técnica de retalho utilizada.
Provas

Internet: Stell and Maran’sTextbook of Head and Neck Surgery and Oncology Fifth edition; 2012.
Um paciente apresenta uma lesão única em região do dorso do nariz. De acordo com a imagem, assinale a alternativa que apresenta o melhor retalho cirúrgico para reconstrução.
Provas

Internet: Stell and Maran’sTextbook of Head and Neck Surgery and Oncology Fifth edition; 2012.
Uma mulher de 58 anos de idade relata que, nos últimos seis meses, tem se sentido cada vez mais cansada, mesmo após dormir adequadamente. Além disso, ela notou um aumento na dor nos ossos, especialmente na região lombar e nos joelhos e polidipsia. Nos últimos dois meses, começou a ter cólicas abdominais e um aumento na frequência urinária. Ela menciona também que perdeu alguns quilos sem intenção. Foi realizado exame de imagem com Sestamibi (“A” captação imediata; “B” captação 4 horas após).
No que diz respeito ao diagnóstico e à interpretação da imagem apresentada, assinale a alternativa correta.
Provas

Internet: Stell and Maran’sTextbook of Head and Neck Surgery and Oncology Fifth edition; 2012.
Um paciente de 58 anos de idade, tabagista crônico, apresenta uma lesão ulcerada e endurada na margem lateral esquerda da língua (conforme imagem), a qual evoluiu nos últimos 3 meses. Ele relata dor leve e dificuldade para engolir. Durante a palpação, foram encontrados linfonodos cervicais ipsilaterais aumentados. O paciente não apresenta febre ou perda de peso significativa. Ao exame físico: os linfonodos cervicais palpáveis, com cerca de 1,5 cm, móveis e indolores. Não há outras alterações clínicas visíveis.
Considerando o quadro clínico exposto, assinale a alternativa que apresenta a hipótese diagnóstica mais adequada.
Provas

Internet: Stell and Maran’sTextbook of Head and Neck Surgery and Oncology Fifth edition; 2012.
Um homem de 35 anos de idade apresenta um nódulo indolor na região pós-auricular esquerda há 2 anos. Inicialmente, o nódulo era pequeno e macio, porém com o tempo tornou-se endurecido, sem evidência de crescimento recente. O paciente não relata sintomas sistêmicos ou histórico de trauma. No exame físico, observa-se uma massa subcutânea firme de 1,5 cm na região pós-auricular direita. A pele está íntegra e móvel, sem dor ou sinais inflamatórios. Os linfonodos cervicais não estão palpáveis (conforme imagem).
Considerando o quadro clínico exposto, assinale a alternativa que apresenta o diagnóstico mais provável.
Provas
O estadiamento TNM do câncer de tireoide é essencial para determinar o tratamento adequado e o prognóstico. De acordo com o estadiamento TNM e o tratamento do câncer de tireoide, assinale a alternativa correta.
Provas

Internet: Stell and Maran’sTextbook of Head and Neck Surgery and Oncology Fifth edition; 2012.
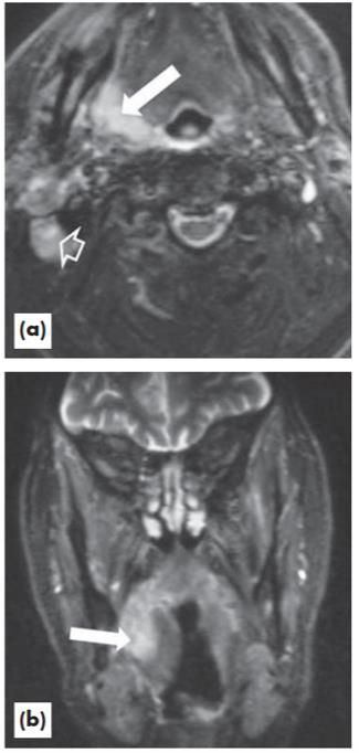
Com relação ao sítio da lesão apresentada na imagem (“a” plano axial; “b” plano coronal), bem como as estruturas identificadas e destacadas, assinale alternativa correta.
Provas
Caderno Container