Foram encontradas 1.038 questões.

Internet: Azulay, Rubem David, 1917-2013 Azulay Dermatologia / Rubem
David Azulay (in memoriam), David Rubem Azulay, Luna Azulay-
Abulafia. - 8. ed. - Rio de Janeiro: Guanabara Koogan, 2022. 1280 p: il.; 28
cm
Sabendo-se que as imagens revelam uma lesão à ectoscopia em paciente com diagnóstico prévio de Churg-Strauss, com base nos achados histopatológico, assinale a alternativa que apresenta o diagnóstico mais provável.
Provas

Internet: Atlas de dermatologia : da semiologia ao diagnóstico /
editores Luna Azulay- Abulafia ... [et al.]. - 3. ed. - Rio de Janeiro : GEN |
Grupo Editorial Nacional S.A. Publicado pelo selo Editora Guanabara
Koogan Ltda., 2020.
Uma mulher de 28 anos comparece ao exame físico com lesões em anogenital (conforme figura) acompanhadas de discreto prurido e leve dor. Ela relata ter tido relação sexual desprotegida há 5 meses. Ao exame físico, as lesões são indolores nos grandes lábios e na região perianal, com linfadenopatia inguinal discreta.
Acerca do quadro clínico e da imagem, assinale a alternativa que apresenta a hipótese diagnóstica principal, bem como o tratamento.
Provas

Internet: Atlas de dermatologia : da semiologia ao diagnóstico /
editores Luna Azulay- Abulafia ... [et al.]. - 3. ed. - Rio de Janeiro : GEN |
Grupo Editorial Nacional S.A. Publicado pelo selo Editora Guanabara
Koogan Ltda., 2020.
Considerando a imagem, bem como a principal hipótese diagnóstica a ser aventada, assinale a alternativa que não apresenta um diferencial comum.
Provas

Internet: Atlas de dermatologia: da semiologia ao diagnóstico / editores
Luna Azulay- Abulafia ... [et al.]. - 3. ed. - Rio de Janeiro : GEN | Grupo
Editorial Nacional S.A. Publicado pelo selo Editora Guanabara Koogan
Ltda., 2020.
Acerca das reações hansênicas e da imagem apresentada, assinale a alternativa que contempla o tipo de reação, a forma clínica mais prevalente, o tipo de reação de Gell e Combs e o tratamento indicado, respectivamente.
Provas

Internet: N Engl J Med 2024;391:e14.
Um homem de 60 anos, em tratamento de quimioterapia, com duplo esquema terapêutico para câncer de pulmão, está no seu sexto ciclo. Ele relata dor peniana nos últimos cinco dias, que evoluiu há quatro dias com o surgimento de lesões, conforme imagem apresentada. O paciente nega sinais de toxemia e relata que as dores prévias ao aparecimento das lesões eram “tipo formigamento, queimação”.
Com base no quadro clínico, assinale a alternativa que apresenta a principal hipótese diagnóstica e a conduta médica que deve ser adotada nesta situação.
Provas

Fonte: N Engl J Med 2024;391:640.
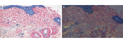
Um homem de 55 anos apresenta lesões purpúricas nas pálpebras há dois anos. Ele nega sentir dor local, prurido ou qualquer trauma recente. Evoluindo com perda de peso, fadiga e febre baixa intermitente não aferida, além de dores musculares e episódios ocasionais de infecções respiratórias. Ele relata que, na última semana, houve uma piora significativa de seu quadro, apresentando olhos arroxeados escuros associado a edema periorbital. Foi realizada uma biópsia da pálpebra, de acordo com a imagem apresentada.
Considerado o quadro clínico e a interpretação da imagem histopatológica, assinale a alternativa que apresenta o diagnóstico mais provável e o exame laboratorial, provavelmente alterado, que auxilia na hipótese diagnóstica, respectivamente.
Provas

Considerando que a imagem apresentada pertence a um paciente com abdome agudo inflamatório por pancreatite evoluído, a respeito do achado radiológico, assinale a alternativa correta.
Provas
Segundo Portaria n.º 492/2007 do Ministério da Saúde, que instituiu diretrizes para a atenção à saúde, com vistas à prevenção da obesidade e assistência ao portador de obesidade, no que diz respeito às indicações de cirurgia bariátrica, assinale a alternativa incorreta.
Nota: Índice de Massa Corpórea (IMC)
Provas
Com relação às hérnias da parede abdominal e suas classificações, características anatômicas, clínicas e fisiopatologia, assinale a alternativa incorreta.
Provas
Acerca das características clínicas ao exame físico de queimaduras de espessura parcial, assinale a alternativa incorreta.
Provas
Caderno Container