Foram encontradas 1.038 questões.

Internet: Tratado de pediatria/organização Sociedade Brasileira de Pediatria. - 5. ed. - Barueri [SP] : Manole, 2022.
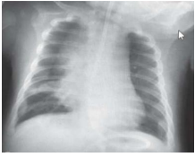
Uma criança de 18 meses de idade com história de chiado recorrente é levada ao pronto-socorro com queixas de tosse persistente, febre de baixo grau e dificuldade respiratória. A mãe relata que os sintomas pioraram nas últimas 24 horas. Na radiografia realizada (conforme imagem), a criança apresenta tiragem subcostal, sibilos difusos na ausculta pulmonar e saturação de oxigênio de 91%.
No que diz respeito ao quadro clínico e aos achados radiológicos, assinale a alternativa que apresenta o diagnóstico e o manejo adequados.
Provas

Internet: https://imagebank.hematology.org/atlas/60308
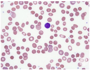
Uma criança de 6 anos de idade é levada para avaliação por apresentar fadiga, palidez e icterícia leve. Os pais notaram que, nas últimas semanas, a criança está mais cansada, com episódios de tontura. O exame laboratorial revela hemoglobina de 8 g/dL, bilirrubina indireta aumentada, reticulocitose. Foi realizado esfregaço de sangue periférico (conforme imagem).
A respeito do quadro clínico e laboratorial, assinale a alternativa que apresenta a hipótese mais provável, bem como manejo.
Provas
Uma criança de 4 anos de idade é levada à emergência com febre alta (39,5°C), dor torácica e dificuldade respiratória de início súbito saturando 90% em ar ambiente. A ausculta pulmonar revela diminuição do murmúrio vesicular na base do pulmão direito, com estertores crepitantes e macicez à percussão. O raio-X de tórax mostra consolidação pulmonar no lobo inferior direito com extenso derrame pleural com atelectasia pulmonar.
Acerca do quadro clínico e radiológico, assinale a alternativa que apresenta a principal hipótese diagnóstica e o manejo adequado após iniciar oxigenioterapia de imediato.
Provas
Uma criança de 3 anos de idade é levada ao prontosocorro com febre persistente há 9 dias, apesar do uso de antitérmicos. A mãe relata que a febre não cede e, há cerca de 5 dias, surgiram erupções maculopapulares difusas pelo corpo, com descamação nas extremidades. Além disso, a criança apresenta irritabilidade, conjuntivite bilateral não purulenta e aumento cervical unilateral doloroso dos linfonodos. No exame físico, há edema nas mãos e nos pés, lábios rachados e hiperemia de orofaringe. No entanto, não há alterações significativas no ecocardiograma. O hemograma revela leucocitose com desvio à esquerda, e o nível de proteína C-reativa está aumentado. A mãe nega história de contato recente com pessoas doentes, e o histórico de imunizações da criança está em dia.
Assinale a alternativa que apresenta a hipótese diagnóstica mais provável acerca desse caso.
Provas

Um menino de 5 anos de idade apresenta dor abdominal intensa e progressiva há dois dias, acompanhada de vômitos ocasionais e dor articular nos joelhos e tornozelos. Além disso, surgiram lesões purpúricas, palpáveis, com crostas que atingiram os membros inferiores e a região glútea de criança.
De acordo com quadro apresentado e a principal hipótese diagnóstica, assinale a alternativa incorreta.
Provas

Internet:<https://imagebank.hematology.org/collection/60570>.
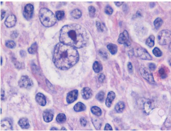
Um adolescente de 15 anos de idade apresenta linfadenopatia cervical indolor há 2 meses, acompanhada de febre noturna, perda de peso de 5 kg e sudorese profusa. No exame físico, os linfonodos são fixos, duros e indolores. A radiografia de tórax revela uma massa mediastinal.
Conforme a imagem da biópsia do linfonodo, bem como os achados histopatológicos, assinale a alternativa que apresenta o diagnóstico mais provável.
Provas
Com relação ao diagnóstico diferencial entre transtorno disfórico pré-menstrual e transtorno depressivo maior com piora dos sintomas durante a fase pré-menstrual, assinale a alternativa que apresenta o fator mais relevante.
Provas
Um homem de 45 anos de idade relata que, há mais de três meses, enfrenta dificuldades para adormecer e, quando consegue, acorda várias vezes durante a noite. Mesmo quando ele acredita ter dormido o suficiente, ele se sente cansado e com falta de energia durante o dia. Já experimentou técnicas de relaxamento e evitou cafeína à noite, mas os problemas de sono persistem, afetando seu desempenho no trabalho.
Assinale alternativa que apresenta a característica que confirma a principal hipótese diagnóstica a ser aventada.
Provas
Uma mulher de 26 anos de idade relata episódios recorrentes de comer grandes quantidades de alimentos em um curto período, mesmo quando não está com fome. Durante esses episódios, ela sente falta de controle e come até sentir-se desconfortavelmente cheia. Depois, ela se sente culpada e envergonhada, mas não tenta compensar os episódios com vômitos ou exercícios excessivos. Esses episódios ocorrem pelo menos uma vez por semana nos últimos seis meses.
Com base no caso, assinale a alternativa que apresenta a característica fundamental para a principal hipótese diagnóstica.
Provas
Uma mulher de 38 anos de idade tem sido frequentemente atendida em emergências com sintomas físicos inexplicáveis, como dor abdominal intensa e crises de vômito. Após vários exames e cirurgias desnecessárias, os médicos começaram a suspeitar que Sofia poderia estar criando ou exagerando seus sintomas. Ela demonstra ter bastante conhecimento acerca das terminologias médicas e, quando confrontada, adota uma postura defensiva e muda de hospital, recomeçando o ciclo de queixas.
Assinale a alternativa que apresenta a principal hipótese diagnóstica para o caso.
Provas
Caderno Container