Foram encontradas 808 questões.
A associação de nitrato e hidralazina no tratamento da insuficiência cardíaca tem maior impacto na mortalidade e melhora na qualidade de vida de pacientes
Provas
Paciente apresenta função ventricular (FEVE) de 55%, BNP e NT-BNP elevados e, no ecocardiograma, há disfunção diastólica. É correto afirmar que o paciente
Provas
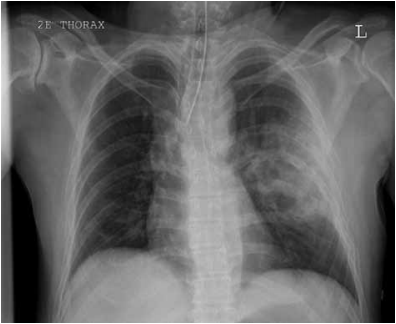
Paciente de 22 anos, sem comorbidades, apresenta quadro de febre, tosse e dor torácica há 2 dias. O r-X é apresentado a seguir. A ausculta pulmonar mostra estertores crepitantes na base direita e saturação de 92% em ar ambiente.

Nesse momento, a conduta adequada é:
Provas
Paciente de 67 anos apresenta quadro súbito de hemiparesia. A tomografia está ilustrada a seguir.

Atualmente, há recomendação para realização de trombólise quando a janela entre o aparecimento dos sintomas e o início da trombólise é de
Provas
Paciente de 18 anos, vítima de trauma, apresenta o r-X ilustrado a seguir.

Nesse momento, é recomendável
Provas
O esquema atual recomendado pelo Ministério da Saúde para vacinação de adultos acima de 49 anos inclui:
Provas
Em adultos, as duas principais causas de hemorragia digestiva alta são:
Provas
Paciente feminina de 42 anos chega ao consultório apresentando quadro de dispneia súbita. Ela é obesa e realizou, há sete dias, cirurgia de safenectomia bilateral em virtude de varizes em membros inferiores. Rapidamente evolui para ausência de pulso, respiração e consciência, apresentando o traçado ilustrado a seguir.

Nesse momento, recomenda-se a realização de
Provas
O efeito glicêmico relativo acontece de forma mais precoce com o uso de insulina
Provas
É considerada meta laboratorial terapêutica para o tratamento do diabetes tipo II:
Provas
Caderno Container