Foram encontradas 30 questões.
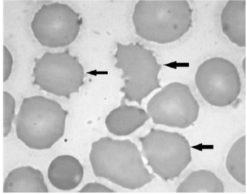
As alterações morfológicas encontradas no esfregaço sanguíneo são de extrema importância pois podem ser determinantes no diagnóstico clínico do paciente.
Na figura a seguir, é apresentada um campo do esfregaço sanguíneo com uma alteração presente nos eritrócitos.

Atlas de Hematologia da UFG. Disponível em: <https://hematologia.farmacia.ufg.br>. Acesso em: 08 mar. 2021.
Considerando essas informações, a alteração apresentada nos eritrócitos (setas pretas) deve ser classificada como:
Provas
O preparo do paciente para realização de exames laboratoriais é fundamental, já que essa preparação prévia pode influenciar consideravelmente o resultado final da análise. No caso da avaliação de lipídeos plasmáticos, desde 2016, as regras para determinação de jejum mudaram, ficando a cargo do médico que solicitou o exame a determinação de jejum de 12 horas ou não. Com relação à dosagem de lipídeos plasmáticos, assinale a alternativa correta.
Provas
Os avanços tecnológicos na área de análises clínicas foram muitos nos últimos anos. Novos equipamentos, novas tecnologias e novas metodologias de análise são introduzidas continuamente na prática clínico -laboratorial. Por isso, é fundamental que o tipo de amostra seja obtido corretamente para que o resultado do teste seja fidedigno à condição do paciente. No caso da coleta de sangue a vácuo, dependendo do exame solicitado, deve-se obter amostras em tubos com anticoagulantes específicos para análise que se pretende, preservando a sequência de tubos correta no momento da coleta para que um anticoagulante não interfira no outro.
A seguir, são descritos tipos de tubos comum em coletas de sangue a vácuo dentro do laboratório de análises clínicas.
01. Tubo com anticoagulante citrato de sódio
02. Tubo com anticoagulante heparina de lítio
03. Tubo com gel separador sem anticoagulante
04. Tubo com anticoagulante fluoreto de sódio
05. Tubo com gel separador e ativador de coágulo
06. Tubo com anticoagulante EDTA
07. Tubo seco sem anticoagulante
Considerando essas informações, para a coleta de sangue de um paciente em que seja necessário utilizar todos os tubos descritos anteriormente, assinale a alternativa que apresenta a sequência correta.
Provas
A análise de sedimentoscopia de urina é um exame muito importante, porque a presença de alguns elementos figurados pode esclarecer situações clínicas importantes, não só sobre patologias renais, mas também sobre patologias metabólicas. Entre esses elementos figurados, estão os cristais da urina, que podem ter origem metabólica, de medicamentos ou idiopática.
Em relação aos cristais de urina, a seguir são apresentadas três figuras de cristais comumente encontrados na rotina do laboratório clínico.

Recomendações da Sociedade Brasileira de Patologia Clínica / Medicina Laboratorial (SBPC/ML): Realização de exame de urina. 2009.
Considerando essas figuras, assinale a alternativa que apresenta a nomenclatura correta dos cristais.
Provas
Considere que uma paciente de 35 anos idade, sexo feminino, sem comorbidades anteriores, está apresentando um distúrbio menstrual grave com perda de sangue excessiva durante a fase descamativa do ciclo reprodutivo. Essa condição clínica já está em curso há pelo menos seis meses. A fim de avaliar possíveis quadros anêmicos nessa paciente, o clínico responsável solicitou um eritrograma que apresentou os seguintes resultados:
| Parâmetro analisado | Resultado do paciente | Valor de referência |
| Total de hemácias (milhões/μL) | 5,5 | 4 a 5,4 |
| Hemoglobina (g/dL) | 10 | 12 a 16 |
| Hematócrito (%) | 40,6 | 35 a 45 |
| VCM (fL) | 65 | 80 a 100 |
| HCM (pg) | 26,4 | 24 a 33 |
| CHCM (g/dL) | 36 | 31 a 36 |
| RDW (%) | 20 | 11 a 15 |
OBS.: Valores das grandezas de medição discriminadas na coluna Parâmetro analisado.
Levando em consideração os achados do exame dessa paciente, quais são as alterações morfológicas que podem ser encontradas nos eritrócitos?
Provas
Em todo serviço de saúde, em maior ou menor proporção, há geração de resíduos biológicos que, segundo a Agência Nacional de Vigilância Sanitária, são materiais que apresentam produtos biológicos provenientes do contato com fluidos corporais e que, por conter micro-organismos, oferecem risco à saúde pública e ao meio ambiente. Esses resíduos biológicos devem ser segregados em locais adequados e destinados a tratamento adequado, pela própria geradora do resíduo ou por empresas especializadas. Com relação aos resíduos biológicos, assinale a alternativa correta.
Provas
A dosagem de glicose é um dos exames mais realizados no laboratório clínico, pois descreve a quantidade de carboidrato disponível para o organismo no momento da coleta, além de permitir compreender os aspectos importantes nos distúrbios do metabolismo glicídico, como no caso da diabetes. Para a correta avaliação desse analito, a coleta e armazenamento da amostra do paciente até o momento da análise é crucial. Sobre a coleta de sangue para dosagem de glicose, assinale a alternativa correta.
Provas
A metodologia de coloração de Gram é de extrema importância no laboratório clínico e uma das mais usadas na rotina laboratorial. Isso porque ela permite, ao médico responsável pelo paciente, o direcionamento inicial do tratamento contra o agente infeccioso, já que a determinação de sua morfologia e características tintoriais podem descriminar algumas características biológicas e patológicas do agente infeccioso invasor. A respeito do método de coloração de Gram, assinale a alternativa correta.
Provas
O exame de VDRL é um teste de floculação utilizado para investigações laboratoriais de pacientes com sífilis. As amostras de sangue coletadas são testadas e no caso o resultado seja positivo, elas devem ser tituladas por diluição seriada, até a última diluição com resultado positivo. Considere que em um laboratório público municipal, o resultado de titulação de um paciente positivo para sífilis foi de 1:512. No caso desse paciente em especifico, quantas reações de floculação o técnico de laboratório precisou realizar para chegar a esse resultado?
Provas
A soma de três números consecutivos é 45.
A expressão que representa corretamente essa situação é:
Provas
Caderno Container