Magna Concursos

Foram encontradas 1.287 questões.

3698223 Ano: 2025
Disciplina: Medicina
Banca: VUNESP
Orgão: Pref. Campinas-SP
Provas:
De acordo com a American Urologic Association e a Society of Urologic Oncology, em relação ao rastreio para o câncer de próstata em homens, assinale a alternativa correta.
 

Provas

Questão presente nas seguintes provas
3698222 Ano: 2025
Disciplina: Medicina
Banca: VUNESP
Orgão: Pref. Campinas-SP
Provas:
Assinale a alternativa que estabelece uma correlação correta entre o hipotireoidismo e a insuficiência renal.
 

Provas

Questão presente nas seguintes provas
3698221 Ano: 2025
Disciplina: Medicina
Banca: VUNESP
Orgão: Pref. Campinas-SP
Provas:
No tratamento das dislipidemias em idosos, assinale a alternativa correta quanto às suas características.
 

Provas

Questão presente nas seguintes provas
3698220 Ano: 2025
Disciplina: Medicina
Banca: VUNESP
Orgão: Pref. Campinas-SP
Provas:
Um paciente de 92 anos, sexo masculino, comparece ao ambulatório para uma consulta de rotina. Não tem queixas. Tem antecedentes de demência na doença de Alzheimer, dependente para as atividades básicas e instrumentais, e de um pós-operatório tardio de correção de uma fratura de fêmur esquerdo após queda da própria altura. Sua urocultura foi positiva para E. coli (> 106 colônias por mL). Analise os seguintes exames do paciente.

Enunciado 4448842-1

Assinale a alternativa que apresenta o diagnóstico correto.
 

Provas

Questão presente nas seguintes provas
3698219 Ano: 2025
Disciplina: Medicina
Banca: VUNESP
Orgão: Pref. Campinas-SP
Provas:
Assinale a alternativa correta em relação ao uso dos bloqueadores dos receptores da angiotensina (BRA) no tratamento da hipertensão arterial em idosos.
 

Provas

Questão presente nas seguintes provas
3698218 Ano: 2025
Disciplina: Medicina
Banca: VUNESP
Orgão: Pref. Campinas-SP
Provas:
Assinale a alternativa que apresenta medicamentos que interferem na absorção ou no metabolismo da vitamina D.
 

Provas

Questão presente nas seguintes provas
3698217 Ano: 2025
Disciplina: Medicina
Banca: VUNESP
Orgão: Pref. Campinas-SP
Provas:
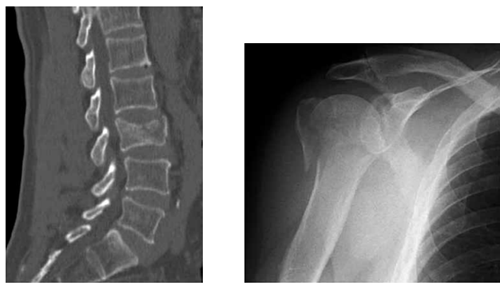
Uma paciente de 89 anos vem a consultório com histórico de queda após tropeçar no tapete de sua casa, há 10 meses, e ao escorregar no piso de seu banheiro, há 1 semana. Não tem antecedentes mórbidos. Relata somente que faz uso de alendronato 70 mg/semana, há 2 anos. Ela trouxe as radiografias realizadas por ocasião desses dois traumas. Seus exames laboratoriais estão normais.

Enunciado 4448839-1

Em função desse achado, foi realizada uma análise por meio da ferramenta Frax 2.0.

Enunciado 4448839-2

Diante do exposto, recomenda-se como tratamento para a paciente
 

Provas

Questão presente nas seguintes provas
3698216 Ano: 2025
Disciplina: Medicina
Banca: VUNESP
Orgão: Pref. Campinas-SP
Provas:
Leia o caso clínico para responder à questão.
Uma paciente de 92 anos é acometida por herpes zóster no nervo trigêmeo. Nunca havia sido vacinada.
A paciente vem recebendo dipirona 1g VO 6/6 horas, tramadol 50 mg VO 8/8 horas e carbamazepina 200 mg, à noite, para tratamento da neuralgia pós-herpética.

Assinale a alternativa correta em relação ao seu tratamento.
 

Provas

Questão presente nas seguintes provas
3698215 Ano: 2025
Disciplina: Medicina
Banca: VUNESP
Orgão: Pref. Campinas-SP
Provas:
Leia o caso clínico para responder à questão.
Uma paciente de 92 anos é acometida por herpes zóster no nervo trigêmeo. Nunca havia sido vacinada.
Assinale a alternativa que apresenta a recomendação correta para administração da vacina a essa paciente.
 

Provas

Questão presente nas seguintes provas
3698214 Ano: 2025
Disciplina: Medicina
Banca: VUNESP
Orgão: Pref. Campinas-SP
Provas:
Sobre o diagnóstico da hepatite B, assinale a alternativa correta.
 

Provas

Questão presente nas seguintes provas