Foram encontradas 1.287 questões.
Sobre lesões do canal anal, assinale a alternativa correta.
Provas
Questão presente nas seguintes provas
Em relação às ressecções endoscópicas de lesões malignas colorretais, assinale a alternativa correta.
Provas
Questão presente nas seguintes provas
Com relação à linfadenectomia no câncer de cólon e reto,
assinale a alternativa correta.
Provas
Questão presente nas seguintes provas
Com relação à patologia associada à seguinte peça cirúrgica, assinale a alternativa correta.

(Arquivo pessoal; imagem utilizada com autorização)
Provas
Questão presente nas seguintes provas
A cromoscopia, realizada no exame de colonoscopia,
pode trazer mais informações sobre as lesões colorretais. Sobre os padrões de cripta de Kudo, assinale a alternativa correta.
Provas
Questão presente nas seguintes provas
Com relação aos tumores neuroendócrinos colorretais
classificados conforme atividade proliferativa de alto
grau, assinale a alternativa correta.
Provas
Questão presente nas seguintes provas
Em relação ao adenocarcinoma de reto localmente avançado MMR-d (deficiência de mismatch repair), é correto
afirmar que
Provas
Questão presente nas seguintes provas
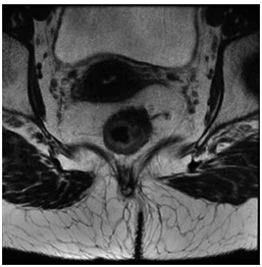
Paciente de 65 anos, sexo masculino, apresenta quadro
clínico de tenesmo e sangramento após evacuação. Realizada colonoscopia, e identificada lesão em reto médio,
que se estende de 7 a 10 cm da borda anal (adenocarcinoma).
A ressonância magnética de pelve do paciente caracteriza estadiamento clínico T3bN0:
(Arquivo pessoal; imagem utilizada com autorização)
Foram descartadas metástases a distância. Assinale a alternativa correta a respeito do caso.
A ressonância magnética de pelve do paciente caracteriza estadiamento clínico T3bN0:
(Arquivo pessoal; imagem utilizada com autorização)
Foram descartadas metástases a distância. Assinale a alternativa correta a respeito do caso.
Provas
Questão presente nas seguintes provas
Com relação às disfunções do assoalho pélvico, assinale
a alternativa correta.
Provas
Questão presente nas seguintes provas
Paciente de 74 anos, sexo feminino, vem ao ambulatório
para avaliação de quadro iminentemente proctológico.
Ao exame físico, à manobra de valsalva, encontra-se o
seguinte achado:
(Arquivo pessoal; imagem utilizada com autorização)
A respeito do caso apresentado, assinale a alternativa correta.
(Arquivo pessoal; imagem utilizada com autorização)
A respeito do caso apresentado, assinale a alternativa correta.
Provas
Questão presente nas seguintes provas
Cadernos
Caderno Container