Magna Concursos

Foram encontradas 460 questões.

3519109 Ano: 2023
Disciplina: Medicina
Banca: VUNESP
Orgão: Pref. Campinas-SP

A contagem total de leucócitos no líquido cefalorraquidiano (LCR) representa o parâmetro mais sensível para caracterização de uma doença inflamatória do sistema nervoso central. Na contagem global de uma amostra de LCR de um adulto normal, pode-se visualizar:

 

Provas

Questão presente nas seguintes provas
3519108 Ano: 2023
Disciplina: Medicina
Banca: VUNESP
Orgão: Pref. Campinas-SP

Pessoas internadas em Unidades de Terapia Intensiva (UTI) estão mais suscetíveis a contrair infecções, devido ao uso de equipamentos invasivos que, como cateteres e respiradores para ventilação mecânica, que facilitam a entrada de bactérias e vírus. As espécies da família das enterobactérias são amplamente conhecidas por serem os principais patógenos relacionados a infecções associadas ao ambiente hospitalar (nosocomiais), sendo responsáveis por cerca de 50% dos casos de sepse.

Dentre as principais representantes da família Enterobacteriaceae, pode-se citar:

 

Provas

Questão presente nas seguintes provas
3519107 Ano: 2023
Disciplina: Medicina
Banca: VUNESP
Orgão: Pref. Campinas-SP

As infecções hospitalares ainda representam um grande desafio para a saúde pública em todo o mundo. Estas infecções, além de aumentarem o tempo de internação, podem também causar comorbidades graves e ainda levar ao óbito. Segundo a Agência Nacional de Vigilância Sanitária (ANVISA), nos últimos anos, o termo “infecções hospitalares” vem sendo substituído por um termo mais abrangente e preciso, que é:

 

Provas

Questão presente nas seguintes provas
3519106 Ano: 2023
Disciplina: Medicina
Banca: VUNESP
Orgão: Pref. Campinas-SP

O exame de hemograma demonstra os índices hematimétricos e nestes constam os parâmetros PDW e RDW, que indicam, respectivamente:

 

Provas

Questão presente nas seguintes provas
3519105 Ano: 2023
Disciplina: Medicina
Banca: VUNESP
Orgão: Pref. Campinas-SP

A febre maculosa é um tópico relevante em saúde pública. As estatísticas do último boletim epidemiológico publicado pelo Ministério da Saúde, compiladas pela BBC News Brasil, mostram que, entre 2012 e 2022, foram notificados 2 209 casos e 753 mortes por febre maculosa no país.

Sobre a febre maculosa, quando alcança o endotélio vascular e gera resposta inflamatória, é correto afirmar que há liberação de

 

Provas

Questão presente nas seguintes provas
3519104 Ano: 2023
Disciplina: Biomedicina
Banca: VUNESP
Orgão: Pref. Campinas-SP

Para determinar o diagnóstico de neoplasias intracelulares cervical vulvar e vaginal, como os carcinomas causadas pelo vírus Papilomavírus humano (HPV), tem-se como ferramenta a técnica de PCR em tempo real (qPCR) na Biologia molecular para complementar o diagnóstico. No exame, quando positivo, demonstra-se:

 

Provas

Questão presente nas seguintes provas
3519103 Ano: 2023
Disciplina: Medicina
Banca: VUNESP
Orgão: Pref. Campinas-SP

Paciente, masculino 39 anos, foi à Unidade de Pronto Atendimento no ABC Paulista, devido a equimoses nos membros inferiores e superiores. Relatou febre de 38 ºC por dois dias consecutivos e coceira intensa no corpo. O médico plantonista solicitou a realização de um hemograma. O laudo do hemograma demonstrou as seguintes concentrações de celularidades:

HEMOGRAMA COMPLETO

ERITROGRAMA

VALOR DE REFERÊNCIA

ERITRÓCITOS:

3.85 milh/mm3

4,5 – 5,5 milh/mm3

HEMOGLOBINA:

8.2 g/dL

13 – 17 g/dL

HEMATÓCRITO:

25%

40 – 50 %

VOLUME GLOBULAR MÉDIO:

80 mcm3

80 – 100 mcm3

HEMOGLOBINA GLOBULAR MÉDIA:

27 pg

27 – 32 pg

CONC. HEMOGLO. GLOB. MÉDIA:

31.5 g/dL

31,5 – 36 g/dL

RDW:

17.2%

12 – 15 %

OBSERVAÇÕES:

LEUCOGRAMA

%

103/mm3

LEUCÓCITOS:

3.6 103/mm3

4,5 – 11,0

SEGMENTADOS:

24.3 %

4,81 103/mm3

50,0 – 80,0

2,00 – 8,00

EOSINÓFILOS:

1.0 %

0.30 103/mm3

0 – 5,0

0 – 0,40

BASÓFILOS:

0.5 %

0.04 103/mm3

0 – 2,0

0 – 0,20

LINFÓCITOS:

63.5 %

1.84 103/mm3

25,0 – 50,0

1,00 – 5,00

MONÓCITOS:

6.7 %

0.51 103/mm3

2,0 – 10,0

0,10 – 1,00

LINFÓCITOS ATÍPICOS:

0.0 %

0.00 103/mm3

0 – 2,0

0 – 0,20

MIELÓCITOS:

0.0 %

0.00 103/mm3

0 – 2,0

0 – 0,20

METAMIELÓCITOS:

0.0 %

0.00 103/mm3

BASTONETES:

3.0 %

0.08 103/mm3

OBSERVAÇÕES:

PLAQUETAS – CONTAGEM

Plaquetas :

24 103/mm3

VPM :

11,4 mcm3

OBSERVAÇÕES:

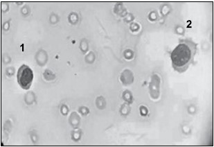
Foi realizado o esfregaço sanguíneo para confirmação do laudo. Assinale a alternativa que apresenta a descrição das células sinalizadas a seguir e a patologia a qual correspondem.

Figura 2

Enunciado 3519103-1

(Laudo e imagem cedidos pelo Laboratório de Análises Clínicas do Centro Universitário FMABC)

 

Provas

Questão presente nas seguintes provas
3519102 Ano: 2023
Disciplina: Medicina
Banca: VUNESP
Orgão: Pref. Campinas-SP

A coagulação intravascular disseminada (CIVD) é uma síndrome hemorrágica, na qual ocorre uma ativação anárquica dos fatores pró-coagulantes, plaquetas e de enzimas fibrinolíticas no espaço intravascular. O diagnóstico laboratorial da coagulação intravascular disseminada (CIVD) crônica consiste em:

 

Provas

Questão presente nas seguintes provas
3519101 Ano: 2023
Disciplina: Medicina
Banca: VUNESP
Orgão: Pref. Campinas-SP

Pacientes com covid-19 vêm sendo associados à Síndrome Antifosfolipide (SAF). Em relação a SAF, assinale a alternativa correta.

 

Provas

Questão presente nas seguintes provas
3519100 Ano: 2023
Disciplina: Medicina
Banca: VUNESP
Orgão: Pref. Campinas-SP

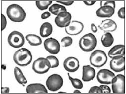
Foi solicitada uma curva de fragilidade osmótica a uma criança de 2 anos de idade, após a mãe descrever ao médico generalista a dificuldade de seu filho ter boa qualidade de vida devido às suas repetidas internações, quadros de infecções e anemia, sem sucesso após terapia com ferro. O esfregaço sanguíneo revelou poiquilocitose com presença de hemácias em alvo, hipocromia e anisocitose. Avaliando a curva de fragilidade osmótica, sugere-se um quadro de:

Figura 1

Enunciado 3519100-1

Figura 2

Enunciado 3519100-2

(Laudo e imagem cedidos pelo Laboratório de Análises Clínicas do Centro Universitário FMABC)

 

Provas

Questão presente nas seguintes provas